• Tel: 858.663.9055
  • SeparatorEmail: info@nsjbio.com
  • Tel: 858.663.9055
  • Email: info@nsjbio.com
Home >> Antibodies >> Smooth Muscle Actin Antibody / ACTA2

Smooth Muscle Actin Antibody / ACTA2 [clone rACTA2/1625] (V9287)

  Catalog No Formulation Size Price (USD)  
Image V9287-100UG 0.2 mg/ml in 1X PBS with 0.1 mg/ml BSA (US sourced), 0.05% sodium azide 100 ug 559
Image
V9287-20UG 0.2 mg/ml in 1X PBS with 0.1 mg/ml BSA (US sourced), 0.05% sodium azide 20 259
Image
V9287SAF-100UG 1 mg/ml in 1X PBS; BSA free, sodium azide free 100 559
Microvalidated Recmousemono
Bulk quote request
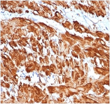
Immunohistochemistry analysis of Smooth Muscle Actin / ACTA2 antibody (clone rACTA2/1625) in human uterus tissue. FFPE human uterus demonstrates strong cytoplasmic HRP-DAB brown staining in smooth muscle cells of the myometrium, consistent with Alpha smooth muscle actin expression. Staining is diffuse and intense within elongated spindle-shaped smooth muscle cells arranged in interlacing bundles, while surrounding stromal elements show comparatively weaker signal. Nuclei are counterstained blue. Heat induced epitope retrieval was performed by boiling tissue sections in 10 mM Tris with 1 mM EDTA, pH 9.0, for 20 minutes followed by cooling prior to immunostaining.
IHC staining of FFPE human skeletal muscle with Smooth Muscle Actin antibody (clone rACTA2/1625). HIER: boil tissue sections in pH 9 10mM Tris with 1mM EDTA for 20 min and allow to cool before testing.
SDS-PAGE analysis of purified, BSA-free Smooth Muscle Actin antibody (rACTA2/1625) as confirmation of integrity and purity.
Availability 1-3 business days
Species Reactivity Human (broad species reactivity predicted)
Format Purified
Host Mouse
Clonality Recombinant Mouse Monoclonal
Isotype Mouse IgG1, kappa
Clone Name rACTA2/1625
Purity Protein A/G affinity
UniProt P62736
Localization Cytoplasm
Applications Immunohistochemistry (FFPE) : 1-2ug/ml
Limitations This Smooth Muscle Actin antibody is available for research use only.
Review this product on BioCompare and get a $20 Amazon gift card

Related Products

Description

Smooth Muscle Actin antibody recognizes Alpha smooth muscle actin, a cytoskeletal contractile protein encoded by the human ACTA2 gene located on chromosome 10q23.31. Alpha smooth muscle actin is a major component of the actin filament network in vascular smooth muscle cells and is predominantly localized in the cytoplasm, where it forms filamentous structures that contribute to cellular contractility and structural integrity. Smooth Muscle Actin antibody targets a protein widely used as a marker of smooth muscle differentiation and myofibroblast activation.

ACTA2 belongs to the actin family of highly conserved proteins that polymerize to form microfilaments. Alpha smooth muscle actin is specifically enriched in vascular smooth muscle cells, pericytes, and activated myofibroblasts. It plays a critical role in maintaining vascular tone, regulating blood pressure, and mediating wound contraction. In normal physiology, ACTA2 expression supports contractile function in arteries and other smooth muscle-containing tissues. During tissue injury and fibrosis, fibroblasts can acquire a myofibroblast phenotype characterized by increased ACTA2 expression and enhanced contractile capability.

Altered ACTA2 expression has been associated with a range of pathological conditions. Mutations in ACTA2 are linked to familial thoracic aortic aneurysm and dissection, reflecting the importance of smooth muscle actin in vascular wall stability. Increased Alpha smooth muscle actin expression is also observed in fibrotic diseases and within the tumor microenvironment, where cancer-associated fibroblasts express ACTA2 and contribute to tumor progression and stromal remodeling. Because of its role in contractile differentiation, Smooth Muscle Actin antibody is frequently used to identify smooth muscle cells and activated stromal components in histological studies.

Smooth Muscle Actin antibody is suitable for detecting Alpha smooth muscle actin expression in research focused on vascular biology, fibrosis, wound healing, and tumor stroma analysis. Recombinant monoclonal clone rACTA2/1625 is produced using defined expression systems to promote lot-to-lot consistency and reliable performance in research applications.

Application Notes

Optimal dilution of the Smooth Muscle Actin antibody should be determined by the researcher.

Immunogen

N-Terminal decapeptide of alpha smooth muscle isoform of actin was used as the immunogen for the Smooth Muscle Actin antibody.

Storage

Aliquot the Smooth Muscle Actin antibody and store frozen at -20oC or colder. Avoid repeated freeze-thaw cycles.

Cross
Bulk Quote Request Form
Name*:
Organization*:
Email*:
Phone Number*:
Catalog No.*:
Comments and Specifics(amount, formulation, etc.)*:
Validation code: Captchapackage Image


Can't read the image? click here to refresh.
    *required field

Your bulk quote request has been submitted successfully!

Please contact us if you have any questions.