• Tel: 858.663.9055
  • SeparatorEmail: info@nsjbio.com
  • Tel: 858.663.9055
  • Email: info@nsjbio.com
Home >> Antibodies >> SNTB1 Antibody / Beta-1-Syntrophin

SNTB1 Antibody / Beta-1-Syntrophin (FY12811)

  Catalog No Formulation Size Price (USD)  
Image FY12811 Adding 0.2 ml of distilled water will yield a concentration of 500 ug/ml 100 ug 449
Bulk quote request
Flow Cytometry analysis of human JK cells using anti-SNTB1 antibody. Overlay histogram showing JK cells stained with (Blue line). To facilitate intracellular staining, cells were fixed with 4% paraformaldehyde and permeabilized with permeabilization buffer. The cells were blocked with 10% normal goat serum. And then incubated with rabbit anti-SNTB1 antibody (1 ug/million cells) for 30 min at 20oC. DyLight 488 conjugated goat anti-rabbit IgG (5-10 ug/million cells) was used as secondary antibody for 30 minutes at 20oC. Isotype control antibody (Green line) was rabbit IgG (1 ug/million cells) used under the same conditions. Unlabelled sample (Red line) was also used as a control.
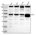
Western blot analysis of SNTB1 using anti-SNTB1 antibody. Lane 1: human Hela whole cell lysates, Lane 2: human 293T whole cell lysates, Lane 3: human Jurkat whole cell lysates, Lane 4: human HepG2 whole cell lysates. After electrophoresis, proteins were transferred to a nitrocellulose membrane at 150 mA for 50-90 minutes. Blocked the membrane with 5% non-fat milk/TBS for 1.5 hour at RT. The membrane was incubated with rabbit anti-SNTB1 antibody at 0.5 ug/ml overnight at 4oC, then washed with TBS-0.1%Tween 3 times with 5 minutes each and probed with a goat anti-rabbit IgG-HRP secondary antibody at a dilution of 1:5000 for 1.5 hour at RT. The signal was developed using enhanced chemiluminescent. A predominant band is detected just below the 70 kDa marker, consistent with full-length SNTB1 running above its predicted ~58 kDa, with additional bands likely reflecting isoforms or phosphorylation states.
Availability 1-2 days
Species Reactivity Human
Format Lyophilized
Host Rabbit
Clonality Polyclonal (rabbit origin)
Isotype Rabbit IgG
Purity Immunogen affinity purified
Buffer Each vial contains 4 mg Trehalose, 0.9 mg NaCl, 0.2 mg Na2HPO4.
UniProt Q13884
Applications Western Blot : 0.25-0.5ug/ml
Flow Cytometry : 1-3ug/million cells
ELISA : 0.1-0.5ug/ml
Limitations This SNTB1 antibody is available for research use only.
Review this product on BioCompare and get a $20 Amazon gift card

Description

SNTB1 antibody detects Beta-1-syntrophin, a cytoskeletal adaptor protein involved in signal transduction, membrane organization, and muscle integrity. Encoded by the SNTB1 gene on chromosome 8q23.1, this protein belongs to the syntrophin family, which binds to dystrophin and associated glycoprotein complexes at the sarcolemma. SNTB1 links signaling molecules to the cytoskeleton, coordinating ion channel localization, receptor clustering, and intracellular signaling in muscle and neuronal tissues.

Structurally, SNTB1 contains PDZ, PH, and SU domains that mediate interactions with ion channels, kinases, and membrane receptors. It associates with the dystrophin complex through its PH domain and serves as a scaffold for signaling proteins such as neuronal nitric oxide synthase (nNOS) and voltage-gated sodium channels. By organizing these proteins at the plasma membrane, SNTB1 maintains muscle membrane stability and signal transduction efficiency.

The SNTB1 antibody is used in muscle biology, neuroscience, and membrane signaling research to study the dystrophin-associated complex and its role in muscular and neurological disorders. Western blot analysis identifies a 60 kilodalton band corresponding to SNTB1, while immunofluorescence reveals sarcolemmal and cytoplasmic staining in muscle fibers and neurons. This antibody provides a critical tool for exploring membrane-associated scaffolding and signaling mechanisms.

Mutations or altered expression of syntrophin family members, including SNTB1, contribute to muscular dystrophy, channelopathies, and synaptic dysfunction. SNTB1 also participates in signaling pathways regulating calcium homeostasis and cytoskeletal remodeling. The SNTB1 antibody supports research into these pathways and their implications in neuromuscular and cardiovascular diseases. NSJ Bioreagents supplies this antibody validated for its applications, ensuring accurate detection of beta-1-syntrophin in diverse tissues.

Application Notes

Optimal dilution of the SNTB1 antibody should be determined by the researcher.

Immunogen

E.coli-derived human SNTB1 recombinant protein (Position: Q83-E452) was used as the immunogen for the SNTB1 antibody.

Storage

After reconstitution, the SNTB1 antibody can be stored for up to one month at 4oC. For long-term, aliquot and store at -20oC. Avoid repeated freezing and thawing.

Cross
Bulk Quote Request Form
Name*:
Organization*:
Email*:
Phone Number*:
Catalog No.*:
Comments and Specifics(amount, formulation, etc.)*:
Validation code: Captchapackage Image


Can't read the image? click here to refresh.
    *required field

Your bulk quote request has been submitted successfully!

Please contact us if you have any questions.