• Tel: 858.663.9055
  • SeparatorEmail: info@nsjbio.com
  • Tel: 858.663.9055
  • Email: info@nsjbio.com
Home >> Antibodies >> SMTN Antibody / Smoothelin

SMTN Antibody / Smoothelin (FY13280)

  Catalog No Formulation Size Price (USD)  
Image FY13280 Adding 0.2 ml of distilled water will yield a concentration of 500 ug/ml 100 ug 449
Bulk quote request
Immunofluorescent staining of SMTN using anti-SMTN antibody (red) and anti-Beta Tubulin antibody (green). SMTN was detected in immunocytochemical section of cell. Enzyme antigen retrieval was performed using IHC enzyme antigen retrieval reagent for 15 mins. The cells were blocked with 10% goat serum. And then incubated with 5 ug/ml rabbit anti-SMTN antibody and mouse anti-Beta Tubulin antibody overnight at 4oC. Cy3 Conjugated Goat Anti-Rabbit IgG and FITC Conjugated Goat Anti-Mouse IgG were used as secondary antibody at 1:500 dilution and incubated for 30 minutes at 37oC. Visualize using a fluorescence microscope and filter sets appropriate for the label used.
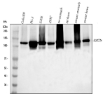
Western blot analysis of SMTN using anti-SMTN antibody. Lane 1: human Colo320 whole cell lysates, Lane 2: human PC-3 whole cell lysates, Lane 3: human U20S whole cell lysates, Lane 4: human 293T whole cell lysates, Lane 5: rat stomach tissue lysates, Lane 6: rat heart tissue lysates, Lane 7: mouse stomach tissue lysates, Lane 8: mouse heart tissue lysates. After electrophoresis, proteins were transferred to a nitrocellulose membrane at 150 mA for 50-90 minutes. Blocked the membrane with 5% non-fat milk/TBS for 1.5 hour at RT. The membrane was incubated with rabbit anti-SMTN antibody at 0.25 ug/ml overnight at 4oC, then washed with TBS-0.1%Tween 3 times with 5 minutes each and probed with a goat anti-rabbit IgG-HRP secondary antibody at a dilution of 1:5000 for 1.5 hour at RT. The signal was developed using enhanced chemiluminescent. Predicted molecular weight ~99 kDa but commonly observed at ~110 kDa (long form).
Availability 1-2 days
Species Reactivity Human, Mouse, Rat
Format Lyophilized
Host Rabbit
Clonality Polyclonal (rabbit origin)
Isotype Rabbit IgG
Purity Immunogen affinity purified
Buffer Each vial contains 4 mg Trehalose, 0.9 mg NaCl, 0.2 mg Na2HPO4.
UniProt P53814
Localization Cytoplasm (Actin filaments), Nucleus
Applications Western Blot : 0.25-0.5ug/ml
Immunocytochemistry : 5ug/ml
Immunofluorescence : 5ug/ml
ELISA : 0.1-0.5ug/ml
Limitations This SMTN antibody is available for research use only.
Review this product on BioCompare and get a $20 Amazon gift card

Related Products

Description

SMTN antibody recognizes Smoothelin, a cytoskeletal protein encoded by the SMTN gene and specifically expressed in contractile smooth muscle cells. Smoothelin is a key component of the actin cytoskeleton that contributes to the mechanical stability and contractile function of differentiated smooth muscle. This protein localizes to stress fibers and dense bodies, where it interacts with actin filaments to support force generation and cell shape maintenance. SMTN exists in multiple isoforms, including smoothelin-A, primarily found in visceral smooth muscle, and smoothelin-B, which is more abundant in vascular smooth muscle. The expression of these isoforms reflects the functional specialization of different smooth muscle types in the gastrointestinal tract, bladder, and blood vessels.

Smoothelin is tightly regulated during the phenotypic switch between contractile and synthetic smooth muscle states. During vascular injury or atherosclerotic changes, smooth muscle cells often downregulate SMTN expression as they transition to a proliferative phenotype, highlighting its role as a marker of mature, differentiated smooth muscle. Experimental models have shown that SMTN interacts with alpha-actinin, calponin, and other structural proteins to form an integrated cytoskeletal network essential for contractility. The gene is located on chromosome 22q12.3 and is transcriptionally regulated by serum response factor (SRF) and myocardin-related transcription factors, both central regulators of smooth muscle differentiation.

Immunohistochemical analysis reveals strong SMTN staining in vascular media, intestinal muscularis, and detrusor muscle, whereas non-muscle tissues lack expression. Because of its restricted distribution, SMTN antibody is widely used in smooth muscle cell research, vascular biology, and tumor pathology to distinguish contractile smooth muscle cells from fibroblasts or myofibroblasts. Loss or reduction of SMTN has been associated with vascular remodeling, hypertension, and certain myopathies. The smoothelin protein is also of interest as a potential biomarker for monitoring smooth muscle differentiation in stem cell-derived tissue engineering systems.

SMTN antibody from NSJ Bioreagents can be applied in immunocytochemistry, immunohistochemistry, and other detection formats to study cytoskeletal organization and smooth muscle differentiation pathways in diverse model systems.

Application Notes

Optimal dilution of the SMTN antibody should be determined by the researcher.

Immunogen

E.coli-derived human SMTN recombinant protein (Position: E72-D881) was used as the immunogen for the SMTN antibody.

Storage

After reconstitution, the SMTN antibody can be stored for up to one month at 4oC. For long-term, aliquot and store at -20oC. Avoid repeated freezing and thawing.

Cross
Bulk Quote Request Form
Name*:
Organization*:
Email*:
Phone Number*:
Catalog No.*:
Comments and Specifics(amount, formulation, etc.)*:
Validation code: Captchapackage Image


Can't read the image? click here to refresh.
    *required field

Your bulk quote request has been submitted successfully!

Please contact us if you have any questions.