• Tel: 858.663.9055
  • SeparatorEmail: info@nsjbio.com
  • Tel: 858.663.9055
  • Email: info@nsjbio.com
Home >> Antibodies >> SNX2 Antibody / Sorting nexin 2

SNX2 Antibody / Sorting nexin 2 (FY12998)

  Catalog No Formulation Size Price (USD)  
Image FY12998 Adding 0.2 ml of distilled water will yield a concentration of 500 ug/ml 100 ug 439
Bulk quote request
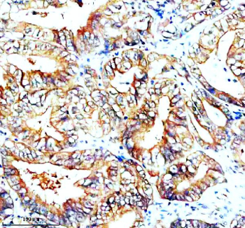
Immunohistochemical staining of SNX2 using anti-SNX2 antibody. SNX2 was detected in a paraffin-embedded section of human colon cancer tissue. Heat mediated antigen retrieval was performed in EDTA buffer (pH 8.0, epitope retrieval solution). The tissue section was blocked with 10% goat serum. The tissue section was then incubated with 2 ug/ml rabbit anti-SNX2 antibody overnight at 4oC. Peroxidase Conjugated Goat Anti-rabbit IgG was used as secondary antibody and incubated for 30 minutes at 37oC. The tissue section was developed using an HRP secondary and DAB substrate.
Western blot analysis of SNX2 using anti-SNX2 antibody. Electrophoresis was performed on a 10% SDS-PAGE gel at 80V (Stacking gel) / 120V (Resolving gel) for 2 hours. Lane 1: human Caco-2 whole cell lysates, Lane 2: human RT4 whole cell lysates, Lane 3: human MCF-7 whole cell lysates, Lane 4: human HepG2 whole cell lysates, Lane 5: rat RH35 whole cell lysates, Lane 6: mouse HEPA1-6 whole cell lysates. After electrophoresis, proteins were transferred to a nitrocellulose membrane at 150 mA for 50-90 minutes. Blocked the membrane with 5% non-fat milk/TBS for 1.5 hour at RT. The membrane was incubated with rabbit anti-SNX2 antibody at 0.5 ug/ml overnight at 4oC, then washed with TBS-0.1%Tween 3 times with 5 minutes each and probed with a goat anti-rabbit IgG-HRP secondary antibody at a dilution of 1:5000 for 1.5 hour at RT. The signal was developed using an ECL Plus Western Blotting Substrate. Although the theoretical mass is ~58 kDa, endogenous SNX2 typically migrates at ~66-70 kDa on SDS-PAGE due to phosphorylation and the anomalous mobility of BAR-domain proteins.
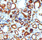
Immunohistochemical staining of SNX2 using anti-SNX2 antibody. SNX2 was detected in a paraffin-embedded section of human thyroid cancer tissue. Heat mediated antigen retrieval was performed in EDTA buffer (pH 8.0, epitope retrieval solution). The tissue section was blocked with 10% goat serum. The tissue section was then incubated with 2 ug/ml rabbit anti-SNX2 antibody overnight at 4oC. Peroxidase Conjugated Goat Anti-rabbit IgG was used as secondary antibody and incubated for 30 minutes at 37oC. The tissue section was developed using an HRP secondary and DAB substrate.
Flow Cytometry analysis of MCF-7 cells using anti-SNX2 antibody. Overlay histogram showing MCF-7 cells stained with (Blue line). The cells were fixed with 4% paraformaldehyde and blocked with 10% normal goat serum. And then incubated with rabbit anti-SNX2 antibody (1 ug/million cells) for 30 min at 20oC. DyLight 488 conjugated goat anti-rabbit IgG (5-10 ug/million cells) was used as secondary antibody for 30 minutes at 20oC. Isotype control antibody (Green line) was rabbit IgG (1 ug/million cells) used under the same conditions. Unlabelled sample without incubation with primary antibody and secondary antibody (Red line) was used as a blank control.
Availability 1-2 days
Species Reactivity Human, Mouse, Rat
Format Lyophilized
Clonality Polyclonal (rabbit origin)
Isotype Rabbit IgG
Purity Immunogen affinity purified
Buffer Each vial contains 4 mg Trehalose, 0.9 mg NaCl, 0.2 mg Na2HPO4.
UniProt O60749
Localization Cytoplasm
Applications Western Blot : 0.25-0.5ug/ml
Immunohistochemistry : 2-5ug/ml
Flow Cytometry : 1-3ug/million cells
ELISA : 0.1-0.5ug/ml
Limitations This SNX2 antibody is available for research use only.
Review this product on BioCompare and get a $20 Amazon gift card

