• Tel: 858.663.9055
  • SeparatorEmail: info@nsjbio.com
  • Tel: 858.663.9055
  • Email: info@nsjbio.com
Home >> Antibodies >> SNCG Antibody / Gamma Synuclein

SNCG Antibody / Gamma Synuclein (RQ7521)

  Catalog No Formulation Size Price (USD)  
Image RQ7521 0.5mg/ml if reconstituted with 0.2ml sterile DI water 100 ug 449
Bulk quote request
Flow cytometry testing of human HeLa cells with SNCG antibody at 1ug/million cells (blocked with goat sera); Red=cells alone, Green=isotype control, Blue= SNCG antibody.
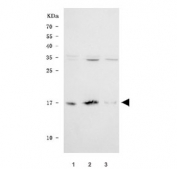
Western blot testing of human 1) HeLa, 2) RT4 and 3) HaCaT cell lysate with SNCG antibody. Expected molecular weight: 13-17 kDa.
Availability 1-3 business days
Species Reactivity Human
Format Antigen affinity purified
Host Rabbit
Clonality Polyclonal (rabbit origin)
Isotype Rabbit IgG
Purity Antigen affinity purified
Buffer Lyophilized from 1X PBS with 2% Trehalose
UniProt O76070
Applications Western Blot : 0.5-1ug/ml
Flow Cytometry : 1-3ug/million cells
Limitations This SNCG antibody is available for research use only.
Review this product on BioCompare and get a $20 Amazon gift card

Related Products

Description

Gamma-synuclein is a protein that in humans is encoded by the SNCG gene. This gene encodes a member of the synuclein family of proteins which are believed to be involved in the pathogenesis of neurodegenerative diseases. Mutations in this gene have also been associated with breast tumor development.

Application Notes

Optimal dilution of the SNCG antibody should be determined by the researcher.

Immunogen

Amino acids VVRKEDLRPSAPQQEGEASKEK from the human protein were used as the immunogen for the SNCG antibody.

Storage

After reconstitution, the SNCG antibody can be stored for up to one month at 4oC. For long-term, aliquot and store at -20oC. Avoid repeated freezing and thawing.

Cross
Bulk Quote Request Form
Name*:
Organization*:
Email*:
Phone Number*:
Catalog No.*:
Comments and Specifics(amount, formulation, etc.)*:
Validation code: Captchapackage Image


Can't read the image? click here to refresh.
    *required field

Your bulk quote request has been submitted successfully!

Please contact us if you have any questions.