• Tel: 858.663.9055
  • SeparatorEmail: info@nsjbio.com
  • Tel: 858.663.9055
  • Email: info@nsjbio.com
Home >> Antibodies >> SLC46A3 Antibody / Solute carrier family 46 member 3

SLC46A3 Antibody / Solute carrier family 46 member 3 (FY12054)

  Catalog No Formulation Size Price (USD)  
Image FY12054 Adding 0.2 ml of distilled water will yield a concentration of 500 ug/ml 100 ug 449
Bulk quote request
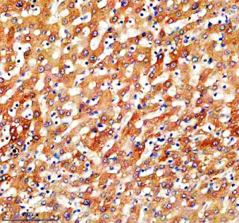
IHC analysis of SLC46A3 using anti-SLC46A3 antibody. SLC46A3 was detected in a paraffin-embedded section of human liver tissue. Heat mediated antigen retrieval was performed in EDTA buffer (pH 8.0, epitope retrieval solution). The tissue section was blocked with 10% goat serum. The tissue section was then incubated with 2 ug/ml rabbit anti-SLC46A3 antibody overnight at 4oC. Peroxidase Conjugated Goat Anti-rabbit IgG was used as secondary antibody and incubated for 30 minutes at 37oC. The tissue section was developed using an HRP secondary and DAB substrate.
IHC analysis of SLC46A3 using anti-SLC46A3 antibody. SLC46A3 was detected in a paraffin-embedded section of human liver cancer tissue. Heat mediated antigen retrieval was performed in EDTA buffer (pH 8.0, epitope retrieval solution). The tissue section was blocked with 10% goat serum. The tissue section was then incubated with 2 ug/ml rabbit anti-SLC46A3 antibody overnight at 4oC. Peroxidase Conjugated Goat Anti-rabbit IgG was used as secondary antibody and incubated for 30 minutes at 37oC. The tissue section was developed using an HRP secondary and DAB substrate.
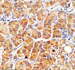
IHC analysis of SLC46A3 using anti-SLC46A3 antibody. SLC46A3 was detected in a paraffin-embedded section of mouse liver tissue. Heat mediated antigen retrieval was performed in EDTA buffer (pH 8.0, epitope retrieval solution). The tissue section was blocked with 10% goat serum. The tissue section was then incubated with 2 ug/ml rabbit anti-SLC46A3 antibody overnight at 4oC. Peroxidase Conjugated Goat Anti-rabbit IgG was used as secondary antibody and incubated for 30 minutes at 37oC. The tissue section was developed using an HRP secondary and DAB substrate.
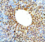
IHC analysis of SLC46A3 using anti-SLC46A3 antibody. SLC46A3 was detected in a paraffin-embedded section of rat liver tissue. Heat mediated antigen retrieval was performed in EDTA buffer (pH 8.0, epitope retrieval solution). The tissue section was blocked with 10% goat serum. The tissue section was then incubated with 2 ug/ml rabbit anti-SLC46A3 antibody overnight at 4oC. Peroxidase Conjugated Goat Anti-rabbit IgG was used as secondary antibody and incubated for 30 minutes at 37oC. The tissue section was developed using an HRP secondary and DAB substrate.
Flow Cytometry analysis of RT4 cells using anti-SLC46A3 antibody. Overlay histogram showing RT4 cells stained with (Blue line). To facilitate intracellular staining, cells were fixed with 4% paraformaldehyde and permeabilized with permeabilization buffer. The cells were blocked with 10% normal goat serum. And then incubated with rabbit anti-SLC46A3 antibody (1 ug/million cells) for 30 min at 20oC. DyLight 488 conjugated goat anti-rabbit IgG (5-10 ug/million cells) was used as secondary antibody for 30 minutes at 20oC. Isotype control antibody (Green line) was rabbit IgG (1 ug/million cells) used under the same conditions. Unlabelled sample without incubation with primary antibody and secondary antibody (Red line) was used as a blank control.
Availability 1-2 days
Species Reactivity Human, Mouse, Rat
Format Lyophilized
Host Rabbit
Clonality Polyclonal (rabbit origin)
Isotype Rabbit IgG
Purity Immunogen affinity purified
Buffer Each vial contains 4 mg Trehalose, 0.9 mg NaCl, 0.2 mg Na2HPO4.
UniProt Q7Z3Q1
Applications Immunohistochemistry : 2-5ug/ml
Flow Cytometry : 1-3ug/million cells
ELISA : 0.1-0.5ug/ml
Limitations This SLC46A3 antibody is available for research use only.
Review this product on BioCompare and get a $20 Amazon gift card

Description

SLC46A3 antibody detects Solute carrier family 46 member 3, encoded by the SLC46A3 gene. Solute carrier family 46 member 3 is a lysosomal transporter protein that regulates the uptake and turnover of therapeutic agents and endogenous substrates within lysosomes. SLC46A3 antibody provides researchers with a reliable reagent for studying lysosomal biology, drug metabolism, and transport processes that influence disease and therapy response.

Solute carrier family 46 member 3 is part of the SLC46 family of membrane transporters. Research using SLC46A3 antibody has shown that it localizes to the lysosomal membrane, where it regulates the uptake of antibody-drug conjugates and peptide-linked cytotoxic compounds. By mediating drug catabolism within lysosomes, SLC46A3 directly affects the pharmacokinetics and therapeutic efficacy of targeted cancer treatments.

Studies with SLC46A3 antibody have revealed that loss of SLC46A3 impairs intracellular processing of antibody-drug conjugates, resulting in reduced cytotoxic release and drug resistance. This has identified SLC46A3 as a biomarker for therapeutic response and an important factor in optimizing targeted therapy. In addition to drug processing, SLC46A3 likely contributes to the transport of small molecules essential for lysosomal metabolism and homeostasis.

Dysregulation of SLC46A3 has been linked to cancer biology. Research using SLC46A3 antibody has demonstrated that reduced expression promotes resistance to certain therapies, while elevated expression may enhance drug sensitivity. This dual role emphasizes its importance as both a mechanistic regulator and a predictive biomarker. Further studies suggest possible roles in neurological and metabolic disorders, although these remain under investigation.

SLC46A3 antibody is commonly used in western blotting, immunohistochemistry, and immunofluorescence. Western blotting quantifies transporter expression across cancer models, immunohistochemistry demonstrates lysosomal localization in tissue, and immunofluorescence highlights colocalization with lysosomal markers such as LAMP1. These applications make SLC46A3 antibody valuable for therapeutic and cellular transport research.

By supplying validated SLC46A3 antibody reagents, NSJ Bioreagents supports studies into lysosomal transport, drug metabolism, and disease. Detection of Solute carrier family 46 member 3 provides researchers with insight into how lysosomal transporters influence drug efficacy and pathology.

Application Notes

Optimal dilution of the SLC46A3 antibody should be determined by the researcher.

Immunogen

E.coli-derived human SLC46A3 recombinant protein (Position: Q26-R461) was used as the immunogen for the SLC46A3 antibody.

Storage

After reconstitution, the SLC46A3 antibody can be stored for up to one month at 4oC. For long-term, aliquot and store at -20oC. Avoid repeated freezing and thawing.

Cross
Bulk Quote Request Form
Name*:
Organization*:
Email*:
Phone Number*:
Catalog No.*:
Comments and Specifics(amount, formulation, etc.)*:
Validation code: Captchapackage Image


Can't read the image? click here to refresh.
    *required field

Your bulk quote request has been submitted successfully!

Please contact us if you have any questions.