• Tel: 858.663.9055
  • SeparatorEmail: info@nsjbio.com
  • Tel: 858.663.9055
  • Email: info@nsjbio.com
Home >> Antibodies >> SMAD7 Antibody / MADH7

SMAD7 Antibody / MADH7 (F49844)

  Catalog No Formulation Size Price (USD)  
Image F49844-0.4ML In 1X PBS, pH 7.4, with 0.09% sodium azide 0.4 ml 439
Image
F49844-0.08ML In 1X PBS, pH 7.4, with 0.09% sodium azide 0.08 ml 205
Bulk quote request
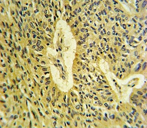
SMAD7 antibody IHC analysis in formalin fixed and paraffin embedded lung carcinoma.
Fluorescent confocal image of A431 cells stained with SMAD7 antibody at 1:25. Immunoreactivity is localized to the cytoplasm.
Western blot analysis of SMAD7 antibody in ZR-75-1 lysate. Observed molecular weight: 45~55 kDa.
Availability 1-3 business days
Species Reactivity Human
Predicted Reactivity Rat
Format Purified
Host Rabbit
Clonality Polyclonal (rabbit origin)
Isotype Rabbit Ig
Purity Purified
UniProt O15105
Applications Western Blot : 1:1000
IHC (Paraffin) : 1:10-1:50
Immunofluorescence : 1:10-1:50
Limitations This SMAD7 antibody is available for research use only.
Review this product on BioCompare and get a $20 Amazon gift card

Related Products

  • Applications : WB, Direct ELISA
    Reactivity : Human
  • Applications : WB, Direct ELISA
    Reactivity : Human, Mouse, Rat

Description

SMAD7 is a member of the MAD-related family of molecules. MAD-related proteins are a recently identified family of intracellular proteins that are thought to be essential components in the signaling pathways of the serine/threonine kinase receptors of the transforming growth factor beta super family.

Application Notes

Titration of the SMAD7 antibody may be required due to differences in protocols and secondary/substrate sensitivity.

Immunogen

A portion of amino acids 195-224 from the human protein was used as the immunogen for this SMAD7 antibody.

Storage

Aliquot the SMAD7 antibody and store frozen at -20oC or colder. Avoid repeated freeze-thaw cycles.

Cross
Bulk Quote Request Form
Name*:
Organization*:
Email*:
Phone Number*:
Catalog No.*:
Comments and Specifics(amount, formulation, etc.)*:
Validation code: Captchapackage Image


Can't read the image? click here to refresh.
    *required field

Your bulk quote request has been submitted successfully!

Please contact us if you have any questions.