• Tel: 858.663.9055
  • SeparatorEmail: info@nsjbio.com
  • Tel: 858.663.9055
  • Email: info@nsjbio.com
Home >> Antibodies >> SNX16 Antibody / Sorting nexin-16

SNX16 Antibody / Sorting nexin-16 (FY12501)

  Catalog No Formulation Size Price (USD)  
Image FY12501 Adding 0.2 ml of distilled water will yield a concentration of 500 ug/ml 100 ug 449
Bulk quote request
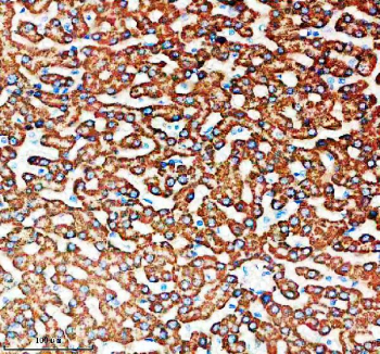
Immunohistochemical staining of SNX16 using anti-SNX16 antibody. SNX16 was detected in a paraffin-embedded section of human liver tissue. Heat mediated antigen retrieval was performed in EDTA buffer (pH 8.0, epitope retrieval solution). The tissue section was blocked with 10% goat serum. The tissue section was then incubated with 2 ug/ml rabbit anti-SNX16 antibody overnight at 4oC. Peroxidase Conjugated Goat Anti-rabbit IgG was used as secondary antibody and incubated for 30 minutes at 37oC. The tissue section was developed using an HRP secondary and DAB substrate.
Western blot analysis of SNX16 using anti-SNX16 antibody. Electrophoresis was performed on a 10% SDS-PAGE gel at 80V (Stacking gel) / 120V (Resolving gel) for 2 hours. Lane 1: human U2OS whole cell lysates, Lane 2: human MCF-7 whole cell lysates, Lane 3: human PC-3 whole cell lysates, Lane 4: human whole cell lysates, Lane 5: rat brain tissue lysates, Lane 6: rat C6 whole cell lysates, Lane 7: mouse brain tissue lysates, Lane 8: mouse Neuro-2a whole cell lysates. After electrophoresis, proteins were transferred to a nitrocellulose membrane at 150 mA for 50-90 minutes. Blocked the membrane with 5% non-fat milk/TBS for 1.5 hour at RT. The membrane was incubated with rabbit anti-SNX16 antibody at 0.5 ug/ml overnight at 4oC, then washed with TBS-0.1%Tween 3 times with 5 minutes each and probed with a goat anti-rabbit IgG-HRP secondary antibody at a dilution of 1:5000 for 1.5 hour at RT. The signal was developed using an ECL Plus Western Blotting Substrate. SNX16 (~39 kDa predicted) was detected as a major band at ~50 kDa, consistent with reduced SDS binding and phosphorylation-dependent mobility shifts typical of coiled-coil PX domain proteins. A minor faster band (~45 kDa) likely represents a dephosphorylated species.
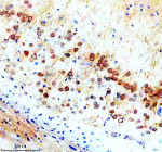
Immunohistochemical staining of SNX16 using anti-SNX16 antibody. SNX16 was detected in a paraffin-embedded section of mouse brain tissue. Heat mediated antigen retrieval was performed in EDTA buffer (pH 8.0, epitope retrieval solution). The tissue section was blocked with 10% goat serum. The tissue section was then incubated with 2 ug/ml rabbit anti-SNX16 antibody overnight at 4oC. Peroxidase Conjugated Goat Anti-rabbit IgG was used as secondary antibody and incubated for 30 minutes at 37oC. The tissue section was developed using an HRP secondary and DAB substrate.
Immunohistochemical staining of SNX16 using anti-SNX16 antibody. SNX16 was detected in a paraffin-embedded section of rat brain tissue. Heat mediated antigen retrieval was performed in EDTA buffer (pH 8.0, epitope retrieval solution). The tissue section was blocked with 10% goat serum. The tissue section was then incubated with 2 ug/ml rabbit anti-SNX16 antibody overnight at 4oC. Peroxidase Conjugated Goat Anti-rabbit IgG was used as secondary antibody and incubated for 30 minutes at 37oC. The tissue section was developed using an HRP secondary and DAB substrate.
Immunohistochemical staining of SNX16 using anti-SNX16 antibody. SNX16 was detected in a paraffin-embedded section of rat brain tissue. Heat mediated antigen retrieval was performed in EDTA buffer (pH 8.0, epitope retrieval solution). The tissue section was blocked with 10% goat serum. The tissue section was then incubated with 2 ug/ml rabbit anti-SNX16 antibody overnight at 4oC. Peroxidase Conjugated Goat Anti-rabbit IgG was used as secondary antibody and incubated for 30 minutes at 37oC. The tissue section was developed using an HRP secondary and DAB substrate.
Immunofluorescent staining of SNX16 using anti-SNX16 antibody (green). SNX16 was detected in an immunocytochemical section of U2OS cells. Enzyme antigen retrieval was performed using IHC enzyme antigen retrieval reagent for 15 mins. The cells were blocked with 10% goat serum. And then incubated with 5 ug/ml rabbit anti-SNX16 antibody overnight at 4oC. DyLight 488 Conjugated Goat Anti-Rabbit IgG was used as secondary antibody at 1:500 dilution and incubated for 30 minutes at 37oC. The section was counterstained with DAPI nuclear stain (blue). Visualize using a fluorescence microscope and filter sets appropriate for the label used.
Flow Cytometry analysis of MCF-7 cells using anti-SNX16 antibody. Overlay histogram showing MCF-7 cells stained with (Blue line). To facilitate intracellular staining, cells were fixed with 4% paraformaldehyde and permeabilized with permeabilization buffer. The cells were blocked with 10% normal goat serum. And then incubated with rabbit anti-SNX16 antibody (1 ug/million cells) for 30 min at 20oC. DyLight 488 conjugated goat anti-rabbit IgG (5-10 ug/million cells) was used as secondary antibody for 30 minutes at 20oC. Isotype control antibody (Green line) was rabbit IgG (1 ug/million cells) used under the same conditions. Unlabelled sample without incubation with primary antibody and secondary antibody (Red line) was used as a blank control.
Availability 1-2 days
Species Reactivity Human, Mouse, Rat
Format Lyophilized
Host Rabbit
Clonality Polyclonal (rabbit origin)
Isotype Rabbit IgG
Purity Immunogen affinity purified
Buffer Each vial contains 4 mg Trehalose, 0.9 mg NaCl, 0.2 mg Na2HPO4.
UniProt P57768
Localization Cytoplasm
Applications Western Blot : 0.25-0.5ug/ml
Immunohistochemistry : 2-5ug/ml
Immunocytochemistry/Immunofluorescence : 5ug/ml
Flow Cytometry : 1-3ug/million cells
ELISA : 0.1-0.5ug/ml
Limitations This SNX16 antibody is available for research use only.
Review this product on BioCompare and get a $20 Amazon gift card

