• Tel: 858.663.9055
  • SeparatorEmail: info@nsjbio.com
  • Tel: 858.663.9055
  • Email: info@nsjbio.com
Home >> Antibodies >> SMYD1 Antibody / SET and MYND domain-containing protein 1

SMYD1 Antibody / SET and MYND domain-containing protein 1 (FY12669)

  Catalog No Formulation Size Price (USD)  
Image FY12669 Adding 0.2 ml of distilled water will yield a concentration of 500 ug/ml 100 ug 449
Bulk quote request
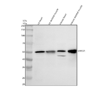
Western blot analysis of SMYD1 using anti-SMYD1 antibody. Electrophoresis was performed on a 10% SDS-PAGE gel at 80V (Stacking gel) / 120V (Resolving gel) for 2 hours. Lane 1: rat heart tissue lysates, Lane 2: rat skeletal muscle tissue lysates, Lane 3: mouse heart tissue lysates, Lane 4: mouse skeletal muscle tissue lysates. After electrophoresis, proteins were transferred to a nitrocellulose membrane at 150 mA for 50-90 minutes. Blocked the membrane with 5% non-fat milk/TBS for 1.5 hour at RT. The membrane was incubated with rabbit anti-SMYD1 antibody at 0.5 ug/ml overnight at 4oC, then washed with TBS-0.1%Tween 3 times with 5 minutes each and probed with a goat anti-rabbit IgG-HRP secondary antibody at a dilution of 1:5000 for 1.5 hour at RT. The signal was developed using an ECL Plus Western Blotting Substrate. A specific band was detected for SMYD1 at approximately 57 kDa. The expected molecular weight of SMYD1 is ~57 kDa.
Availability 1-2 days
Species Reactivity Mouse, Rat
Format Lyophilized
Host Rabbit
Clonality Polyclonal (rabbit origin)
Isotype Rabbit IgG
Purity Immunogen affinity purified
Buffer Each vial contains 4 mg Trehalose, 0.9 mg NaCl, 0.2 mg Na2HPO4.
UniProt Q8NB12
Applications Western Blot : 0.25-0.5ug/ml
ELISA : 0.1-0.5ug/ml
Limitations This SMYD1 antibody is available for research use only.
Review this product on BioCompare and get a $20 Amazon gift card

Description

SMYD1 antibody detects SET and MYND domain-containing protein 1, a muscle-specific histone methyltransferase that regulates gene expression during cardiac and skeletal muscle differentiation. SMYD1 modulates transcription by methylating histone H3 on lysine 4 and recruiting transcriptional cofactors to promoter regions of muscle-specific genes. The SMYD1 antibody is widely used in developmental biology and epigenetics research to study muscle gene regulation, histone modification, and cardiogenesis.

SMYD1 is encoded by the SMYD1 gene located on human chromosome 2p11.2. The protein is approximately 490 amino acids long and contains an N-terminal SET domain responsible for methyltransferase activity and a C-terminal MYND zinc-finger domain that mediates protein-protein interactions. SMYD1 is predominantly expressed in heart and skeletal muscle tissues, where it coordinates transcriptional programs required for myofibril assembly and contractile function.

The SMYD1 antibody detects a 55 kilodalton band by western blot and shows nuclear and sarcoplasmic staining under immunofluorescence microscopy. SMYD1 acts as a transcriptional regulator of genes encoding structural and contractile proteins such as myosin heavy chains and troponins. It interacts with cofactors like HDACs and skNAC to coordinate repression and activation cycles during myogenesis.

Loss of SMYD1 function in animal models results in defective cardiac morphogenesis, reduced sarcomere organization, and embryonic lethality, highlighting its critical developmental role. Dysregulation of SMYD1 expression has been linked to cardiomyopathy and muscular dystrophy, where abnormal histone methylation alters muscle gene networks. Beyond muscle, SMYD1 may influence differentiation of smooth muscle and endothelial lineages through epigenetic signaling.

Because SMYD1 couples chromatin modification to tissue-specific transcription, it represents a pivotal regulator of muscle differentiation and cardiac development. NSJ Bioreagents provides a validated SMYD1 antibody optimized for its applications, supporting research into epigenetic control, muscle biology, and developmental gene regulation.

Application Notes

Optimal dilution of the SMYD1 antibody should be determined by the researcher.

Immunogen

E.coli-derived human SMYD1 recombinant protein (Position: K57-Q472) was used as the immunogen for the SMYD1 antibody.

Storage

After reconstitution, the SMYD1 antibody can be stored for up to one month at 4oC. For long-term, aliquot and store at -20oC. Avoid repeated freezing and thawing.

Cross
Bulk Quote Request Form
Name*:
Organization*:
Email*:
Phone Number*:
Catalog No.*:
Comments and Specifics(amount, formulation, etc.)*:
Validation code: Captchapackage Image


Can't read the image? click here to refresh.
    *required field

Your bulk quote request has been submitted successfully!

Please contact us if you have any questions.