• Tel: 858.663.9055
  • SeparatorEmail: info@nsjbio.com
  • Tel: 858.663.9055
  • Email: info@nsjbio.com
Home >> Antibodies >> SMARCA4 Antibody / Multi-Validated BRG1 Specificity Antibody

SMARCA4 Antibody / Multi-Validated BRG1 Specificity Antibody [clone BRG1/8805R] (V4588)

  Catalog No Formulation Size Price (USD)  
Image V4588-100UG 0.2 mg/ml in 1X PBS with 0.1 mg/ml BSA (US sourced), 0.05% sodium azide 100 ug 559
Image
V4588-20UG 0.2 mg/ml in 1X PBS with 0.1 mg/ml BSA (US sourced), 0.05% sodium azide 20 ug 259
Image
V4588SAF-100UG 1 mg/ml in 1X PBS; BSA free, sodium azide free 100 ug 559
Microvalidated Recrabbitmono
Bulk quote request
SMARCA4 Antibody Knockdown Validation WB. Western blot analysis of SMARCA4 expression in wild-type (WT) and SMARCA4 shRNA knockdown HeLa cells using SMARCA4 antibody clone BRG1/8805R. Lane 1: WT lysate, Lane 2: shRNA knockdown lysate. The band at approximately 190-200 kDa is reduced in knockdown cells, supporting target-specific detection. Hsp90 alpha is shown as a loading control.
SMARCA4 Antibody Protein Microarray Specificity. Analysis of SMARCA4 antibody clone BRG1/8805R using a HuProt protein microarray containing more than 21,000 full-length human proteins. SMARCA4 is identified as the top-ranked target with a high Z-score and strong separation from the next highest signal based on S-score, indicating high specificity and minimal cross-reactivity.
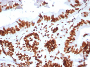
SMARCA4 Antibody Colon IHC. Immunohistochemical analysis of SMARCA4 / BRG1 in formalin-fixed, paraffin-embedded human colon tissue using SMARCA4 antibody clone BRG1/8805R. Strong nuclear HRP-DAB brown staining is observed in glandular epithelial cells lining the colonic crypts, while stromal cells show weaker signal, consistent with nuclear localization of this chromatin remodeling factor. HIER: boil tissue sections in pH 9 10 mM Tris with 1 mM EDTA for 20 min followed by cooling prior to staining.
SMARCA4 Antibody Cell Line WB. Western blot analysis of SMARCA4 expression in HeLa, Jurkat, and K562 cell lysates using SMARCA4 antibody clone BRG1/8805R. A band is detected at approximately 190-200 kDa, consistent with the predicted molecular weight of SMARCA4.
Availability 1-3 business days
Species Reactivity Human
Format Purified
Host Rabbit
Clonality Recombinant Rabbit Monoclonal
Isotype Rabbit IgG, kappa
Clone Name BRG1/8805R
Purity Protein A/G affinity
UniProt P51532
Localization Nucleus
Applications ELISA (Order BSA-free Format For Coating) :
Western Blot : 2-4ug/ml
Immunohistochemistry (FFPE) : 1-2ug/ml for 30 min at RT
Limitations This SMARCA4 Antibody / Multi-Validated BRG1 Specificity Antibody is available for research use only.
Review this product on BioCompare and get a $20 Amazon gift card

Related Products

Description

SWI/SNF related matrix-associated actin-dependent regulator of chromatin subfamily A member 4 (SMARCA4), commonly known as BRG1, is a nuclear ATP-dependent chromatin remodeling enzyme that serves as a catalytic core component of the SWI/SNF complex. This complex regulates transcription by repositioning nucleosomes, thereby modulating DNA accessibility for transcription factors and other regulatory proteins. SMARCA4 (SMARCA4) plays a central role in controlling gene expression programs linked to cell differentiation, proliferation, and lineage commitment, and is widely expressed in actively dividing and transcriptionally dynamic cell populations. The SMARCA4 Antibody / Multi-Validated BRG1 Specificity Antibody is developed to detect this key chromatin regulator with high confidence across both tissue-based and biochemical assays. It is part of a collection of knockdown validated antibodies that have been functionally assessed using gene silencing approaches to support target-specific detection.

