• Tel: 858.663.9055
  • SeparatorEmail: info@nsjbio.com
  • Tel: 858.663.9055
  • Email: info@nsjbio.com
Home >> Antibodies >> SLU7 Antibody / Pre-mRNA-splicing factor SLU7

SLU7 Antibody / Pre-mRNA-splicing factor SLU7 (RQ7254)

  Catalog No Formulation Size Price (USD)  
Image RQ7254 0.5mg/ml if reconstituted with 0.2ml sterile DI water 100 ug 449
Bulk quote request
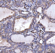
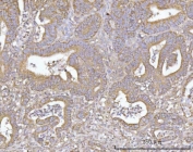
IHC staining of FFPE human liver cancer tissue with SLU7 antibody. HIER: boil tissue sections in pH8 EDTA for 20 min and allow to cool before testing.
IHC staining of FFPE human colorectal adenocarcinoma tissue with SLU7 antibody. HIER: boil tissue sections in pH8 EDTA for 20 min and allow to cool before testing.
IHC staining of FFPE human thyroid cancer tissue with SLU7 antibody. HIER: boil tissue sections in pH8 EDTA for 20 min and allow to cool before testing.
Immunofluorescent staining of FFPE human U-87 MG cells with SLU7 antibody (green) and DAPI nuclear stain (blue). HIER: steam section in pH6 citrate buffer for 20 min.
Western blot testing of human 1) HeLa, 2) 293T, 3) K562, 4) U-87 MG, 5) T-47D and 6) SH-SY5Y cell lysate with SLU7 antibody. Predicted molecular weight ~68 kDa.
Flow cytometry testing of human HeLa cells with SLU7 antibody at 1ug/million cells (blocked with goat sera); Red=cells alone, Green=isotype control, Blue= SLU7 antibody.
Immunofluorescent staining of FFPE human liver cancer tissue with SLU7 antibody (red) and DAPI nuclear stain (blue). HIER: steam section in pH6 citrate buffer for 20 min.
Availability 1-3 business days
Species Reactivity Human
Format Antigen affinity purified
Host Rabbit
Clonality Polyclonal (rabbit origin)
Isotype Rabbit IgG
Purity Antigen affinity purified
Buffer Lyophilized from 1X PBS with 2% Trehalose
UniProt O95391
Localization Cytoplasmic, nuclear
Applications Western Blot : 0.5-1ug/ml
Immunohistochemistry (FFPE) : 2-5ug/ml
Immunofluorescence : 5ug/ml
Flow Cytometry : 1-3ug/million cells
Direct ELISA : 0.1-0.5ug/ml
Limitations This SLU7 antibody is available for research use only.
Review this product on BioCompare and get a $20 Amazon gift card

Description

Pre-mRNA-splicing factor SLU7 is a protein that in humans is encoded by the SLU7 gene. Pre-mRNA splicing occurs in two sequential transesterification steps. The protein encoded by this gene is a splicing factor that has been found to be essential during the second catalytic step in the pre-mRNA splicing process. It associates with the spliceosome and contains a zinc knuckle motif that is found in other splicing factors and is involved in protein-nucleic acid and protein-protein interactions.

Application Notes

Optimal dilution of the SLU7 antibody should be determined by the researcher.

Immunogen

Recombinant human protein (amino acids Q42-I474) was used as the immunogen for the SLU7 antibody.

Storage

After reconstitution, the SLU7 antibody can be stored for up to one month at 4oC. For long-term, aliquot and store at -20oC. Avoid repeated freezing and thawing.

Cross
Bulk Quote Request Form
Name*:
Organization*:
Email*:
Phone Number*:
Catalog No.*:
Comments and Specifics(amount, formulation, etc.)*:
Validation code: Captchapackage Image


Can't read the image? click here to refresh.
    *required field

Your bulk quote request has been submitted successfully!

Please contact us if you have any questions.