• Tel: 858.663.9055
  • SeparatorEmail: info@nsjbio.com
  • Tel: 858.663.9055
  • Email: info@nsjbio.com
Home >> Antibodies >> SLIRP Antibody / SRA stem-loop interacting RNA-binding protein

SLIRP Antibody / SRA stem-loop interacting RNA-binding protein (FY12611)

  Catalog No Formulation Size Price (USD)  
Image FY12611 Adding 0.2 ml of distilled water will yield a concentration of 500 ug/ml 100 ug 449
Bulk quote request
Immunofluorescent staining of SLIRP using anti-SLIRP antibody (green). SLIRP was detected in an immunocytochemical section of cells. Enzyme antigen retrieval was performed using IHC enzyme antigen retrieval reagent for 15 mins. The cells were blocked with 10% goat serum. And then incubated with 5 ug/ml rabbit anti-SLIRP antibody overnight at 4oC. DyLight 488 Conjugated Goat Anti-Rabbit IgG was used as secondary antibody at 1:500 dilution and incubated for 30 minutes at 37oC. The section was counterstained with DAPI nuclear stain (blue). Visualize using a fluorescence microscope and filter sets appropriate for the label used.
Western blot analysis of SLIRP using anti-SLIRP antibody. Electrophoresis was performed on a 12% SDS-PAGE gel at 80V (Stacking gel) / 120V (Resolving gel) for 2 hours. Lane 1: human Caco-2 whole cell lysates, Lane 2: human MCF-7 whole cell lysates, Lane 3: human PC-3 whole cell lysates, Lane 4: human whole cell lysates. After electrophoresis, proteins were transferred to a nitrocellulose membrane at 150 mA for 50-90 minutes. Blocked the membrane with 5% non-fat milk/TBS for 1.5 hour at RT. The membrane was incubated with rabbit anti-SLIRP antibody at 0.5 ug/ml overnight at 4oC, then washed with TBS-0.1%Tween 3 times with 5 minutes each and probed with a goat anti-rabbit IgG-HRP secondary antibody at a dilution of 1:5000 for 1.5 hour at RT. The signal was developed using an ECL Plus Western Blotting Substrate. The expected molecular weight of SLIRP is ~12 kDa.
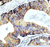
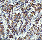
Immunohistochemical staining of SLIRP using anti-SLIRP antibody. SLIRP was detected in a paraffin-embedded section of human stomach cancer tissue. Heat mediated antigen retrieval was performed in EDTA buffer (pH 8.0, epitope retrieval solution). The tissue section was blocked with 10% goat serum. The tissue section was then incubated with 2 ug/ml rabbit anti-SLIRP antibody overnight at 4oC. Peroxidase Conjugated Goat Anti-rabbit IgG was used as secondary antibody and incubated for 30 minutes at 37oC. The tissue section was developed using an HRP secondary and DAB substrate.
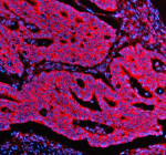
Immunofluorescent staining of SLIRP using anti-SLIRP antibody (red). SLIRP was detected in a paraffin-embedded section of human colon cancer tissue. Heat mediated antigen retrieval was performed in EDTA buffer (pH 8.0, epitope retrieval solution). The tissue section was blocked with 10% goat serum. The tissue section was then incubated with 5 ug/ml rabbit anti-SLIRP antibody overnight at 4oC. Cy3 Conjugated Goat Anti-Rabbit IgG was used as secondary antibody at 1:500 dilution and incubated for 30 minutes at 37oC. The section was counterstained with DAPI nuclear stain (blue). Visualize using a fluorescence microscope and filter sets appropriate for the label used.
Immunofluorescent staining of SLIRP using anti-SLIRP antibody (red). SLIRP was detected in a paraffin-embedded section of human stomach cancer tissue. Heat mediated antigen retrieval was performed in EDTA buffer (pH 8.0, epitope retrieval solution). The tissue section was blocked with 10% goat serum. The tissue section was then incubated with 5 ug/ml rabbit anti-SLIRP antibody overnight at 4oC. Cy3 Conjugated Goat Anti-Rabbit IgG was used as secondary antibody at 1:500 dilution and incubated for 30 minutes at 37oC. The section was counterstained with DAPI nuclear stain (blue). Visualize using a fluorescence microscope and filter sets appropriate for the label used.
Immunohistochemical staining of SLIRP using anti-SLIRP antibody. SLIRP was detected in a paraffin-embedded section of human colon cancer tissue. Heat mediated antigen retrieval was performed in EDTA buffer (pH 8.0, epitope retrieval solution). The tissue section was blocked with 10% goat serum. The tissue section was then incubated with 2 ug/ml rabbit anti-SLIRP antibody overnight at 4oC. Peroxidase Conjugated Goat Anti-rabbit IgG was used as secondary antibody and incubated for 30 minutes at 37oC. The tissue section was developed using an HRP secondary and DAB substrate.
Flow Cytometry analysis of cells using anti-SLIRP antibody. Overlay histogram showing cells stained with (Blue line). To facilitate intracellular staining, cells were fixed with 4% paraformaldehyde and permeabilized with permeabilization buffer. The cells were blocked with 10% normal goat serum. And then incubated with rabbit anti-SLIRP antibody (1 ug/million cells) for 30 min at 20oC. DyLight 488 conjugated goat anti-rabbit IgG (5-10 ug/million cells) was used as secondary antibody for 30 minutes at 20oC. Isotype control antibody (Green line) was rabbit IgG (1 ug/million cells) used under the same conditions. Unlabelled sample without incubation with primary antibody and secondary antibody (Red line) was used as a blank control.
Availability 1-2 days
Species Reactivity Human
Format Lyophilized
Host Rabbit
Clonality Polyclonal (rabbit origin)
Isotype Rabbit IgG
Purity Immunogen affinity purified
Buffer Each vial contains 4 mg Trehalose, 0.9 mg NaCl, 0.2 mg Na2HPO4.
UniProt Q9GZT3
Localization Mitochondria (predominant), nuclear
Applications Western Blot : 0.25-0.5ug/ml
Immunohistochemistry : 2-5ug/ml
Immunofluorescence : 5ug/ml
Immunocytochemistry/Immunofluorescence : 5ug/ml
Flow Cytometry : 1-3ug/million cells
ELISA : 0.1-0.5ug/ml
Limitations This SLIRP antibody is available for research use only.
Review this product on BioCompare and get a $20 Amazon gift card

