• Tel: 858.663.9055
  • SeparatorEmail: info@nsjbio.com
  • Tel: 858.663.9055
  • Email: info@nsjbio.com
Home >> Antibodies >> SLC4A1 Antibody / Band 3 / CD233

SLC4A1 Antibody / Band 3 / CD233 [clone 5G2G7] (RQ7114)

  Catalog No Formulation Size Price (USD)  
Image RQ7114 0.5mg/ml if reconstituted with 0.2ml sterile DI water 100 ug 449
Bulk quote request
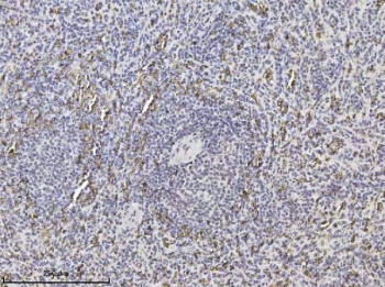
IHC staining of FFPE human spleen tissue with SLC4A1 antibody. HIER: boil tissue sections in pH8 EDTA for 20 min and allow to cool before testing.
Western blot testing of human K562 cell lysate with SLC4A1 antibody. Predicted molecular weight ~102 kDa but may be higher due to glycosylation.
Flow cytometry testing of human HepG2 cells with SLC4A1 antibody at 1ug/million cells (blocked with goat sera); Red=cells alone, Green=isotype control, Blue= SLC4A1 antibody.
Availability 1-3 business days
Species Reactivity Human
Format Antigen affinity purified
Host Mouse
Clonality Monoclonal (mouse origin)
Isotype Mouse IgG2b
Clone Name 5G2G7
Purity Antigen affinity purified
Buffer Lyophilized from 1X PBS with 2% Trehalose
UniProt P02730
Applications Western Blot : 0.5-1ug/ml
Immunohistochemistry (FFPE) : 2-5ug/ml
Flow Cytometry : 1-3ug/million cells
Limitations This SLC4A1 antibody is available for research use only.
Review this product on BioCompare and get a $20 Amazon gift card

Related Products

Description

Band 3 is also known as SLC4A1 and CD233. The protein encoded by this gene is part of the anion exchanger (AE) family and is expressed in the erythrocyte plasma membrane, where it functions as a chloride/bicarbonate exchanger involved in carbon dioxide transport from tissues to lungs. The protein comprises two domains that are structurally and functionally distinct. The N-terminal 40kDa domain is located in the cytoplasm and acts as an attachment site for the red cell skeleton by binding ankyrin. The glycosylated C-terminal membrane-associated domain contains 12-14 membrane spanning segments and carries out the stilbene disulphonate-sensitive exchange transport of anions. The cytoplasmic tail at the extreme C-terminus of the membrane domain binds carbonic anhydrase II. The encoded protein associates with the red cell membrane protein glycophorin A and this association promotes the correct folding and translocation of the exchanger. This protein is predominantly dimeric but forms tetramers in the presence of ankyrin. Many mutations in this gene are known in man, and these mutations can lead to two types of disease: destabilization of red cell membrane leading to hereditary spherocytosis, and defective kidney acid secretion leading to distal renal tubular acidosis. Other mutations that do not give rise to disease result in novel blood group antigens, which form the Diego blood group system.

Application Notes

Optimal dilution of the SLC4A1 antibody should be determined by the researcher.

Immunogen

Recombinant human protein (amino acids E28-N365) was used as the immunogen for the SLC4A1 antibody.

Storage

After reconstitution, the SLC4A1 antibody can be stored for up to one month at 4oC. For long-term, aliquot and store at -20oC. Avoid repeated freezing and thawing.

Cross
Bulk Quote Request Form
Name*:
Organization*:
Email*:
Phone Number*:
Catalog No.*:
Comments and Specifics(amount, formulation, etc.)*:
Validation code: Captchapackage Image


Can't read the image? click here to refresh.
    *required field

Your bulk quote request has been submitted successfully!

Please contact us if you have any questions.