• Tel: 858.663.9055
  • SeparatorEmail: info@nsjbio.com
  • Tel: 858.663.9055
  • Email: info@nsjbio.com
Home >> Antibodies >> SMARCAL1 Antibody / HARP / HepA-related protein

SMARCAL1 Antibody / HARP / HepA-related protein (FY12339)

  Catalog No Formulation Size Price (USD)  
Image FY12339 Adding 0.2 ml of distilled water will yield a concentration of 500 ug/ml 100 ug 449
Bulk quote request
Immunohistochemical staining of SMARCAL1 using anti-SMARCAL1 antibody. SMARCAL1 was detected in a paraffin-embedded section of mouse brain tissue. Heat mediated antigen retrieval was performed in EDTA buffer (pH 8.0, epitope retrieval solution). The tissue section was blocked with 10% goat serum. The tissue section was then incubated with 2 ug/ml rabbit anti-SMARCAL1 antibody overnight at 4oC. Peroxidase Conjugated Goat Anti-rabbit IgG was used as secondary antibody and incubated for 30 minutes at 37oC. The tissue section was developed using an HRP secondary and DAB substrate.
Western blot analysis of SMARCAL1 using anti-SMARCAL1 antibody. Electrophoresis was performed on a 8% SDS-PAGE gel at 80V (Stacking gel) / 120V (Resolving gel) for 2 hours. Lane 1: human Hela whole cell lysates, Lane 2: human Jurkat whole cell lysates, Lane 3: human HEL whole cell lysates, Lane 4: rat testis tissue lysates, Lane 5: rat PC-12 whole cell lysates, Lane 6: mouse testis tissue lysates, Lane 7: mouse NIH/3T3 whole cell lysates. After electrophoresis, proteins were transferred to a nitrocellulose membrane at 150 mA for 50-90 minutes. Blocked the membrane with 5% non-fat milk/TBS for 1.5 hour at RT. The membrane was incubated with rabbit anti-SMARCAL1 antibody at 0.5 ug/ml overnight at 4oC, then washed with TBS-0.1%Tween 3 times with 5 minutes each and probed with a goat anti-rabbit IgG-HRP secondary antibody at a dilution of 1:5000 for 1.5 hour at RT. The signal was developed using an ECL Plus Western Blotting Substrate. The expected molecular weight of SMARCAL1 is ~106 kDa.
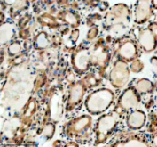
Immunohistochemical staining of SMARCAL1 using anti-SMARCAL1 antibody. SMARCAL1 was detected in a paraffin-embedded section of human thyroid cancer tissue. Heat mediated antigen retrieval was performed in EDTA buffer (pH 8.0, epitope retrieval solution). The tissue section was blocked with 10% goat serum. The tissue section was then incubated with 2 ug/ml rabbit anti-SMARCAL1 antibody overnight at 4oC. Peroxidase Conjugated Goat Anti-rabbit IgG was used as secondary antibody and incubated for 30 minutes at 37oC. The tissue section was developed using an HRP secondary and DAB substrate.
Immunohistochemical staining of SMARCAL1 using anti-SMARCAL1 antibody. SMARCAL1 was detected in a paraffin-embedded section of human thyroid cancer tissue. Heat mediated antigen retrieval was performed in EDTA buffer (pH 8.0, epitope retrieval solution). The tissue section was blocked with 10% goat serum. The tissue section was then incubated with 2 ug/ml rabbit anti-SMARCAL1 antibody overnight at 4oC. Peroxidase Conjugated Goat Anti-rabbit IgG was used as secondary antibody and incubated for 30 minutes at 37oC. The tissue section was developed using an HRP secondary and DAB substrate.
Flow Cytometry analysis of HEL cells using anti-SMARCAL1 antibody. Overlay histogram showing HEL cells stained with (Blue line). To facilitate intracellular staining, cells were fixed with 4% paraformaldehyde and permeabilized with permeabilization buffer. The cells were blocked with 10% normal goat serum. And then incubated with rabbit anti-SMARCAL1 antibody (1 ug/million cells) for 30 min at 20oC. DyLight 488 conjugated goat anti-rabbit IgG (5-10 ug/million cells) was used as secondary antibody for 30 minutes at 20oC. Isotype control antibody (Green line) was rabbit IgG (1 ug/million cells) used under the same conditions. Unlabelled sample without incubation with primary antibody and secondary antibody (Red line) was used as a blank control.
Availability 1-2 days
Species Reactivity Human, Mouse, Rat
Format Lyophilized
Host Rabbit
Clonality Polyclonal (rabbit origin)
Isotype Rabbit IgG
Purity Immunogen affinity purified
Buffer Each vial contains 4 mg Trehalose, 0.9 mg NaCl, 0.2 mg Na2HPO4.
UniProt Q9NZC9
Localization Nuclear
Applications Western Blot : 0.25-0.5ug/ml
Immunohistochemistry : 2-5ug/ml
Flow Cytometry : 1-3ug/million cells
ELISA : 0.1-0.5ug/ml
Limitations This SMARCAL1 antibody is available for research use only.
Review this product on BioCompare and get a $20 Amazon gift card

