• Tel: 858.663.9055
  • SeparatorEmail: info@nsjbio.com
  • Tel: 858.663.9055
  • Email: info@nsjbio.com
Home >> Antibodies >> SNTA1 Antibody / Alpha-1-Syntrophin

SNTA1 Antibody / Alpha-1-Syntrophin (FY12923)

  Catalog No Formulation Size Price (USD)  
Image FY12923 Adding 0.2 ml of distilled water will yield a concentration of 500 ug/ml 100 ug 449
Bulk quote request
Flow Cytometry analysis of HepG2 cells using anti-SNTA1 antibody. Overlay histogram showing HepG2 cells stained with (Blue line). To facilitate intracellular staining, cells were fixed with 4% paraformaldehyde and permeabilized with permeabilization buffer. The cells were blocked with 10% normal goat serum. And then incubated with rabbit anti-SNTA1 antibody (1 ug/million cells) for 30 min at 20oC. DyLight 488 conjugated goat anti-rabbit IgG (5-10 ug/million cells) was used as secondary antibody for 30 minutes at 20oC. Isotype control antibody (Green line) was rabbit IgG (1 ug/million cells) used under the same conditions. Unlabelled sample without incubation with primary antibody and secondary antibody (Red line) was used as a blank control.
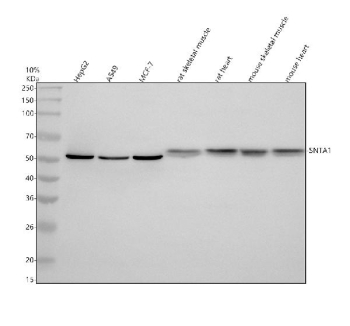
Western blot analysis of SNTA1 using anti-SNTA1 antibody. Electrophoresis was performed on a 10% SDS-PAGE gel at 80V (Stacking gel) / 120V (Resolving gel) for 2 hours. Lane 1: human HepG2 whole cell lysates, Lane 2: human whole cell lysates, Lane 3: human MCF-7 whole cell lysates, Lane 4: rat skeletal muscle tissue lysates, Lane 5: rat heart tissue lysates, Lane 6: mouse skeletal muscle tissue lysates, Lane 7: mouse heart tissue lysates. After electrophoresis, proteins were transferred to a nitrocellulose membrane at 150 mA for 50-90 minutes. Blocked the membrane with 5% non-fat milk/TBS for 1.5 hour at RT. The membrane was incubated with rabbit anti-SNTA1 antibody at 0.5 ug/ml overnight at 4oC, then washed with TBS-0.1%Tween 3 times with 5 minutes each and probed with a goat anti-rabbit IgG-HRP secondary antibody at a dilution of 1:5000 for 1.5 hour at RT. The signal was developed using an ECL Plus Western Blotting Substrate. A predominant ~54 kDa band is detected in all samples. Rat and mouse tissues show a slightly higher band forming a tight doublet with a lower band, consistent with phosphorylation-dependent mobility and a minor proteolytic or shorter isoform species commonly observed in rodent muscle lysates.
Availability 1-2 days
Species Reactivity Human, Mouse, Rat
Format Lyophilized
Host Rabbit
Clonality Polyclonal (rabbit origin)
Isotype Rabbit IgG
Purity Immunogen affinity purified
Buffer Each vial contains 4 mg Trehalose, 0.9 mg NaCl, 0.2 mg Na2HPO4.
UniProt Q13424
Applications Western Blot : 0.25-0.5ug/ml
Flow Cytometry : 1-3ug/million cells
ELISA : 0.1-0.5ug/ml
Limitations This SNTA1 antibody is available for research use only.
Review this product on BioCompare and get a $20 Amazon gift card

Related Products

  • Applications : WB, ELISA (peptide)
    Reactivity : Human, Mouse, Rat
    Pred. Reactivity : Cow, Dog, Pig

Description

SNTA1 antibody detects Alpha-1-syntrophin, a cytoskeletal adaptor protein that organizes signaling complexes at the plasma membrane, particularly in muscle and neuronal tissues. Encoded by the SNTA1 gene on chromosome 20q11.2, this protein belongs to the syntrophin family of PDZ domain-containing scaffold proteins that associate with dystrophin and dystrobrevin to form part of the dystrophin-associated protein complex (DAPC). Alpha-1-syntrophin facilitates communication between membrane channels, receptors, and intracellular signaling proteins, contributing to cellular structural integrity and signaling regulation.

Structurally, Alpha-1-syntrophin is a 505-amino-acid cytoplasmic protein of approximately 55 kilodaltons containing multiple modular domains, including a pleckstrin homology (PH) domain, a PDZ domain, and a C-terminal syntrophin unique (SU) region. These domains mediate interactions with membrane proteins such as neuronal nitric oxide synthase (nNOS), ion channels, and cytoskeletal elements. The protein localizes to the sarcolemma in muscle cells and to synaptic and submembranous regions in neurons.

The SNTA1 antibody is widely used in muscle biology, neuroscience, and cardiovascular research to study membrane organization, signal transduction, and cytoskeletal dynamics. Western blot analysis detects a 55 kilodalton band corresponding to Alpha-1-syntrophin, while immunofluorescence reveals membrane-associated and cytoplasmic staining patterns consistent with its adaptor function. This antibody provides a reliable tool for examining the molecular architecture of membrane-associated signaling complexes.

Functionally, SNTA1 regulates nitric oxide signaling, calcium homeostasis, and ion channel activity by linking nNOS and other signaling proteins to the DAPC. Mutations in SNTA1 have been associated with long QT syndrome and cardiac arrhythmias, suggesting a role in maintaining proper electrical signaling in cardiomyocytes. Alpha-1-syntrophin also influences cellular migration and polarization by anchoring signaling complexes at specific membrane domains. The SNTA1 antibody supports research into cytoskeletal organization, membrane signaling, and neuromuscular disease. NSJ Bioreagents validates this antibody for its applications, ensuring reliable and reproducible detection in cell signaling and structural biology studies.

Application Notes

Optimal dilution of the SNTA1 antibody should be determined by the researcher.

Immunogen

E.coli-derived human SNTA1 recombinant protein (Position: Q76-H480) was used as the immunogen for the SNTA1 antibody.

Storage

After reconstitution, the SNTA1 antibody can be stored for up to one month at 4oC. For long-term, aliquot and store at -20oC. Avoid repeated freezing and thawing.

Cross
Bulk Quote Request Form
Name*:
Organization*:
Email*:
Phone Number*:
Catalog No.*:
Comments and Specifics(amount, formulation, etc.)*:
Validation code: Captchapackage Image


Can't read the image? click here to refresh.
    *required field

Your bulk quote request has been submitted successfully!

Please contact us if you have any questions.