Description

SLIRP antibody detects SRA stem-loop interacting RNA-binding protein, a mitochondrial RNA-binding protein that modulates gene expression, oxidative phosphorylation, and steroid receptor signaling. SLIRP stabilizes mitochondrial mRNAs and participates in post-transcriptional regulation of respiratory chain components. The SLIRP antibody is widely used in mitochondrial biology and molecular endocrinology to study RNA regulation, energy metabolism, and hormone receptor activity.

SLIRP is encoded by the SLIRP gene located on human chromosome 14q13.3. The protein is approximately 111 amino acids long and contains an RNA recognition motif responsible for binding SRA (steroid receptor RNA activator) and mitochondrial transcripts. SLIRP localizes primarily to the mitochondrial matrix but also associates with nuclear hormone receptors, linking energy metabolism with transcriptional regulation.

The SLIRP antibody detects a 12 kilodalton band by western blot and exhibits mitochondrial and nuclear staining under immunofluorescence. SLIRP forms complexes with LRPPRC, ensuring stabilization and translation of mitochondrial mRNAs encoding respiratory complex subunits. Loss of SLIRP leads to reduced mitochondrial translation, impaired oxidative phosphorylation, and decreased ATP production.

Beyond mitochondrial function, SLIRP interacts with steroid receptors such as estrogen receptor alpha and glucocorticoid receptor, modulating their transcriptional activity. By coupling nuclear hormone signaling with mitochondrial bioenergetics, SLIRP coordinates cellular responses to hormonal and metabolic cues. Dysregulation of SLIRP expression contributes to metabolic disorders, neurodegeneration, and certain cancers where mitochondrial dysfunction plays a role.

Because SLIRP integrates transcriptional control and mitochondrial energy metabolism, it represents a valuable target for understanding gene expression coordination and metabolic adaptation. NSJ Bioreagents provides a validated SLIRP antibody optimized for western blot, immunofluorescence, and mitochondrial studies, supporting investigations into RNA processing, hormone receptor function, and oxidative metabolism.

Application Notes

Optimal dilution of the SLIRP antibody should be determined by the researcher.

Immunogen

E.coli-derived human SLIRP recombinant protein (Position: A11-F109) was used as the immunogen for the SLIRP antibody.

Storage

After reconstitution, the SLIRP antibody can be stored for up to one month at 4oC. For long-term, aliquot and store at -20oC. Avoid repeated freezing and thawing.

Cross
Bulk Quote Request Form
Name*:
Organization*:
Email*:
Phone Number*:
Catalog No.*:
Comments and Specifics(amount, formulation, etc.)*:
Validation code: Captchapackage Image


Can't read the image? click here to refresh.
    *required field

Your bulk quote request has been submitted successfully!

Please contact us if you have any questions.