Related Products

Description

The SMARCAL1 antibody targets SWI/SNF-related matrix-associated actin-dependent regulator of chromatin subfamily A-like protein 1, a nuclear enzyme encoded by the SMARCAL1 gene. This ATP-dependent annealing helicase plays a vital role in DNA replication and repair, particularly in stabilizing stalled replication forks and preventing genome instability. The SMARCAL1 antibody provides a crucial research tool for investigating how cells respond to replication stress and maintain chromatin integrity under challenging conditions.

SMARCAL1 is a member of the SNF2 family of chromatin remodelers, a large group of ATPases that modify DNA-protein interactions to facilitate replication and transcription. It is recruited to sites of replication fork arrest via interactions with replication protein A (RPA) and catalyzes branch migration to restart replication. This enzymatic process helps prevent double-strand breaks and genomic collapse. The SMARCAL1 antibody allows direct visualization of the protein in the nucleus, providing insight into its dynamics during S-phase and after genotoxic stress.

Mutations in SMARCAL1 are the primary cause of Schimke immuno-osseous dysplasia (SIOD), a rare autosomal recessive disorder marked by short stature, renal failure, and immune dysfunction. These phenotypes stem from impaired DNA repair and replication mechanisms, demonstrating the importance of SMARCAL1 in cellular viability and developmental stability. The SMARCAL1 antibody is therefore valuable not only in basic chromatin biology but also in studies of human disease and genomic maintenance.

SMARCAL1's helicase activity is regulated by phosphorylation events mediated by ATR kinase and other components of the DNA damage response. These modifications influence its recruitment and activity at stalled forks. Researchers use the SMARCAL1 antibody in combination with phospho-specific markers to map these regulatory pathways. Western blotting enables detection of total protein levels, while immunofluorescence and confocal microscopy reveal its nuclear localization and accumulation at replication foci. Chromatin immunoprecipitation using the SMARCAL1 antibody further allows identification of genomic sites directly bound by the enzyme, shedding light on its mechanistic involvement in replication restart.

In broader biological contexts, SMARCAL1 contributes to genome stability, epigenetic maintenance, and transcriptional regulation through chromatin remodeling. Its deficiency can cause widespread transcriptional dysregulation and heightened sensitivity to replication stress. The SMARCAL1 antibody supplied by NSJ Bioreagents is optimized for applications across molecular and cell biology platforms, providing a consistent reagent for elucidating the mechanisms that protect genome integrity. It is particularly useful for studies exploring interactions between SMARCAL1 and other chromatin remodelers, helicases, and DNA repair factors.

Ongoing research using the SMARCAL1 antibody continues to clarify how this enzyme coordinates DNA replication and repair, how its dysfunction leads to disease, and how it might be therapeutically targeted to enhance genome stability. The combination of functional versatility and high-quality specificity makes the SMARCAL1 antibody a key reagent for understanding the complex interplay between chromatin structure, replication stress, and genomic maintenance.

Application Notes

Optimal dilution of the SMARCAL1 antibody should be determined by the researcher.

Immunogen

E.coli-derived human SMARCAL1 recombinant protein (Position: M1-L782) was used as the immunogen for the SMARCAL1 antibody.

Storage

After reconstitution, the SMARCAL1 antibody can be stored for up to one month at 4oC. For long-term, aliquot and store at -20oC. Avoid repeated freezing and thawing.

Cross
Bulk Quote Request Form
Name*:
Organization*:
Email*:
Phone Number*:
Catalog No.*:
Comments and Specifics(amount, formulation, etc.)*:
Validation code: Captchapackage Image


Can't read the image? click here to refresh.
    *required field

Your bulk quote request has been submitted successfully!

Please contact us if you have any questions.