Related Products

  • Applications : WB, IHC-P, ELISA (peptide)
    Reactivity : Human
    Pred. Reactivity : Mouse, Rat, Dog, Pig, Cow

Description

SNX16 antibody detects Sorting nexin-16, a phosphoinositide-binding protein that regulates endosomal trafficking, membrane remodeling, and receptor recycling. SNX16 belongs to the sorting nexin family, which is characterized by the presence of a phox homology (PX) domain that interacts with phosphatidylinositol 3-phosphate-enriched membranes. The SNX16 antibody is widely used in cell biology and neurobiology research to investigate endosome organization and cargo transport.

SNX16 is encoded by the SNX16 gene located on human chromosome 8p21.3. The protein is approximately 62 kilodaltons and localizes primarily to early endosomes. It participates in the formation of tubular endosomal structures that mediate receptor sorting between degradation and recycling pathways. SNX16 functions independently of the retromer complex and instead promotes membrane tubulation through its coiled-coil domain. It regulates trafficking of receptors such as EGFR and TrkB, influencing growth factor signaling and neuronal development.

The SNX16 antibody typically identifies a 40-50 kilodalton protein by western blot and demonstrates punctate cytoplasmic staining characteristic of endosomal localization. Functional studies show that depletion of SNX16 disrupts endosomal tubulation, alters cargo recycling, and can impair signaling pathways dependent on receptor localization. Overexpression of SNX16 enhances endosomal membrane curvature and promotes receptor clustering, demonstrating its mechanochemical role in shaping endosomes.

In neurons, SNX16 contributes to dendritic spine maintenance and receptor turnover, impacting synaptic plasticity. It may also participate in autophagy regulation through endosome-lysosome fusion. Aberrant SNX16 expression has been linked to neurodegenerative disorders and cancer, where altered trafficking pathways contribute to signaling dysregulation. NSJ Bioreagents offers a validated SNX16 antibody, enabling researchers to explore endosomal dynamics, cargo sorting, and signaling modulation.

Application Notes

Optimal dilution of the SNX16 antibody should be determined by the researcher.

Immunogen

E.coli-derived human SNX16 recombinant protein (Position: I84-D344) was used as the immunogen for the SNX16 antibody.

Storage

After reconstitution, the SNX16 antibody can be stored for up to one month at 4oC. For long-term, aliquot and store at -20oC. Avoid repeated freezing and thawing.

Cross
Bulk Quote Request Form
Name*:
Organization*:
Email*:
Phone Number*:
Catalog No.*:
Comments and Specifics(amount, formulation, etc.)*:
Validation code: Captchapackage Image


Can't read the image? click here to refresh.
    *required field

Your bulk quote request has been submitted successfully!

Please contact us if you have any questions.