• Tel: 858.663.9055
  • SeparatorEmail: info@nsjbio.com
  • Tel: 858.663.9055
  • Email: info@nsjbio.com
Home >> Antibodies >> SLC7A11 Antibody / XCT / Solute carrier family 7 member 11

SLC7A11 Antibody / XCT / Solute carrier family 7 member 11 (FY12494)

  Catalog No Formulation Size Price (USD)  
Image FY12494 Adding 0.2 ml of distilled water will yield a concentration of 500 ug/ml 100 ul 449
Bulk quote request
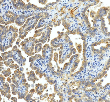
Immunohistochemical staining of xCT/SLC7A11 using anti-SLC7A11 antibody. xCT/SLC7A11 was detected in a paraffin-embedded section of human ovraian cancer tissue. Heat mediated antigen retrieval was performed in EDTA buffer (pH 8.0, epitope retrieval solution). The tissue section was blocked with 10% goat serum. The tissue section was then incubated with 2 ug/ml rabbit anti-SLC7A11 antibody overnight at 4oC. Peroxidase Conjugated Goat Anti-rabbit IgG was used as secondary antibody and incubated for 30 minutes at 37oC. The tissue section was developed using an HRP secondary and DAB substrate.
Western blot analysis of xCT/SLC7A11 using anti-SLC7A11 antibody. Electrophoresis was performed on a 10% SDS-PAGE gel at 80V (Stacking gel) / 120V (Resolving gel) for 2 hours. Lane 1: human HepG2 whole cell lysates, Lane 2: human whole cell lysates, Lane 3: human Hela whole cell lysates, Lane 4: human U2OS whole cell lysates, Lane 5: rat C6 whole cell lysates, Lane 6: mouse Neuro-2a whole cell lysates. After electrophoresis, proteins were transferred to a nitrocellulose membrane at 150 mA for 50-90 minutes. Blocked the membrane with 5% non-fat milk/TBS for 1.5 hour at RT. The membrane was incubated with rabbit anti-SLC7A11 antibody at 0.5 ug/ml overnight at 4oC, then washed with TBS-0.1%Tween 3 times with 5 minutes each and probed with a goat anti-rabbit IgG-HRP secondary antibody at a dilution of 1:5000 for 1.5 hour at RT. The signal was developed using an ECL Plus Western Blotting Substrate. SLC7A11 (~55 kDa predicted) was detected as a single band at ~45-50 kDa, consistent with published reports describing faster migration of this multi-pass membrane transporter due to its hydrophobic transmembrane regions.
Availability 1-2 days
Species Reactivity Human, Mouse, Rat
Format Lyophilized
Host Rabbit
Clonality Polyclonal (rabbit origin)
Isotype Rabbit IgG
Purity Immunogen affinity purified
Buffer Each vial contains 4 mg Trehalose, 0.9 mg NaCl, 0.2 mg Na2HPO4.
UniProt Q9UPY5
Localization Cytoplasm, cell membrane
Applications Western Blot : 0.25-0.5ug/ml
Immunohistochemistry : 2-5ug/ml
ELISA : 0.1-0.5ug/ml
Limitations This SLC7A11 antibody is available for research use only.
Review this product on BioCompare and get a $20 Amazon gift card

Related Products

Description

SLC7A11 antibody detects Solute carrier family 7 member 11, a cystine/glutamate antiporter subunit that mediates cellular cystine uptake in exchange for intracellular glutamate export. SLC7A11, also known as xCT, forms part of the system Xc- transporter complex, playing an essential role in maintaining redox balance through glutathione synthesis. The SLC7A11 antibody is widely used in cancer, neurobiology, and oxidative stress research to investigate mechanisms of redox regulation and ferroptosis resistance.

SLC7A11 is encoded by the SLC7A11 gene located on human chromosome 4q28.3. The protein is approximately 55 kilodaltons and partners with the heavy chain subunit SLC3A2 (4F2hc) to form a functional heterodimeric transporter. This complex mediates sodium-independent cystine uptake coupled to glutamate export. Cystine is rapidly reduced intracellularly to cysteine, a rate-limiting precursor for glutathione synthesis, which protects cells from oxidative stress. SLC7A11 activity is therefore tightly linked to redox homeostasis and cellular antioxidant capacity.

The SLC7A11 antibody typically detects a 55 kilodalton protein by western blot, with strong expression in the plasma membrane and perinuclear compartments. It is transcriptionally regulated by NRF2 under oxidative stress and suppressed by p53 during stress-induced ferroptosis. Overexpression of SLC7A11 confers resistance to ferroptosis, a form of iron-dependent cell death caused by lipid peroxidation. Conversely, inhibition of SLC7A11 sensitizes cells to oxidative damage and promotes ferroptotic death, making it a key therapeutic target in oncology.

Functionally, SLC7A11 expression is elevated in various cancers, including lung, breast, and pancreatic tumors, where it supports tumor growth by enhancing glutathione synthesis and metabolic reprogramming. It is also implicated in neurodegenerative diseases and ischemic injury through its role in glutamate release and excitotoxicity. NSJ Bioreagents provides a validated SLC7A11 antibody, enabling high-specificity detection of cystine transporter expression in studies of metabolism, oxidative stress, and ferroptosis signaling.

Application Notes

Optimal dilution of the SLC7A11 antibody should be determined by the researcher.

Immunogen

A peptide specific to the SLC7A11 protein was used as the immunogen for the SLC7A11 antibody.

Storage

After reconstitution, the SLC7A11 antibody can be stored for up to one month at 4oC. For long-term, aliquot and store at -20oC. Avoid repeated freezing and thawing.

Cross
Bulk Quote Request Form
Name*:
Organization*:
Email*:
Phone Number*:
Catalog No.*:
Comments and Specifics(amount, formulation, etc.)*:
Validation code: Captchapackage Image


Can't read the image? click here to refresh.
    *required field

Your bulk quote request has been submitted successfully!

Please contact us if you have any questions.