• Tel: 858.663.9055
  • SeparatorEmail: info@nsjbio.com
  • Tel: 858.663.9055
  • Email: info@nsjbio.com
Home >> Antibodies >> SLC7A7 Antibody / Solute carrier family 7 member 7

SLC7A7 Antibody / Solute carrier family 7 member 7 (FY13282)

  Catalog No Formulation Size Price (USD)  
Image FY13282 Adding 0.2 ml of distilled water will yield a concentration of 500 ug/ml 100 ug 449
Bulk quote request
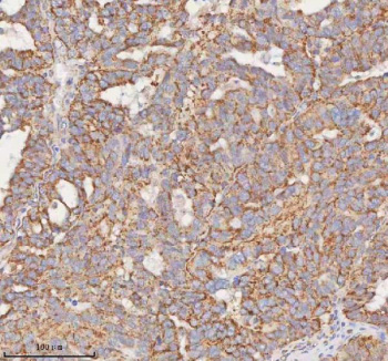
Immunohistochemical staining of SLC7A7 using anti-SLC7A7 antibody. SLC7A7 was detected in a paraffin-embedded section of human ovarian cancer tissue. Heat mediated antigen retrieval was performed in EDTA buffer (pH 8.0, epitope retrieval solution). The tissue section was blocked with 10% goat serum. The tissue section was then incubated with 2 ug/ml rabbit anti-SLC7A7 antibody overnight at 4oC. Peroxidase Conjugated Goat Anti-rabbit IgG was used as secondary antibody and incubated for 30 minutes at 37oC. The tissue section was developed using an HRP secondary and DAB substrate.
Western blot analysis of SLC7A7 using anti-SLC7A7 antibody. Lane 1: human Hela whole cell lysates, Lane 2: human HepG2 whole cell lysates, Lane 3: human 293T whole cell lysates, Lane 4: rat heart tissue lysates, Lane 5: rat brain tissue lysates, Lane 6: mouse heart tissue lysates, Lane 7: mouse brain tissue lysates. After electrophoresis, proteins were transferred to a nitrocellulose membrane at 150 mA for 50-90 minutes. Blocked the membrane with 5% non-fat milk/TBS for 1.5 hour at RT. The membrane was incubated with rabbit anti-SLC7A7 antibody at 0.5 ug/ml overnight at 4oC, then washed with TBS-0.1%Tween 3 times with 5 minutes each and probed with a goat anti-rabbit IgG-HRP secondary antibody at a dilution of 1:5000 for 1.5 hour at RT. The signal was developed using enhanced chemiluminescent. Predominant bands are detected at an approximately 65 kDa in human cell lines and ~70 kDa in mouse and rat tissues, running above the predicted ~56 kDa mass but consistent with the higher apparent molecular weight typical of glycosylated multi pass amino acid transporters. A weaker band between roughly 40 and 50 kDa is present in several samples and likely represents a truncated or differentially processed form of SLC7A7, or less likely cross reactive signal from a related transporter.
Immunofluorescent staining of SLC7A7 using anti-SLC7A7 antibody (red). SLC7A7 was detected in a paraffin-embedded section of human ovarian cancer tissue. Heat mediated antigen retrieval was performed in EDTA buffer (pH 8.0, epitope retrieval solution). The tissue section was blocked with 10% goat serum. The tissue section was then incubated with 5 ug/ml rabbit anti-SLC7A7 antibody overnight at 4oC. DyLight 594 Conjugated Goat Anti-Rabbit IgG was used as secondary antibody at 1:500 dilution and incubated for 30 minutes at 37oC. The section was counterstained with DAPI nuclear stain (blue). Visualize using a fluorescence microscope and filter sets appropriate for the label used.
Availability 1-2 days
Species Reactivity Human, Mouse, Rat
Format Lyophilized
Host Rabbit
Clonality Polyclonal (rabbit origin)
Isotype Rabbit IgG
Purity Immunogen affinity purified
Buffer Each vial contains 4 mg Trehalose, 0.9 mg NaCl, 0.2 mg Na2HPO4.
UniProt Q9UM01
Localization Cell membrane
Applications Western Blot : 0.25-0.5ug/ml
Immunohistochemistry : 2-5ug/ml
Immunofluorescence : 5ug/ml
ELISA : 0.1-0.5ug/ml
Limitations This SLC7A7 antibody is available for research use only.
Review this product on BioCompare and get a $20 Amazon gift card

Related Products

  • Applications : WB, ELISA (peptide)
    Reactivity : Human

Description

SLC7A7 antibody recognizes Solute carrier family 7 member 7, also known as y+LAT1, a light chain subunit of the heteromeric amino acid transporter system y+L. Encoded by the SLC7A7 gene on chromosome 14q11.2, this protein forms a heterodimer with the heavy chain 4F2 cell surface antigen (SLC3A2/CD98) to mediate sodium-independent transport of cationic amino acids such as lysine and arginine, and exchange with neutral amino acids in the presence of sodium ions. SLC7A7 plays a vital role in amino acid homeostasis, particularly in epithelial cells of the intestine, kidney, and macrophages.

Defects in SLC7A7 cause lysinuric protein intolerance (LPI), a rare inherited metabolic disorder characterized by impaired transport of cationic amino acids leading to protein intolerance, hyperammonemia, and growth retardation. In patients with LPI, mutations in SLC7A7 disrupt transporter assembly or function, resulting in abnormal accumulation of amino acids in urine and reduced absorption in the intestine and kidney. Research on SLC7A7 has advanced understanding of amino acid sensing pathways and their link to mTOR signaling, autophagy, and immune regulation.

At the cellular level, SLC7A7 is localized predominantly at the plasma membrane of polarized epithelial cells, where it supports nutrient absorption and nitrogen balance. The protein also contributes to macrophage activation and cytokine production, influencing inflammatory responses. Its expression is regulated by transcription factors including ATF4 and by nutrient availability, reflecting its central role in amino acid-responsive metabolic control. Experimental models indicate that SLC7A7 deficiency may lead to mitochondrial dysfunction and oxidative stress, providing insight into the metabolic complications of LPI.

Immunohistochemical analysis using SLC7A7 antibody shows staining in renal tubular epithelium, intestinal villi, and hepatocytes. It serves as a useful biomarker for investigating amino acid transporter function, metabolic disease mechanisms, and nutrient-dependent signaling. The SLC7A7 antibody from NSJ Bioreagents can be applied in research involving transport physiology, metabolic regulation, and inherited amino acid disorders.

Application Notes

Optimal dilution of the SLC7A7 antibody should be determined by the researcher.

Immunogen

E.coli-derived human SLC7A7 recombinant protein (Position: M1-D498) was used as the immunogen for the SLC7A7 antibody.

Storage

After reconstitution, the SLC7A7 antibody can be stored for up to one month at 4oC. For long-term, aliquot and store at -20oC. Avoid repeated freezing and thawing.

Cross
Bulk Quote Request Form
Name*:
Organization*:
Email*:
Phone Number*:
Catalog No.*:
Comments and Specifics(amount, formulation, etc.)*:
Validation code: Captchapackage Image


Can't read the image? click here to refresh.
    *required field

Your bulk quote request has been submitted successfully!

Please contact us if you have any questions.