• Tel: 858.663.9055
  • SeparatorEmail: info@nsjbio.com
  • Tel: 858.663.9055
  • Email: info@nsjbio.com
Home >> Antibodies >> SLX4 Antibody / Structure-specific endonuclease subunit SLX4

SLX4 Antibody / Structure-specific endonuclease subunit SLX4 (FY12355)

  Catalog No Formulation Size Price (USD)  
Image FY12355 Adding 0.2 ml of distilled water will yield a concentration of 500 ug/ml 100 ug 449
Bulk quote request
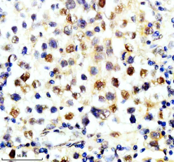
Immunohistochemical staining of SLX4 using anti-SLX4 antibody. SLX4 was detected in a paraffin-embedded section of human testis cancer tissue. Heat mediated antigen retrieval was performed in EDTA buffer (pH 8.0, epitope retrieval solution). The tissue section was blocked with 10% goat serum. The tissue section was then incubated with 2 ug/ml rabbit anti-SLX4 antibody overnight at 4oC. Peroxidase Conjugated Goat Anti-rabbit IgG was used as secondary antibody and incubated for 30 minutes at 37oC. The tissue section was developed using an HRP secondary and DAB substrate.
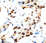
Immunohistochemical staining of SLX4 using anti-SLX4 antibody. SLX4 was detected in a paraffin-embedded section of human breast cancer tissue. Heat mediated antigen retrieval was performed in EDTA buffer (pH 8.0, epitope retrieval solution). The tissue section was blocked with 10% goat serum. The tissue section was then incubated with 2 ug/ml rabbit anti-SLX4 antibody overnight at 4oC. Peroxidase Conjugated Goat Anti-rabbit IgG was used as secondary antibody and incubated for 30 minutes at 37oC. The tissue section was developed using an HRP secondary and DAB substrate.
Immunofluorescent staining of SLX4 using anti-SLX4 antibody (red). SLX4 was detected in a paraffin-embedded section of human breast cancer tissue. Heat mediated antigen retrieval was performed in EDTA buffer (pH 8.0, epitope retrieval solution). The tissue section was blocked with 10% goat serum. The tissue section was then incubated with 5 ug/ml rabbit anti-SLX4 antibody overnight at 4oC. Cy3 Conjugated Goat Anti-Rabbit IgG was used as secondary antibody at 1:500 dilution and incubated for 30 minutes at 37oC. The section was counterstained with DAPI nuclear stain (blue). Visualize using a fluorescence microscope and filter sets appropriate for the label used.
Immunofluorescent staining of SLX4 using anti-SLX4 antibody (green) and anti-Beta Tubulin antibody (red). SLX4 was detected in an immunocytochemical section of U2OS cells. Enzyme antigen retrieval was performed using IHC enzyme antigen retrieval reagent for 15 mins. The cells were blocked with 10% goat serum. And then incubated with 5 ug/ml rabbit anti-SLX4 antibody and mouse anti-Beta Tubulin antibody overnight at 4oC. DyLight 488 Conjugated Goat Anti-Rabbit IgG and Cy3 Conjugated Goat Anti-Mouse IgG were used as secondary antibody at 1:500 dilution and incubated for 30 minutes at 37oC. Visualize using a fluorescence microscope and filter sets appropriate for the label used.
Availability 1-2 days
Species Reactivity Human
Format Lyophilized
Host Rabbit
Clonality Polyclonal (rabbit origin)
Isotype Rabbit IgG
Purity Immunogen affinity purified
Buffer Each vial contains 4 mg Trehalose, 0.9 mg NaCl, 0.2 mg Na2HPO4.
UniProt Q8IY92
Localization Nuclear
Applications Immunohistochemistry : 2-5ug/ml
Immunofluorescence : 5ug/ml
Immunocytochemistry/Immunofluorescence : 5ug/ml
ELISA : 0.1-0.5ug/ml
Limitations This SLX4 antibody is available for research use only.
Review this product on BioCompare and get a $20 Amazon gift card

Description

The SLX4 antibody targets Structure-specific endonuclease subunit SLX4, a multifunctional DNA repair scaffold protein encoded by the SLX4 gene. SLX4 coordinates several endonucleases, including SLX1, MUS81-EME1, and XPF-ERCC1, to resolve DNA intermediates that arise during replication, recombination, and repair. Through its interaction network, Structure-specific endonuclease subunit SLX4 ensures proper processing of Holliday junctions, interstrand crosslinks, and stalled replication forks. The SLX4 antibody provides researchers with an essential reagent to study how this protein maintains genomic stability and prevents chromosomal abnormalities.

SLX4 serves as a platform that organizes structure-specific nucleases into a regulated complex. It promotes timely incision and resolution of DNA structures to prevent recombination defects and chromosome missegregation. The SLX4 antibody is particularly useful for investigating DNA damage responses following genotoxic stress, allowing visualization of nuclear foci formation at replication and repair sites. By detecting SLX4 expression and localization, researchers can monitor its participation in maintaining DNA replication fidelity and chromosomal stability.

Mutations in SLX4 cause Fanconi anemia complementation group P (FANCP), a rare hereditary disorder characterized by genomic instability, bone marrow failure, and cancer predisposition. These pathogenic variants disrupt SLX4's ability to interact with partner nucleases, compromising crosslink repair. The SLX4 antibody supports studies of Fanconi anemia mechanisms and helps identify defects in DNA repair pathways that arise from SLX4 dysfunction. Analysis of Structure-specific endonuclease subunit SLX4 expression also provides insight into its regulatory interactions with checkpoint proteins such as ATR and FANCD2.

In addition to its nuclear repair functions, SLX4 has roles in telomere maintenance, homologous recombination, and mitotic checkpoint regulation. The SLX4 antibody enables mapping of these diverse activities by revealing subcellular localization dynamics during the cell cycle. Western blot and immunofluorescence experiments with this antibody show how SLX4 expression fluctuates in S-phase and peaks during mitosis, correlating with its role in resolving replication intermediates.

Because genomic stability is a cornerstone of cancer prevention, SLX4 has gained increasing relevance in oncology. Altered expression levels may influence tumor sensitivity to DNA-damaging agents such as cisplatin. The SLX4 antibody supplied by NSJ Bioreagents supports research in cancer biology, DNA repair, and chromatin organization. With its validated specificity, the reagent allows consistent detection of Structure-specific endonuclease subunit SLX4 across assays, facilitating mechanistic studies on DNA repair regulation, genome maintenance, and disease pathogenesis.

Application Notes

Optimal dilution of the SLX4 antibody should be determined by the researcher.

Immunogen

E.coli-derived human SLX4 recombinant protein (Position: Q42-H1804) was used as the immunogen for the SLX4 antibody.

Storage

After reconstitution, the SLX4 antibody can be stored for up to one month at 4oC. For long-term, aliquot and store at -20oC. Avoid repeated freezing and thawing.

Cross
Bulk Quote Request Form
Name*:
Organization*:
Email*:
Phone Number*:
Catalog No.*:
Comments and Specifics(amount, formulation, etc.)*:
Validation code: Captchapackage Image


Can't read the image? click here to refresh.
    *required field

Your bulk quote request has been submitted successfully!

Please contact us if you have any questions.