• Tel: 858.663.9055
  • SeparatorEmail: info@nsjbio.com
  • Tel: 858.663.9055
  • Email: info@nsjbio.com
Home >> Antibodies >> SLFN13 Antibody / Schlafen 13

SLFN13 Antibody / Schlafen 13 (RQ8672)

  Catalog No Formulation Size Price (USD)  
Image RQ8672 0.5mg/ml if reconstituted with 0.2ml sterile DI water 100 ug 449
Bulk quote request
Western blot testing of human 1) HEL and 2) RT4 cell lysate with SLFN13 antibody. Predicted molecular weight ~102 kDa.
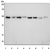
Western blot testing of 1) human HEL, 2) human RT-4, 3) human ThP-1, 4) human HaCaT, 5) rat C6, 6) rat PC-12, 7) rat C2C12 and 8) mouse RAW264.7 cell lysate with SLFN13 antibody. Predicted molecular weight ~102 kDa.
Availability 1-3 days
Species Reactivity Human, Mouse, Rat
Format Antigen affinity purified
Host Rabbit
Clonality Polyclonal (rabbit origin)
Isotype Rabbit IgG
Purity Antigen affinity chromatography
Buffer Lyophilized from 1X PBS with 2% Trehalose
UniProt Q68D06
Applications Western Blot : 0.5-1ug/ml
ELISA : 0.1-0.5ug/ml
Limitations This SLFN13 antibody is available for research use only.
Review this product on BioCompare and get a $20 Amazon gift card

Description

SLFN13 (Schlafen 13) is a member of the Schlafen family of proteins, which are involved in the regulation of cell growth, immune responses, and differentiation. SLFN13 is known to function as a nucleic acid endonuclease, contributing to RNA processing and ribosome integrity. A SLFN13 antibody is frequently used to study these regulatory roles and its connection to immune modulation.

Research suggests that SLFN13 participates in pathways that control protein translation and may act as a negative regulator of viral replication by targeting RNA. This makes it a protein of interest in both basic cell biology and infectious disease studies. Employing a SLFN13 antibody enables detection and characterization of its expression across diverse experimental models.

In addition, SLFN13 expression patterns have been linked to tissue-specific immune functions and stress responses. The use of a SLFN13 antibody from NSJ Bioreagents supports high-quality analysis of this multifunctional protein in molecular and cellular biology research.

Application Notes

Optimal dilution of the SLFN13 antibody should be determined by the researcher.

Immunogen

An E.coli-derived human recombinant protein (amino acids Q62-R797) was used as the immunogen for the SLFN13 antibody.

Storage

After reconstitution, the SLFN13 Antibody can be stored for up to one month at 4oC. For long-term, aliquot and store at -20oC. Avoid repeated freezing and thawing.

Cross
Bulk Quote Request Form
Name*:
Organization*:
Email*:
Phone Number*:
Catalog No.*:
Comments and Specifics(amount, formulation, etc.)*:
Validation code: Captchapackage Image


Can't read the image? click here to refresh.
    *required field

Your bulk quote request has been submitted successfully!

Please contact us if you have any questions.