• Tel: 858.663.9055
  • SeparatorEmail: info@nsjbio.com
  • Tel: 858.663.9055
  • Email: info@nsjbio.com
Home >> Antibodies >> SMG8 Antibody / ABC2 / Nonsense-mediated mRNA decay factor SMG8

SMG8 Antibody / ABC2 / Nonsense-mediated mRNA decay factor SMG8 (FY12273)

  Catalog No Formulation Size Price (USD)  
Image FY12273 Adding 0.2 ml of distilled water will yield a concentration of 500 ug/ml 100 ug 449
Bulk quote request
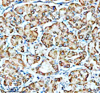
Immunohistochemical staining of SMG8 using anti-SMG8 antibody. SMG8 was detected in a paraffin-embedded section of human liver cancer tissue. Heat mediated antigen retrieval was performed in EDTA buffer (pH 8.0, epitope retrieval solution). The tissue section was blocked with 10% goat serum. The tissue section was then incubated with 2 ug/ml rabbit anti-SMG8 antibody overnight at 4oC. Peroxidase Conjugated Goat Anti-rabbit IgG was used as secondary antibody and incubated for 30 minutes at 37oC. The tissue section was developed using an HRP secondary and DAB substrate.
Western blot analysis of SMG8 using anti-SMG8 antibody. Electrophoresis was performed on a 8% SDS-PAGE gel at 80V (Stacking gel) / 120V (Resolving gel) for 2 hours. Lane 1: human 293T whole cell lysates, Lane 2: human Hela whole cell lysates, Lane 3: human MCF-7 whole cell lysates, Lane 4: human U2OS whole cell lysates, Lane 5: rat brain tissue lysates, Lane 6: mouse brain tissue lysates, Lane 7: mouse thymus tissue lysates. After electrophoresis, proteins were transferred to a nitrocellulose membrane at 150 mA for 50-90 minutes. Blocked the membrane with 5% non-fat milk/TBS for 1.5 hour at RT. The membrane was incubated with rabbit anti-SMG8 antibody at 0.5 ug/ml overnight at 4oC, then washed with TBS-0.1%Tween 3 times with 5 minutes each and probed with a goat anti-rabbit IgG-HRP secondary antibody at a dilution of 1:5000 for 1.5 hour at RT. The signal was developed using an ECL Plus Western Blotting Substrate. The expected band size for SMG8 is at 110 kDa.
Immunohistochemical staining of SMG8 using anti-SMG8 antibody. SMG8 was detected in a paraffin-embedded section of human liver tissue. Heat mediated antigen retrieval was performed in EDTA buffer (pH 8.0, epitope retrieval solution). The tissue section was blocked with 10% goat serum. The tissue section was then incubated with 2 ug/ml rabbit anti-SMG8 antibody overnight at 4oC. Peroxidase Conjugated Goat Anti-rabbit IgG was used as secondary antibody and incubated for 30 minutes at 37oC. The tissue section was developed using an HRP secondary and DAB substrate.
Immunohistochemical staining of SMG8 using anti-SMG8 antibody. SMG8 was detected in a paraffin-embedded section of human stomach cancer tissue. Heat mediated antigen retrieval was performed in EDTA buffer (pH 8.0, epitope retrieval solution). The tissue section was blocked with 10% goat serum. The tissue section was then incubated with 2 ug/ml rabbit anti-SMG8 antibody overnight at 4oC. Peroxidase Conjugated Goat Anti-rabbit IgG was used as secondary antibody and incubated for 30 minutes at 37oC. The tissue section was developed using an HRP secondary and DAB substrate.
Immunofluorescent staining of SMG8 using anti-SMG8 antibody (green) and anti-Beta Tubulin antibody (red). SMG8 was detected in an immunocytochemical section of cells. Enzyme antigen retrieval was performed using IHC enzyme antigen retrieval reagent for 15 mins. The cells were blocked with 10% goat serum. And then incubated with 5 ug/ml rabbit anti-SMG8 antibody and mouse anti-Beta Tubulin antibody overnight at 4oC. DyLight 488 Conjugated Goat Anti-Rabbit IgG and Cy3 Conjugated Goat Anti-Mouse IgG were used as secondary antibody at 1:500 dilution and incubated for 30 minutes at 37oC. Visualize using a fluorescence microscope and filter sets appropriate for the label used.
Flow Cytometry analysis of U2OS cells using anti-SMG8 antibody. Overlay histogram showing U2OS cells stained with (Blue line). To facilitate intracellular staining, cells were fixed with 4% paraformaldehyde and permeabilized with permeabilization buffer. The cells were blocked with 10% normal goat serum. And then incubated with rabbit anti-SMG8 antibody (1 ug/million cells) for 30 min at 20oC. DyLight 488 conjugated goat anti-rabbit IgG (5-10 ug/million cells) was used as secondary antibody for 30 minutes at 20oC. Isotype control antibody (Green line) was rabbit IgG (1 ug/million cells) used under the same conditions. Unlabelled sample without incubation with primary antibody and secondary antibody (Red line) was used as a blank control.
Availability 1-2 days
Species Reactivity Human, Mouse, Rat
Format Lyophilized
Host Rabbit
Clonality Polyclonal (rabbit origin)
Isotype Rabbit IgG
Purity Immunogen affinity purified
Buffer Each vial contains 4 mg Trehalose, 0.9 mg NaCl, 0.2 mg Na2HPO4.
UniProt Q8ND04
Localization Cytoplasmic, Nuclear
Applications Western Blot : 0.25-0.5ug/ml
Immunohistochemistry : 2-5ug/ml
Immunocytochemistry/Immunofluorescence : 5ug/ml
Flow Cytometry : 1-3ug/million cells
ELISA : 0.1-0.5ug/ml
Limitations This SMG8 antibody is available for research use only.
Review this product on BioCompare and get a $20 Amazon gift card

