• Tel: 858.663.9055
  • SeparatorEmail: info@nsjbio.com
  • Tel: 858.663.9055
  • Email: info@nsjbio.com
Home >> Antibodies >> SLFN11 Antibody / Schlafen family member 11

SLFN11 Antibody / Schlafen family member 11 (RQ6516)

  Catalog No Formulation Size Price (USD)  
Image RQ6516 0.5mg/ml if reconstituted with 0.2ml sterile DI water 100 ug 449
Bulk quote request
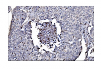
IHC staining of FFPE human lung cancer tissue with SLFN11 antibody. HIER: boil tissue sections in pH8 EDTA for 20 min and allow to cool before testing.
IHC staining of FFPE human liver cancer tissue with SLFN11 antibody. HIER: boil tissue sections in pH8 EDTA for 20 min and allow to cool before testing.
Western blot testing of human Jurkat cell lysate with SLFN11 antibody. Predicted molecular weight ~103 kDa.
Flow cytometry testing of human A431 cells with SLFN11 antibody at 1ug/million cells (blocked with goat sera); Red=cells alone, Green=isotype control, Blue= SLFN11 antibody.
Availability 1-3 business days
Species Reactivity Human
Format Antigen affinity purified
Host Rabbit
Clonality Polyclonal (rabbit origin)
Isotype Rabbit IgG
Purity Affinity purified
Buffer Lyophilized from 1X PBS with 2% Trehalose
UniProt Q7Z7L1
Localization Nuclear
Applications Western Blot : 1-2ug/ml
Immunohistochemistry (FFPE) : 2-5ug/ml
Flow Cytometry : 1-3ug/million cells
Direct ELISA : 0.1-0.5ug/ml
Limitations This SLFN11 antibody is available for research use only.
Review this product on BioCompare and get a $20 Amazon gift card

Description

Schlafen family member 11 is a protein that in humans is encoded by the SLFN11 gene. SLFN11 is a nuclear protein that belongs to the Schlafen (SLFN) family of genes involved in cell cycle regulation and growth inhibition. Expression of SLFN11 predicts sensitivity of cancer cell lines to DNA-damaging agents. Evidence suggests that in the presence of DNA-targeted therapies, SLFN11 is recruited to stressed replication forks where it blocks replication leading to cell death. SLFN11 is being explored as a predictive biomarker for response to DNA-targeted therapies.

Application Notes

Optimal dilution of the SLFN11 antibody should be determined by the researcher.

Immunogen

An E. coli-derived human protein (amino acids P114-D794) was used as the immunogen for the SLFN11 antibody.

Storage

After reconstitution, the SLFN11 antibody can be stored for up to one month at 4oC. For long-term, aliquot and store at -20oC. Avoid repeated freezing and thawing.

Cross
Bulk Quote Request Form
Name*:
Organization*:
Email*:
Phone Number*:
Catalog No.*:
Comments and Specifics(amount, formulation, etc.)*:
Validation code: Captchapackage Image


Can't read the image? click here to refresh.
    *required field

Your bulk quote request has been submitted successfully!

Please contact us if you have any questions.