• Tel: 858.663.9055
  • SeparatorEmail: info@nsjbio.com
  • Tel: 858.663.9055
  • Email: info@nsjbio.com
Home >> Antibodies >> SNRNP27 Antibody

SNRNP27 Antibody (RQ7758)

  Catalog No Formulation Size Price (USD)  
Image RQ7758 0.5mg/ml if reconstituted with 0.2ml sterile DI water 100 ug 449
Bulk quote request
Immunofluorescent staining of FFPE human U-87 MG cells with SNRNP27 antibody (red) and Beta Tubulin mAb (green). HIER: steam section in pH6 citrate buffer for 20 min.
Immunofluorescent staining of FFPE human colon cancer tissue with SNRNP27 antibody (green). HIER: steam section in pH8 EDTA buffer for 20 min.
Immunofluorescent staining of FFPE mouse brain tissue with SNRNP27 antibody (green). HIER: steam section in pH8 EDTA buffer for 20 min.
Immunofluorescent staining of FFPE rat brain tissue with SNRNP27 antibody (green). HIER: steam section in pH8 EDTA buffer for 20 min.
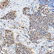
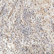
IHC staining of FFPE human prostate adenocarcinoma tissue with SNRNP27 antibody. HIER: boil tissue sections in pH8 EDTA for 20 min and allow to cool before testing.
IHC staining of FFPE human urothelial carcinoma tissue with SNRNP27 antibody. HIER: boil tissue sections in pH8 EDTA for 20 min and allow to cool before testing.
IHC staining of FFPE human right renal oncocytoma tissue with SNRNP27 antibody. HIER: boil tissue sections in pH8 EDTA for 20 min and allow to cool before testing.
IHC staining of FFPE human glioblastoma tissue with SNRNP27 antibody. HIER: boil tissue sections in pH8 EDTA for 20 min and allow to cool before testing.
IHC staining of FFPE human esophageal squamous carcinoma tissue with SNRNP27 antibody. HIER: boil tissue sections in pH8 EDTA for 20 min and allow to cool before testing.
IHC staining of FFPE human diffuse large B cell lymphoma tissue with SNRNP27 antibody. HIER: boil tissue sections in pH8 EDTA for 20 min and allow to cool before testing.
IHC staining of FFPE human colon adenocarcinoma tissue with SNRNP27 antibody. HIER: boil tissue sections in pH8 EDTA for 20 min and allow to cool before testing.
IHC staining of FFPE human appendix adenocarcinoma tissue with SNRNP27 antibody. HIER: boil tissue sections in pH8 EDTA for 20 min and allow to cool before testing.
IHC staining of FFPE mouse brain tissue with SNRNP27 antibody. HIER: boil tissue sections in pH8 EDTA for 20 min and allow to cool before testing.
IHC staining of FFPE rat brain tissue with SNRNP27 antibody. HIER: boil tissue sections in pH8 EDTA for 20 min and allow to cool before testing.
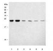
Western blot testing of 1) human 293T, 2) human MOLT4, 3) human placenta, 4) rat brain, 5) mouse brain, 6) mouse liver tissue lysate with SNRNP27 antibody. Predicted molecular weight ~19 kDa.
Availability 1-3 business days
Species Reactivity Human, Mouse, Rat
Format Antigen affinity purified
Host Rabbit
Clonality Polyclonal (rabbit origin)
Isotype Rabbit IgG
Purity Antigen affinity purified
Buffer Lyophilized from 1X PBS with 2% Trehalose
UniProt Q8WVK2
Localization Nuclear
Applications Western Blot : 0.5-1ug/ml
Immunohistochemistry (FFPE) : 2-5ug/ml
Immunofluorescence : 5ug/ml
Direct ELISA : 0.1-0.5ug/ml
Limitations This SNRNP27 antibody is available for research use only.
Review this product on BioCompare and get a $20 Amazon gift card

Description

This gene encodes a serine/arginine-rich (SR) protein. SR proteins play important roles in pre-mRNA splicing by facilitating the recognition and selection of splice sites. The encoded protein associates with the 25S U4/U6.U5 tri-snRNP, a major component of the U2-type spiceosome. The expression of this gene may be altered in cells infected with the human T-cell lymphotropic virus type 1 (HTLV-1) retrovirus. A pseudogene of this gene is located on the long arm of chromosome 5. Alternatively spliced transcript variants have been observed for this gene.

Application Notes

Optimal dilution of the SNRNP27 antibody should be determined by the researcher.

Immunogen

E. coli-derived recombinant human protein (amino acids E100-A155) was used as the immunogen for the SNRNP27 antibody.

Storage

After reconstitution, the SNRNP27 antibody can be stored for up to one month at 4oC. For long-term, aliquot and store at -20oC. Avoid repeated freezing and thawing.

Cross
Bulk Quote Request Form
Name*:
Organization*:
Email*:
Phone Number*:
Catalog No.*:
Comments and Specifics(amount, formulation, etc.)*:
Validation code: Captchapackage Image


Can't read the image? click here to refresh.
    *required field

Your bulk quote request has been submitted successfully!

Please contact us if you have any questions.