• Tel: 858.663.9055
  • SeparatorEmail: info@nsjbio.com
  • Tel: 858.663.9055
  • Email: info@nsjbio.com
Home >> Antibodies >> SMAD2 Antibody

SMAD2 Antibody [clone 3C4] (RQ6325)

  Catalog No Formulation Size Price (USD)  
Image RQ6325 0.5mg/ml if reconstituted with 0.2ml sterile DI water 100 ug 449
Bulk quote request
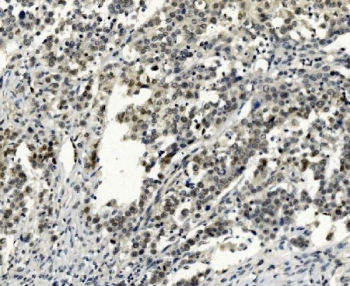
IHC staining of FFPE human low-differentiated adenocarcinoma with SMAD2 antibody. HIER: boil tissue sections in pH8 EDTA for 20 min and allow to cool before testing.
IHC staining of FFPE human pancreatic cancer with SMAD2 antibody. HIER: boil tissue sections in pH8 EDTA for 20 min and allow to cool before testing.
IHC staining of FFPE human gallbladder adenocarcinoma with SMAD2 antibody. HIER: boil tissue sections in pH8 EDTA for 20 min and allow to cool before testing.
Western blot testing of human 1) HL60 and 2) HeLa cell lysate with SMAD2 antibody. Expected molecular weight: 52-60 kDa.
Flow cytometry testing of human HL60 cells with SMAD2 antibody at 1ug/million cells (blocked with goat sera); Red=cells alone, Green=isotype control, Blue= SMAD2 antibody.
Availability 1-3 business days
Species Reactivity Human
Format Purified
Host Mouse
Clonality Monoclonal (mouse origin)
Isotype Mouse IgG1
Clone Name 3C4
Purity Antigen affinity purified
Buffer Lyophilized from 1X PBS with 2% Trehalose
UniProt Q15796
Localization Nuclear, cytoplasmic
Applications Western Blot : 0.5-1ug/ml
Immunohistochemistry (FFPE) : 2-5ug/ml
Flow Cytometry : 1-3ug/million cells
Limitations This SMAD2 antibody is available for research use only.
Review this product on BioCompare and get a $20 Amazon gift card

Related Products

  • Applications : WB, IHC-P, ICC
    Reactivity : Human
  • Applications : IF, WB, FACS, ELISA
    Reactivity : Human, Mouse
    Pred. Reactivity : Rat, Bovine, Pig, Chicken, Zebrafish, Drosophila
  • Applications : IF, WB, ELISA
    Reactivity : Human
    Pred. Reactivity : Mouse, Rat, Bovine, Zebrafish
  • Applications : WB, ELISA
    Reactivity : Human, Mouse, Rat
    Pred. Reactivity : Bovine, Pig, Chicken
  • Applications : WB, ELISA
    Reactivity : Mouse
  • Applications : IF, DB, ELISA
    Reactivity : Human
    Pred. Reactivity : Bovine, Chicken, Drosophila, Mouse, Pig, Rat, Zebrafish
  • Applications : WB, ELISA (peptide)
    Reactivity : Human, Mouse
    Pred. Reactivity : Cow

Description

Smad2 (Mothers against decapentaplegic homolog 2), also known as MADR2, MADH2, SMAD family member 2 or SMAD2, is a protein that in humans is encoded by the SMAD2 gene. MAD homolog 2 belongs to the SMAD, a family of proteins similar to the gene products of the Drosophila gene 'mothers against decapentaplegic' (Mad) and the C. elegans gene Sma. Eppert et al. mapped the MADR2 gene close to DPC4 at 18q21, a region which is frequently deleted in colorectal cancers. Riggins et al. mapped the human MADH2 gene to 18q21. Nakao et al. refined the localization of the SMAD2 gene to 18q21.1, approximately 3 Mb proximal to DPC4, by fluorescence in situ hybridization. SMAD2 mediates the signal of the transforming growth factor (TGF)-beta, and thus regulates multiple cellular processes, such as cell proliferation, apoptosis, and differentiation. This protein is recruited to the TGF-beta receptors through its interaction with the SMAD anchor for receptor activation (SARA) protein. In response to TGF-beta signal, this protein is phosphorylated by the TGF-beta receptors.

Application Notes

Optimal dilution of the SMAD2 antibody should be determined by the researcher.

Immunogen

Recombinant human protein (amino acids E83-Q264) was used as the immunogen for the SMAD2 antibody.

Storage

After reconstitution, the SMAD2 antibody can be stored for up to one month at 4oC. For long-term, aliquot and store at -20oC. Avoid repeated freezing and thawing.

Cross
Bulk Quote Request Form
Name*:
Organization*:
Email*:
Phone Number*:
Catalog No.*:
Comments and Specifics(amount, formulation, etc.)*:
Validation code: Captchapackage Image


Can't read the image? click here to refresh.
    *required field

Your bulk quote request has been submitted successfully!

Please contact us if you have any questions.