• Tel: 858.663.9055
  • SeparatorEmail: info@nsjbio.com
  • Tel: 858.663.9055
  • Email: info@nsjbio.com
Home >> Antibodies >> SLUG Antibody / SNAI2

SLUG Antibody / SNAI2 (F47911)

  Catalog No Formulation Size Price (USD)  
Image F47911-0.4ML In 1X PBS, pH 7.4, with 0.09% sodium azide 0.4 ml 439
Image
F47911-0.08ML In 1X PBS, pH 7.4, with 0.09% sodium azide 0.08 ml 205
Bulk quote request
Western blot testing of 1) mouse heart and 2) rat PC-12 lysate with SLUG antibody. Predicted molecular weight ~30 kDa.
Confocal immunofluorescent analysis of SLUG antibody with human HepG2 cells followed by Alexa Fluor 488-conjugated goat anti-rabbit lgG (green). Actin filaments have been labeled with Alexa Fluor 555 Phalloidin (red). DAPI was used as a nuclear counterstain (blue).
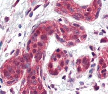
IHC analysis of FFPE human breast tissue stained with SLUG antibody.
Western blot testing of SLUG antibody and mouse heart lysate. Predicted molecular weight ~30 kDa.
Availability 1-3 business days
Species Reactivity Human, Mouse
Predicted Reactivity Bovine
Format Purified
Host Rabbit
Clonality Polyclonal (rabbit origin)
Isotype Rabbit Ig
Purity Purified
UniProt O43623
Localization Nuclear, cytoplasmic
Applications Western Blot : 1:1000
IHC (Paraffin) : 1:10-1:50
Immunofluorescence : 1:10-1:50
Limitations This SLUG antibody is available for research use only.
Review this product on BioCompare and get a $20 Amazon gift card

Related Products

  • Applications : WB, ELISA
    Reactivity : Human
    Pred. Reactivity : Bovine, Mouse, Rat
  • Applications : WB, IHC-P
    Reactivity : Human, Mouse, Rat

Description

SLUG/SNAI2 is a member of the Snail family of C2H2-type zinc finger transcription factors. The encoded protein acts as a transcriptional repressor that binds to E-box motifs and is also likely to repressE-cadherintranscription in breast carcinoma. This protein is involved in epithelial-mesenchymal transitions and has antiapoptotic activity. Mutations in this gene may be associated with sporadic cases of neural tube defects. [Wiki]

Application Notes

Titration of the SLUG antibody may be required due to differences in protocols and secondary/substrate sensitivity.

Immunogen

A portion of amino acids 98-129 from human SNAI2 was used as the immunogen for this SLUG antibody.

Storage

Aliquot the SLUG antibody and store frozen at -20oC or colder. Avoid repeated freeze-thaw cycles.

Cross
Bulk Quote Request Form
Name*:
Organization*:
Email*:
Phone Number*:
Catalog No.*:
Comments and Specifics(amount, formulation, etc.)*:
Validation code: Captchapackage Image


Can't read the image? click here to refresh.
    *required field

Your bulk quote request has been submitted successfully!

Please contact us if you have any questions.