Description

SNX2 antibody detects Sorting nexin-2, a membrane-associated protein involved in endosomal sorting, receptor trafficking, and retrograde transport from endosomes to the trans-Golgi network. The UniProt recommended name is Sorting nexin-2 (SNX2). This protein belongs to the sorting nexin family characterized by a phosphoinositide-binding PX (phox homology) domain that mediates association with endosomal membranes rich in phosphatidylinositol 3-phosphate.

Functionally, SNX2 antibody identifies a 521-amino-acid cytoplasmic protein that localizes to early and recycling endosomes. SNX2 functions as a key component of the retromer complex, which retrieves cargo proteins from endosomes for recycling to the Golgi apparatus or plasma membrane. It works in concert with other retromer subunits such as VPS26, VPS29, and VPS35 to ensure proper sorting and trafficking of membrane receptors including mannose-6-phosphate receptor and Wntless.

The SNX2 gene is located on chromosome 5q23.3 and encodes a protein ubiquitously expressed in eukaryotic cells. SNX2 contains a PX domain that binds phosphoinositides and a BAR (Bin/Amphiphysin/Rvs) domain responsible for membrane curvature sensing and tubulation. Together, these domains enable SNX2 to shape endosomal membranes and facilitate cargo vesicle formation. It also interacts with clathrin and dynamin to coordinate endocytic vesicle budding and recycling.

In cellular signaling, SNX2 regulates the trafficking of growth factor receptors such as EGFR, modulating receptor downregulation and signal duration. It contributes to Wnt pathway regulation by recycling Wntless, essential for ligand secretion. Disruption of SNX2 impairs endosome-to-Golgi transport, leading to accumulation of misrouted cargo and altered cell signaling. SNX2 has also been implicated in pathogen entry and immune receptor trafficking.

SNX2 antibody is widely used in membrane trafficking, signal transduction, and endocytosis research. It is suitable for immunoblotting, immunofluorescence, and subcellular localization studies to visualize endosomal compartments. In neurobiology, SNX2 detection supports studies of synaptic vesicle recycling and neurodegenerative disorders linked to retromer dysfunction. Its expression is also examined in cancer biology, where altered trafficking contributes to aberrant receptor signaling and invasion.

Structurally, SNX2 functions as a dimer that induces membrane tubulation and curvature through its BAR domain, while its PX domain anchors the complex to phosphoinositide-rich membranes. NSJ Bioreagents provides SNX2 antibody reagents validated for use in vesicle transport, endosomal sorting, and receptor recycling studies.

Application Notes

Optimal dilution of the SNX2 antibody should be determined by the researcher.

Immunogen

E.coli-derived human SNX2 recombinant protein (Position: M1-K506) was used as the immunogen for the SNX2 antibody.

Storage

After reconstitution, the SNX2 antibody can be stored for up to one month at 4oC. For long-term, aliquot and store at -20oC. Avoid repeated freezing and thawing.

Cross
Bulk Quote Request Form
Name*:
Organization*:
Email*:
Phone Number*:
Catalog No.*:
Comments and Specifics(amount, formulation, etc.)*:
Validation code: Captchapackage Image


Can't read the image? click here to refresh.
    *required field

Your bulk quote request has been submitted successfully!

Please contact us if you have any questions.