Description

SMG8 antibody detects Nonsense-mediated mRNA decay factor SMG8, encoded by the SMG8 gene on chromosome 17p13.3. SMG8 antibody is widely used in research on mRNA surveillance, nonsense-mediated mRNA decay (NMD), and translation regulation. SMG8 is part of the NMD pathway, which eliminates mRNAs containing premature stop codons to prevent production of truncated or potentially harmful proteins. SMG8, together with SMG9, regulates the kinase SMG1, a central factor in NMD signaling.

Structurally, SMG8 is a ~113 kDa protein with HEAT repeat domains that mediate protein-protein interactions. It forms a stable heterodimer with SMG9, and together they act as regulatory subunits of the SMG1 kinase complex. This interaction modulates SMG1's ability to phosphorylate UPF1, the key effector protein in NMD. SMG8 is localized primarily in the cytoplasm, consistent with its role in mRNA surveillance during translation.

Functionally, SMG8 inhibits SMG1 kinase activity until appropriate NMD activation signals occur. This regulation ensures phosphorylation of UPF1 only when premature termination codons are recognized. By controlling SMG1 activity, SMG8 fine-tunes the NMD pathway and prevents unnecessary degradation of functional mRNAs. Researchers use SMG8 antibody to study mRNA decay, translation fidelity, and quality control in gene expression.

Clinically, mutations and dysregulation of SMG8 are associated with neurodevelopmental disorders and intellectual disability. Because NMD contributes to transcriptome regulation beyond error correction, alterations in SMG8 may influence disease-related gene expression. Abnormal NMD has been implicated in cancer, neurodegeneration, and genetic diseases, positioning SMG8 as a candidate biomarker. NSJ Bioreagents provides SMG8 antibody for studies of RNA surveillance, translation control, and disease mechanisms.

Experimentally, SMG8 antibody is applied in western blotting to detect the ~113 kDa protein, in immunoprecipitation to isolate SMG1-SMG8-SMG9 complexes, and in immunofluorescence microscopy to study cytoplasmic distribution. Co-immunoprecipitation with SMG8 antibody identifies partners including SMG1, SMG9, and UPF1.

Application Notes

Optimal dilution of the SMG8 antibody should be determined by the researcher.

Immunogen

E.coli-derived human SMG8 recombinant protein (Position: D158-Y746) was used as the immunogen for the SMG8 antibody.

Storage

After reconstitution, the SMG8 antibody can be stored for up to one month at 4oC. For long-term, aliquot and store at -20oC. Avoid repeated freezing and thawing.

Cross
Bulk Quote Request Form
Name*:
Organization*:
Email*:
Phone Number*:
Catalog No.*:
Comments and Specifics(amount, formulation, etc.)*:
Validation code: Captchapackage Image


Can't read the image? click here to refresh.
    *required field

Your bulk quote request has been submitted successfully!

Please contact us if you have any questions.