• Tel: 858.663.9055
  • SeparatorEmail: info@nsjbio.com
  • Tel: 858.663.9055
  • Email: info@nsjbio.com
Home >> Antibodies >> SMC6 Antibody

SMC6 Antibody (RQ4195)

  Catalog No Formulation Size Price (USD)  
Image RQ4195 0.5mg/ml if reconstituted with 0.2ml sterile DI water 100 ug 449
Bulk quote request
Western blot testing of human 1) HeLa, 2) HepG2, 3) PANC-1, 4) SK-OV-3, 5) COLO320, 6) rat testis and 7) mouse testis tissue with SMC6 antibody at 0.5ug/ml. Predicted molecular weight ~126 kDa.
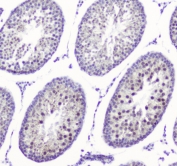
IHC staining of FFPE human testis tissue with SMC6 antibody at 1ug/ml. HIER: boil tissue sections in pH6, 10mM citrate buffer, for 10-20 min and allow to cool before testing.
IHC staining of FFPE mouse testis tissue with SMC6 antibody at 1ug/ml. HIER: boil tissue sections in pH6, 10mM citrate buffer, for 10-20 min and allow to cool before testing.
IHC staining of FFPE rat testis tissue with SMC6 antibody at 1ug/ml. HIER: boil tissue sections in pH6, 10mM citrate buffer, for 10-20 min and allow to cool before testing.
Flow cytometry testing of human A431 cells with SMC6 antibody at 1ug/10^6 cells (blocked with goat sera); Red=cells alone, Green=isotype control, Blue= SMC6 antibody.
Immunofluorescent staining of FFPE human A431 cells with SMC6 antibody. HIER: boil tissue sections in pH6, 10mM citrate buffer, for 20 min and allow to cool before testing.
Availability 1-3 business days
Species Reactivity Human, Mouse, Rat
Format Antigen affinity purified
Host Rabbit
Clonality Polyclonal (rabbit origin)
Isotype Rabbit IgG
Purity Antigen affinity purified
Buffer Lyophilized from 1X PBS with 2% Trehalose and 0.025% sodium azide
UniProt Q96SB8
Applications Western Blot : 0.5-1ug/ml
IHC (FFPE) : 1-2ug/ml
Flow Cytometry : 1-3ug/10^6 cells
Direct ELISA : 0.1-0.5ug/ml
Immunofluorescence (FFPE) : 2-4ug/ml
Limitations This SMC6 antibody is available for research use only.
Review this product on BioCompare and get a $20 Amazon gift card

Related Products

Description

Structural maintenance of chromosomes protein 6, also knowns SMC6L1, is a protein that in humans is encoded by the SMC6 gene. It is involved in the Alternative lengthening of telomeres cancer mechanism. The International Radiation Hybrid Mapping Consortium mapped the SMC6 gene to chromosome 2.

Application Notes

Optimal dilution of the SMC6 antibody should be determined by the researcher.

Immunogen

A recombinant human protein corresponding to amino acids D205-E443 was used as the immunogen for the SMC6 antibody.

Storage

After reconstitution, the SMC6 antibody can be stored for up to one month at 4oC. For long-term, aliquot and store at -20oC. Avoid repeated freezing and thawing.

Cross
Bulk Quote Request Form
Name*:
Organization*:
Email*:
Phone Number*:
Catalog No.*:
Comments and Specifics(amount, formulation, etc.)*:
Validation code: Captchapackage Image


Can't read the image? click here to refresh.
    *required field

Your bulk quote request has been submitted successfully!

Please contact us if you have any questions.