SMARCA4 antibody, also referred to as BRG1 antibody and SMARCA4 chromatin remodeling antibody, recognizes a predominantly nuclear protein, consistent with its function in transcriptional regulation. Immunohistochemistry analysis of formalin-fixed, paraffin-embedded human colon tissue demonstrates strong and well-defined nuclear HRP-DAB brown staining in epithelial cells lining colonic glands, while surrounding stromal components exhibit comparatively lower signal. This clear nuclear localization and epithelial enrichment provide a robust and interpretable staining pattern that reflects the biological role of SMARCA4 in regulating gene expression within proliferative epithelial compartments.

Western blot analysis identifies a distinct band at approximately 190-200 kDa across multiple human cell lines, consistent with the expected molecular weight of full-length SMARCA4. The high molecular weight and clean banding pattern support reliable detection of this large chromatin remodeling protein in lysate-based assays. Importantly, knockdown validation using SMARCA4-targeted shRNA in HeLa cells results in a marked reduction in signal relative to wild-type controls, providing direct functional confirmation that the detected band corresponds specifically to SMARCA4. This reduction establishes a clear relationship between gene expression and antibody signal and supports use in experiments requiring validated target specificity.

In addition to functional validation, this antibody has been characterized using large-scale HuProt protein microarray analysis encompassing more than 21,000 full-length human proteins. In this format, SMARCA4 is identified as the top-ranked target based on Z-score, with strong separation from the next highest signal as indicated by the S-score. This combination of high signal strength and specificity margin demonstrates selective binding to SMARCA4 with minimal cross-reactivity, providing an orthogonal validation approach that complements knockdown data and strengthens confidence in antibody performance.

Functionally, SMARCA4 is a key regulator of chromatin structure and transcriptional programs and is frequently altered in cancer. Loss-of-function mutations or deletions in SMARCA4 are associated with multiple tumor types, including lung, ovarian, and gastrointestinal cancers, where disruption of SWI/SNF complex activity contributes to aberrant gene expression and tumor progression. In IHC, this biology is often reflected by reduced or absent nuclear staining in tumor cells compared to retained expression in adjacent normal tissue, providing a useful framework for studying tumor-associated alterations in chromatin regulation.

The combination of strong nuclear IHC staining, consistent high molecular weight detection in western blot, functional knockdown validation, and large-scale protein microarray specificity profiling makes clone BRG1/8805R a highly characterized reagent for studies of chromatin remodeling and transcriptional control. These complementary validation approaches support its use in applications requiring high specificity and reproducibility, including analysis of epigenetic regulation, tumor suppressor pathways, and SWI/SNF complex function.

This antibody is part of a broader collection of knockdown validated antibodies and Human Protein Microarray validated antibodies that support high-confidence detection of regulatory proteins across diverse research applications.

This antibody is part of a broader antibody panel offered by NSJ Bioreagents.

Application Notes

Optimal dilution of the SMARCA4 Antibody / Multi-Validated BRG1 Specificity Antibody should be determined by the researcher.

Immunogen

A recombinant partial protein sequence (within amino acids 200-400) from the human protein was used as the immunogen for the SMARCA4 antibody.

Storage

Aliquot the SMARCA4 antibody and store frozen at -20oC or colder. Avoid repeated freeze-thaw cycles.

Alternate Names

SMARCA4 antibody, BRG1 antibody, BRG1 chromatin remodeling antibody, SMARCA4 IHC antibody, BRG1 knockdown antibody

Cross
Bulk Quote Request Form
Name*:
Organization*:
Email*:
Phone Number*:
Catalog No.*:
Comments and Specifics(amount, formulation, etc.)*:
Validation code: Captchapackage Image


Can't read the image? click here to refresh.
    *required field

Your bulk quote request has been submitted successfully!

Please contact us if you have any questions.