• Tel: 858.663.9055
  • SeparatorEmail: info@nsjbio.com
  • Tel: 858.663.9055
  • Email: info@nsjbio.com
Home >> Antibodies >> SLC7A14 Antibody / Solute carrier family 7 member 14

SLC7A14 Antibody / Solute carrier family 7 member 14 (FY12938)

  Catalog No Formulation Size Price (USD)  
Image FY12938 Adding 0.2 ml of distilled water will yield a concentration of 500 ug/ml 100 ug 449
Bulk quote request
Immunofluorescent staining of SLC7A14 using anti-SLC7A14 antibody (red). SLC7A14 was detected in a paraffin-embedded section of rat brain tissue. Heat mediated antigen retrieval was performed in EDTA buffer (pH 8.0, epitope retrieval solution). The tissue section was blocked with 10% goat serum. The tissue section was then incubated with 5 ug/ml rabbit anti-SLC7A14 antibody overnight at 4oC. Cy3 Conjugated Goat Anti-Rabbit IgG was used as secondary antibody at 1:500 dilution and incubated for 30 minutes at 37oC. The section was counterstained with DAPI nuclear stain (blue). Visualize using a fluorescence microscope and filter sets appropriate for the label used.
Western blot analysis of SLC7A14 using anti-SLC7A14 antibody. Electrophoresis was performed on a 10% SDS-PAGE gel at 80V (Stacking gel) / 120V (Resolving gel) for 2 hours. Lane 1: rat hippocampus tissue lysates, Lane 2: mouse hippocampus tissue lysates, Lane 3: mouse brain tissue lysates. After electrophoresis, proteins were transferred to a nitrocellulose membrane at 150 mA for 50-90 minutes. Blocked the membrane with 5% non-fat milk/TBS for 1.5 hour at RT. The membrane was incubated with rabbit anti-SLC7A14 antibody at 0.5 ug/ml overnight at 4oC, then washed with TBS-0.1%Tween 3 times with 5 minutes each and probed with a goat anti-rabbit IgG-HRP secondary antibody at a dilution of 1:5000 for 1.5 hour at RT. The signal was developed using an ECL Plus Western Blotting Substrate. A specific band was detected for SLC7A14 at approximately 84 kDa. The expected molecular weight of SLC7A14 is ~84 kDa.
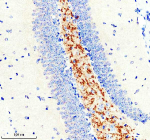
Immunohistochemical staining of SLC7A14 using anti-SLC7A14 antibody. SLC7A14 was detected in a paraffin-embedded section of mouse brain tissue. Heat mediated antigen retrieval was performed in EDTA buffer (pH 8.0, epitope retrieval solution). The tissue section was blocked with 10% goat serum. The tissue section was then incubated with 2 ug/ml rabbit anti-SLC7A14 antibody overnight at 4oC. Peroxidase Conjugated Goat Anti-rabbit IgG was used as secondary antibody and incubated for 30 minutes at 37oC. The tissue section was developed using an HRP secondary and DAB substrate.
Immunohistochemical staining of SLC7A14 using anti-SLC7A14 antibody. SLC7A14 was detected in a paraffin-embedded section of rat brain tissue. Heat mediated antigen retrieval was performed in EDTA buffer (pH 8.0, epitope retrieval solution). The tissue section was blocked with 10% goat serum. The tissue section was then incubated with 2 ug/ml rabbit anti-SLC7A14 antibody overnight at 4oC. Peroxidase Conjugated Goat Anti-rabbit IgG was used as secondary antibody and incubated for 30 minutes at 37oC. The tissue section was developed using an HRP secondary and DAB substrate.
Immunohistochemical staining of SLC7A14 using anti-SLC7A14 antibody. SLC7A14 was detected in a paraffin-embedded section of rat brain tissue. Heat mediated antigen retrieval was performed in EDTA buffer (pH 8.0, epitope retrieval solution). The tissue section was blocked with 10% goat serum. The tissue section was then incubated with 2 ug/ml rabbit anti-SLC7A14 antibody overnight at 4oC. Peroxidase Conjugated Goat Anti-rabbit IgG was used as secondary antibody and incubated for 30 minutes at 37oC. The tissue section was developed using an HRP secondary and DAB substrate.
Immunofluorescent staining of SLC7A14 using anti-SLC7A14 antibody (red). SLC7A14 was detected in a paraffin-embedded section of rat brain tissue. Heat mediated antigen retrieval was performed in EDTA buffer (pH 8.0, epitope retrieval solution). The tissue section was blocked with 10% goat serum. The tissue section was then incubated with 5 ug/ml rabbit anti-SLC7A14 antibody overnight at 4oC. Cy3 Conjugated Goat Anti-Rabbit IgG was used as secondary antibody at 1:500 dilution and incubated for 30 minutes at 37oC. The section was counterstained with DAPI nuclear stain (blue). Visualize using a fluorescence microscope and filter sets appropriate for the label used.
Immunohistochemical staining of SLC7A14 using anti-SLC7A14 antibody. SLC7A14 was detected in a paraffin-embedded section of mouse brain tissue. Heat mediated antigen retrieval was performed in EDTA buffer (pH 8.0, epitope retrieval solution). The tissue section was blocked with 10% goat serum. The tissue section was then incubated with 2 ug/ml rabbit anti-SLC7A14 antibody overnight at 4oC. Peroxidase Conjugated Goat Anti-rabbit IgG was used as secondary antibody and incubated for 30 minutes at 37oC. The tissue section was developed using an HRP secondary and DAB substrate.
Flow Cytometry analysis of SH-SY5Y cells using anti-SLC7A14 antibody. Overlay histogram showing SH-SY5Y cells stained with (Blue line). To facilitate intracellular staining, cells were fixed with 4% paraformaldehyde and permeabilized with permeabilization buffer. The cells were blocked with 10% normal goat serum. And then incubated with rabbit anti-SLC7A14 antibody (1 ug/million cells) for 30 min at 20oC. DyLight 488 conjugated goat anti-rabbit IgG (5-10 ug/million cells) was used as secondary antibody for 30 minutes at 20oC. Isotype control antibody (Green line) was rabbit IgG (1 ug/million cells) used under the same conditions. Unlabelled sample without incubation with primary antibody and secondary antibody (Red line) was used as a blank control.
Availability 1-2 days
Species Reactivity Human, Mouse, Rat
Format Lyophilized
Host Rabbit
Clonality Polyclonal (rabbit origin)
Isotype Rabbit IgG
Purity Immunogen affinity purified
Buffer Each vial contains 4 mg Trehalose, 0.9 mg NaCl, 0.2 mg Na2HPO4.
UniProt Q8TBB6
Localization Punctate cytoplasmic
Applications Western Blot : 0.25-0.5ug/ml
Immunohistochemistry : 2-5ug/ml
Immunofluorescence : 5ug/ml
Flow Cytometry : 1-3ug/million cells
ELISA : 0.1-0.5ug/ml
Limitations This SLC7A14 antibody is available for research use only.
Review this product on BioCompare and get a $20 Amazon gift card

