• Tel: 858.663.9055
  • SeparatorEmail: info@nsjbio.com
  • Tel: 858.663.9055
  • Email: info@nsjbio.com
Home >> Antibodies >> SLC6A16 Antibody / Solute carrier family 6 member 16

SLC6A16 Antibody / Solute carrier family 6 member 16 (FY13376)

  Catalog No Formulation Size Price (USD)  
Image FY13376 Adding 0.2 ml of distilled water will yield a concentration of 500 ug/ml 100 ug 449
Bulk quote request
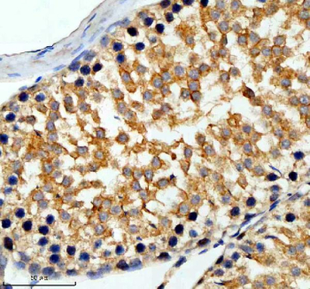
Immunohistochemical staining of SLC6A16 using anti-SLC6A16 antibody. SLC6A16 was detected in a paraffin-embedded section of rat testis tissue. Heat mediated antigen retrieval was performed in EDTA buffer (pH 8.0, epitope retrieval solution). The tissue section was blocked with 10% goat serum. The tissue section was then incubated with 2 ug/ml rabbit anti-SLC6A16 antibody overnight at 4oC. Peroxidase Conjugated Goat Anti-rabbit IgG was used as secondary antibody and incubated for 30 minutes at 37oC. The tissue section was developed using an HRP secondary and DAB substrate.
Western blot analysis of SLC6A16 using anti-SLC6A16 antibody. Electrophoresis was performed on a 10% SDS-PAGE gel at 80V (Stacking gel) / 120V (Resolving gel) for 2 hours. Lane 1: human SIHA whole cell lysates, Lane 2: human K562 whole cell lysates, Lane 3: rat testis tissue lysates, Lane 4: rat C6 tissue lysates, Lane 5: mouse testis tissue lysates. After electrophoresis, proteins were transferred to a nitrocellulose membrane at 150 mA for 50-90 minutes. Blocked the membrane with 5% non-fat milk/TBS for 1.5 hour at RT. The membrane was incubated with rabbit anti-SLC6A16 antibody at 0.5 ug/ml overnight at 4oC, then washed with TBS-0.1%Tween 3 times with 5 minutes each and probed with a goat anti-rabbit IgG-HRP secondary antibody at a dilution of 1:5000 for 1.5 hour at RT. The signal was developed using an ECL Plus Western Blotting Substrate. Predicted molecular weight ~82 kDa.
Flow Cytometry analysis of cells using anti-SLC6A16 antibody. Overlay histogram showing human A549 cells stained with (Blue line). The cells were fixed with 4% paraformaldehyde and blocked with 10% normal goat serum. And then incubated with rabbit anti-SLC6A16 antibody (1 ug/million cells) for 30 min at 20oC. DyLight 488 conjugated goat anti-rabbit IgG (5-10 ug/million cells) was used as secondary antibody for 30 minutes at 20oC. Isotype control antibody (Green line) was rabbit IgG (1 ug/million cells) used under the same conditions. Unlabelled sample without incubation with primary antibody and secondary antibody (Red line) was used as a blank control.
Availability 1-2 days
Species Reactivity Human, Mouse, Rat
Format Lyophilized
Host Rabbit
Clonality Polyclonal (rabbit origin)
Isotype Rabbit IgG
Purity Immunogen affinity purified
Buffer Each vial contains 4 mg Trehalose, 0.9 mg NaCl, 0.2 mg Na2HPO4.
UniProt Q9GZN6
Localization Golgi, cell membrane
Applications Western Blot : 0.25-0.5ug/ml
Immunohistochemistry : 2-5ug/ml
Flow Cytometry : 1-3ug/million cells
ELISA : 0.1-0.5ug/ml
Limitations This SLC6A16 antibody is available for research use only.
Review this product on BioCompare and get a $20 Amazon gift card

Description

SLC6A16 antibody detects Solute carrier family 6 member 16, a neuronal transporter encoded by the SLC6A16 gene on chromosome 19q13.33. SLC6A16 is part of the solute carrier 6 (SLC6) family of sodium- and chloride-dependent neurotransmitter transporters. It is predominantly expressed in brain, testis, and retina, where it functions in the uptake of amino acids and related substrates important for neuronal metabolism and signaling. Although its specific substrate preference is not fully characterized, evidence suggests it transports neutral amino acids or metabolites linked to neurotransmitter synthesis.

Structurally, SLC6A16 is a multi-pass transmembrane protein with twelve alpha-helical segments that span the plasma membrane. It contains conserved motifs responsible for sodium and chloride ion binding, which drive substrate transport against concentration gradients. SLC6A16 belongs to the neurotransmitter transporter family that includes serotonin (SERT), dopamine (DAT), and GABA (GAT) transporters, all sharing similar architecture and transport mechanisms. Co-localization studies show SLC6A16 localized to neuronal plasma membranes and synaptic vesicles, consistent with roles in neurotransmission and amino acid uptake.

Functionally, SLC6A16 participates in the reuptake and recycling of amino acids critical for neuronal homeostasis and synaptic activity. It maintains intracellular amino acid pools required for neurotransmitter synthesis and energy metabolism. In the testis, it may contribute to amino acid transport across Sertoli cell membranes, supporting germ cell development. The transporter couples substrate uptake to sodium and chloride gradients, allowing efficient nutrient capture even at low extracellular concentrations.

Dysregulation or mutation of SLC6A16 has been linked to neurodevelopmental and metabolic disorders. Variants have been associated with autism spectrum disorder, intellectual disability, and altered metabolic profiles in the brain. Altered expression in testicular tissues suggests additional roles in reproductive physiology. Pathway involvement includes neurotransmitter transport, amino acid metabolism, and sodium ion transmembrane transport. Expression of SLC6A16 increases during neuronal differentiation, indicating a developmental role in establishing amino acid homeostasis.

The SLC6A16 antibody from NSJ Bioreagents is an excellent reagent for research on neurotransmitter transport, amino acid metabolism, and neuronal signaling regulation.

Application Notes

Optimal dilution of the SLC6A16 antibody should be determined by the researcher.

Immunogen

E.coli-derived human SLC6A16 recombinant protein (Position: E33-Y728) was used as the immunogen for the SLC6A16 antibody.

Storage

After reconstitution, the SLC6A16 antibody can be stored for up to one month at 4oC. For long-term, aliquot and store at -20oC. Avoid repeated freezing and thawing.

Cross
Bulk Quote Request Form
Name*:
Organization*:
Email*:
Phone Number*:
Catalog No.*:
Comments and Specifics(amount, formulation, etc.)*:
Validation code: Captchapackage Image


Can't read the image? click here to refresh.
    *required field

Your bulk quote request has been submitted successfully!

Please contact us if you have any questions.