• Tel: 858.663.9055
  • SeparatorEmail: info@nsjbio.com
  • Tel: 858.663.9055
  • Email: info@nsjbio.com
Home >> Antibodies >> SMG9 Antibody / C19orf61

SMG9 Antibody / C19orf61 (RQ7946)

  Catalog No Formulation Size Price (USD)  
Image RQ7946 0.5mg/ml if reconstituted with 0.2ml sterile DI water 100 ug 449
Bulk quote request
Immunofluorescent staining of FFPE human PC-3 cells with SMG9 antibody (red) and DAPI nuclear stain (blue). HIER: steam section in pH6 citrate buffer for 20 min.
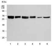
Western blot testing of 1) human HeLa, 2) human HEL, 3) human MOLT4, 4) human K562, 5) rat testis and 6) mouse testis tissue lysate with SMG9 antibody. Predicted molecular weight ~55 kDa and ~58 kDa (two isoforms).
Flow cytometry testing of human HepG2 cells with SMG9 antibody at 1ug/million cells (blocked with goat sera); Red=cells alone, Green=isotype control, Blue= SMG9 antibody.
Availability 1-3 business days
Species Reactivity Human, Mouse, Rat
Format Antigen affinity purified
Host Rabbit
Clonality Polyclonal (rabbit origin)
Isotype Rabbit IgG
Purity Antigen affinity purified
Buffer Lyophilized from 1X PBS with 2% Trehalose
UniProt Q9H0W8
Localization Cytoplasmic
Applications Western Blot : 0.5-1ug/ml
Immunofluorescence (FFPE) : 5ug/ml
Flow Cytometry : 1-3ug/million cells
Direct ELISA : 0.1-0.5ug/ml
Limitations This SMG9 antibody is available for research use only.
Review this product on BioCompare and get a $20 Amazon gift card

Description

This gene encodes a regulatory subunit of the SMG1 complex, which plays a critical role in nonsense-mediated mRNA decay (NMD). Binding of the encoded protein to the SMG1 complex kinase scaffold protein results in the inhibition of its kinase activity. Mutations in this gene cause a multiple congenital anomaly syndrome in human patients, characterized by brain malformation, congenital heart disease and other features.

Application Notes

Optimal dilution of the SMG9 antibody should be determined by the researcher.

Immunogen

E. coli-derived recombinant human protein (amino acids R39-A520) was used as the immunogen for the SMG9 antibody.

Storage

After reconstitution, the SMG9 antibody can be stored for up to one month at 4oC. For long-term, aliquot and store at -20oC. Avoid repeated freezing and thawing.

Cross
Bulk Quote Request Form
Name*:
Organization*:
Email*:
Phone Number*:
Catalog No.*:
Comments and Specifics(amount, formulation, etc.)*:
Validation code: Captchapackage Image


Can't read the image? click here to refresh.
    *required field

Your bulk quote request has been submitted successfully!

Please contact us if you have any questions.