• Tel: 858.663.9055
  • SeparatorEmail: info@nsjbio.com
  • Tel: 858.663.9055
  • Email: info@nsjbio.com
Home >> Antibodies >> SLC6A20 Antibody / Sodium and chloride dependent transporter XTRP3 / SIT1

SLC6A20 Antibody / Sodium and chloride dependent transporter XTRP3 / SIT1 (RQ8659)

  Catalog No Formulation Size Price (USD)  
Image RQ8659 0.5mg/ml if reconstituted with 0.2ml sterile DI water 100 ug 449
Bulk quote request
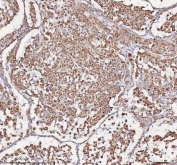
IHC staining of FFPE human lung adenocarcinoma tissue with SLC6A20 antibody. HIER: boil tissue sections in pH8 EDTA for 20 min and allow to cool before testing.
IHC staining of FFPE human lung adenocarcinoma tissue with SLC6A20 antibody. HIER: boil tissue sections in pH8 EDTA for 20 min and allow to cool before testing.
IHC staining of FFPE human ovarian cancer tissue with SLC6A20 antibody. HIER: boil tissue sections in pH8 EDTA for 20 min and allow to cool before testing.
IHC staining of FFPE human ovarian cancer tissue with SLC6A20 antibody. HIER: boil tissue sections in pH8 EDTA for 20 min and allow to cool before testing.
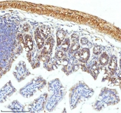
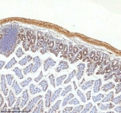
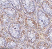
IHC staining of FFPE human colon tissue with SLC6A20 antibody. HIER: boil tissue sections in pH8 EDTA for 20 min and allow to cool before testing.
IHC staining of FFPE human colon tissue with SLC6A20 antibody. HIER: boil tissue sections in pH8 EDTA for 20 min and allow to cool before testing.
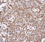
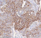
IHC staining of FFPE human liver cancer tissue with SLC6A20 antibody. HIER: boil tissue sections in pH8 EDTA for 20 min and allow to cool before testing.
IHC staining of FFPE human liver cancer tissue with SLC6A20 antibody. HIER: boil tissue sections in pH8 EDTA for 20 min and allow to cool before testing.
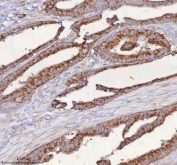
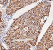
IHC staining of FFPE human rectum adenocarcinoma tissue with SLC6A20 antibody. HIER: boil tissue sections in pH8 EDTA for 20 min and allow to cool before testing.
IHC staining of FFPE human rectum adenocarcinoma tissue with SLC6A20 antibody. HIER: boil tissue sections in pH8 EDTA for 20 min and allow to cool before testing.
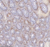
IHC staining of FFPE mouse colon tissue with SLC6A20 antibody. HIER: boil tissue sections in pH8 EDTA for 20 min and allow to cool before testing.
IHC staining of FFPE mouse colon tissue with SLC6A20 antibody. HIER: boil tissue sections in pH8 EDTA for 20 min and allow to cool before testing.
Western blot testing of 1) human CCRF-CEM, 2) human COLO-320, 3) human SW620, 4) human 293T and 5) rat kidney tissue lysate with SLC6A20 antibody. Predicted molecular weight ~66 kDa.
Flow cytometry testing of fixed human 293T cells with SLC6A20 antibody at 1ug/million cells (blocked with goat sera); Red=cells alone, Green=isotype control, Blue= SLC6A20 antibody.
Availability 1-3 days
Species Reactivity Human, Mouse, Rat
Format Antigen affinity purified
Host Rabbit
Clonality Polyclonal (rabbit origin)
Isotype Rabbit IgG
Purity Antigen affinity chromatography
Buffer Lyophilized from 1X PBS with 2% Trehalose
UniProt Q9NP91
Applications Western Blot : 1-2ug/ml
Immunohistochemistry (FFPE) : 2-5ug/ml
Flow Cytometry : 1-3ug/million cells
ELISA : 0.1-0.5ug/ml
Limitations This SLC6A20 antibody is available for research use only.
Review this product on BioCompare and get a $20 Amazon gift card

Description

Solute carrier family 6, member 20, also known as SLC6A20, Sodium and chloride dependent transporter XTRP3, SIT1 and Sodium/imino-acid transporter 1, is a protein which in humans is encoded by the SLC6A20 gene. Transport of small hydrophilic substances across cell membranes is mediated by substrate-specific transporter proteins which have been classified into several families of related genes. The protein encoded by this gene belongs to the sodium:neurotransmitter symporter (SNF) family and functions as a proline transporter expressed in kidney and small intestine. Mutations in this gene are associated with Hyperglycinuria and Iminoglycinuria.

Application Notes

Optimal dilution of the SLC6A20 antibody should be determined by the researcher.

Immunogen

An E.coli-derived human recombinant protein (amino acids S124-A555) was used as the immunogen for the SLC6A20 antibody.

Storage

After reconstitution, the SLC6A20 Antibody can be stored for up to one month at 4oC. For long-term, aliquot and store at -20oC. Avoid repeated freezing and thawing.

Cross
Bulk Quote Request Form
Name*:
Organization*:
Email*:
Phone Number*:
Catalog No.*:
Comments and Specifics(amount, formulation, etc.)*:
Validation code: Captchapackage Image


Can't read the image? click here to refresh.
    *required field

Your bulk quote request has been submitted successfully!

Please contact us if you have any questions.