• Tel: 858.663.9055
  • SeparatorEmail: info@nsjbio.com
  • Tel: 858.663.9055
  • Email: info@nsjbio.com
Home >> Antibodies >> SMN1 Antibody / Survival of Motor Neuron

SMN1 Antibody / Survival of Motor Neuron [clone SMN1/1596] (V5795)

  Catalog No Formulation Size Price (USD)  
Image V5795-100UG 0.2 mg/ml in 1X PBS with 0.1 mg/ml BSA (US sourced), 0.05% sodium azide 100 ug 559
Image
V5795-20UG 0.2 mg/ml in 1X PBS with 0.1 mg/ml BSA (US sourced), 0.05% sodium azide 20 ug 259
Image
V5795SAF-100UG 1 mg/ml in 1X PBS; BSA free, sodium azide free 100 ug 559
Bulk quote request
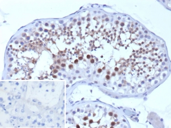
IHC staining of FFPE human testis tissue with SMN1 antibody (clone SMN1/1596). Inset: PBS used in place of primary Ab (secondary Ab negative control). HIER: boil tissue sections in pH 9 10mM Tris with 1mM EDTA for 20 min and allow to cool before testing.
SDS-PAGE analysis of purified, BSA-free SMN1 antibody (clone SMN1/1596) as confirmation of integrity and purity.
Availability 1-3 business days
Species Reactivity Human
Format Purified
Host Mouse
Clonality Monoclonal (mouse origin)
Isotype Mouse IgG1, kappa
Clone Name SMN1/1596
Purity Protein G affinity
UniProt Q16637
Localization Nucleus
Applications Immunohistochemistry (FFPE) : 1-2ug/ml
Limitations This SMN1 antibody is available for research use only.
Review this product on BioCompare and get a $20 Amazon gift card

Related Products

Description

Spinal muscular atrophy (SMA) is an autosomal recessive neurodegenerative disease characterized by loss of motor neurons in the spinal cord. SMA is caused by deletion or loss-of-function mutations of SMN (survival of motor neuron) gene. SMN, also known as Gemin1, SMN1, SMNT and BCD541, exists as four isoforms produced by alternative splicing. SMN is oligomeric and forms a complex with Gemin2 (formerly SIP1), Gemin3 (a DEAD box RNA helicase), Gemin4, Gemin5 and Gemin6, as well as several spliceosomal snRNP proteins. The SMN complex plays an essential role in splicesomal snRNP assembly in the cytoplasm and is required for pre-mRNA splicing of the nucleus. The SMN complex is found in both the cytoplasm and the nucleus. The nuclear form is concentrated in subnuclear bodies called gems (gemini of the coiled bodies). Cytoplasmic SMN interacts with spliceosomal Sm proteins and facilitates their assembly onto U snRNAs, and nuclear SMN mediates recycling of pre-mRNA splicing factors. Nearly identical telomeric and centromeric forms of SMN encode the same protein; however, only mutations in the telomeric form are associated with the disease-state SMA. SMN is expresed in a wide variety of tissues including brain, kidney, liver, spinal cord and moderately in skeletal and cardiac muscle.

Application Notes

Optimal dilution of the SMN1 antibody should be determined by the researcher.

Immunogen

A recombinant full-length human SMN1 protein was used as the immunogen for the SMN1 antibody.

Storage

Aliquot the SMN1 antibody and store frozen at -20oC or colder. Avoid repeated freeze-thaw cycles.

Cross
Bulk Quote Request Form
Name*:
Organization*:
Email*:
Phone Number*:
Catalog No.*:
Comments and Specifics(amount, formulation, etc.)*:
Validation code: Captchapackage Image


Can't read the image? click here to refresh.
    *required field

Your bulk quote request has been submitted successfully!

Please contact us if you have any questions.