Description

SLC7A14 antibody detects Solute carrier family 7 member 14, a lysosomal cationic amino acid transporter critical for maintaining lysosomal homeostasis and neuronal survival. The UniProt recommended name is Solute carrier family 7 member 14 (SLC7A14), with alternate names cationic amino acid transporter-related protein 1 (CATR1), SLC7A14 protein, and lysosomal arginine transporter. SLC7A14 belongs to the solute carrier (SLC) superfamily of amino acid transporters, specifically the cationic amino acid transporter-like (CAT-like) subgroup.

Functionally, SLC7A14 antibody recognizes a multi-pass transmembrane protein localized to the lysosomal membrane, where it facilitates the uptake of arginine and other cationic amino acids from the cytoplasm into the lysosome. This transport is essential for maintaining amino acid balance, lysosomal integrity, and mTOR signaling. SLC7A14 is highly expressed in sensory neurons of the retina and cochlea, and loss of function leads to progressive vision and hearing loss. Mutations in SLC7A14 cause autosomal recessive retinitis pigmentosa and auditory neuropathy, making it a gene of growing clinical significance in neurodegeneration research.

At the molecular level, SLC7A14 contains 14 predicted transmembrane helices and shares structural features with other CAT family members but displays lysosome-specific trafficking signals. The transporter's localization depends on interactions with adaptor protein complexes such as AP-3 and lysosomal membrane proteins including LAMP1. SLC7A14 antibody is employed to study neuronal lysosome biology, amino acid metabolism, and neurodegenerative disease models. Studies demonstrate that reduced SLC7A14 impairs lysosomal function, increases oxidative stress, and triggers neuronal apoptosis. Expression analysis shows enrichment in inner hair cells, photoreceptors, and hippocampal neurons, linking it to sensory function and neural plasticity.

The SLC7A14 gene is located on chromosome 3q26.2 and encodes a 561-amino acid protein. Beyond sensory tissues, SLC7A14 transcripts have been detected in endocrine cells and fibroblasts, suggesting roles in nutrient sensing and metabolic regulation. Overexpression experiments indicate SLC7A14 contributes to amino acid-regulated mTORC1 activation, coupling lysosomal nutrient availability with cellular growth signals. The SLC7A14 antibody is valuable for immunofluorescence and confocal microscopy to confirm lysosomal localization and evaluate expression changes in disease models. NSJ Bioreagents provides well-characterized antibodies validated for human, mouse, and rat samples, supporting research into lysosomal transport and neurodegenerative mechanisms.

Application Notes

Optimal dilution of the SLC7A14 antibody should be determined by the researcher.

Immunogen

E.coli-derived human SLC7A14 recombinant protein (Position: D9-E771) was used as the immunogen for the SLC7A14 antibody.

Storage

After reconstitution, the SLC7A14 antibody can be stored for up to one month at 4oC. For long-term, aliquot and store at -20oC. Avoid repeated freezing and thawing.

Cross
Bulk Quote Request Form
Name*:
Organization*:
Email*:
Phone Number*:
Catalog No.*:
Comments and Specifics(amount, formulation, etc.)*:
Validation code: Captchapackage Image


Can't read the image? click here to refresh.
    *required field

Your bulk quote request has been submitted successfully!

Please contact us if you have any questions.