• Tel: 858.663.9055
  • SeparatorEmail: info@nsjbio.com
  • Tel: 858.663.9055
  • Email: info@nsjbio.com
Home >> Antibodies >> SLC45A3 Antibody / Prostein Golgi-Associated Secretory Protein Antibody

SLC45A3 Antibody / Prostein Golgi-Associated Secretory Protein Antibody [clone SLC45A3/7653] (V4785)

  Catalog No Formulation Size Price (USD)  
Image V4785-100UG 0.2 mg/ml in 1X PBS with 0.1 mg/ml BSA (US sourced), 0.05% sodium azide 100 ug 559
Image
V4785-20UG 0.2 mg/ml in 1X PBS with 0.1 mg/ml BSA (US sourced), 0.05% sodium azide 20 ug 259
Image
V4785SAF-100UG 1 mg/ml in 1X PBS; BSA free, sodium azide free 100 ug 559
Bulk quote request
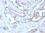
SLC45A3 Antibody for IHC. Immunohistochemistry analysis of Prostein / SLC45A3 antibody staining in FFPE human prostate tissue using clone SLC45A3/7653. Strong cytoplasmic and perinuclear staining is observed in prostate glandular epithelial cells outlining luminal structures, consistent with Golgi-associated localization of Prostein, while surrounding stromal components remain largely negative. The staining highlights polarized epithelial organization and secretory cell morphology within prostate glands, supporting the role of SLC45A3 as a Golgi-associated protein involved in intracellular trafficking in prostate epithelium. Heat-induced epitope retrieval was performed in pH 9 Tris-EDTA buffer for 20 minutes followed by cooling prior to antibody incubation.
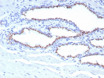
SLC45A3 Antibody for IHC. Immunohistochemistry analysis of Prostein / SLC45A3 antibody staining in FFPE human prostate tissue using clone SLC45A3/7653. Prominent cytoplasmic and perinuclear staining is observed in prostate glandular epithelial cells with a punctate distribution accentuating the Golgi region, consistent with the known Golgi-associated localization of Prostein, while adjacent stromal cells remain negative. The staining pattern highlights epithelial cell polarity and secretory compartment organization within prostate glands, with stronger signal along luminal epithelial layers. Heat-induced epitope retrieval was performed in pH 9 Tris-EDTA buffer for 20 minutes followed by cooling prior to antibody incubation.
Availability 1-3 business days
Species Reactivity Human
Format Purified
Host Mouse
Clonality Monoclonal (mouse origin)
Isotype Mouse IgG1, kappa
Clone Name SLC45A3/7653
Purity Protein A/G affinity
UniProt Q96JT2
Localization Membrane
Applications Immunohistochemistry (FFPE) : 1-2ug/ml for 30 min at RT
Limitations This SLC45A3 antibody is available for research use only.
Review this product on BioCompare and get a $20 Amazon gift card

Related Products

Description

Solute carrier family 45 member 3 (SLC45A3) is a prostate-specific protein encoded by the SLC45A3 gene and predominantly localized to the Golgi apparatus in secretory epithelial cells. SLC45A3 Antibody is used to detect Prostein as a Golgi-associated protein, supporting investigation of intracellular trafficking and secretory pathway organization in prostate tissue and related model systems. Its subcellular localization produces a characteristic perinuclear staining pattern that aligns with the structural distribution of the Golgi complex in epithelial cells.

SLC45A3 antibody, also referred to as Prostein antibody or prostate-specific androgen-regulated protein antibody, is highly enriched in prostate epithelial cells and shows minimal expression in non-prostatic tissues. This restricted expression profile, combined with its defined intracellular localization, makes SLC45A3 Antibody particularly useful for studying compartmentalized protein distribution within epithelial cells rather than simply identifying tissue origin. The distinct Golgi-associated staining pattern provides an added layer of biological context that differentiates it from more broadly distributed cytoplasmic markers.

The SLC45A3 protein belongs to the solute carrier family and is believed to participate in intracellular transport processes linked to vesicular trafficking within the Golgi network. Although its precise transport substrate is not fully defined, its localization and expression pattern suggest involvement in protein processing, sorting, or vesicle-mediated transport pathways that are essential for secretory cell function. These processes are especially active in prostate epithelial cells, which are specialized for the production and secretion of prostate-specific proteins.

Co-localization studies have demonstrated overlap between SLC45A3 and established Golgi markers, supporting its classification as a Golgi-associated protein within the secretory pathway. This makes SLC45A3 Antibody a valuable tool for examining Golgi structure, polarity, and organization in epithelial cells, as well as for identifying changes in intracellular trafficking that may occur during cellular transformation or disease progression. Alterations in Golgi morphology and function are increasingly recognized as features of cancer biology, further supporting the relevance of SLC45A3 in prostate cancer research contexts.

SLC45A3 Antibody enables visualization of Golgi-associated compartments and supports detailed analysis of secretory pathway dynamics in prostate tissue. In cancer models, disruptions in Golgi organization and vesicular transport can influence protein secretion, cell signaling, and tumor progression, and detection of SLC45A3 provides a means to investigate these processes within a prostate-specific biological framework. Its consistent perinuclear staining pattern and strong epithelial localization make it particularly useful for studies focused on intracellular organization, epithelial cell function, and secretory pathway regulation.

Application Notes

Optimal dilution of the SLC45A3 Antibody / Prostein Golgi-Associated Secretory Protein Antibody should be determined by the researcher.

Immunogen

A recombinant partial protein sequence (within amino acids 300-500) from the human protein was used as the immunogen for the SLC45A3 Antibody / Prostein Golgi-Associated Secretory Protein Antibody.

Storage

Aliquot the SLC45A3 antibody and store frozen at -20oC or colder. Avoid repeated freeze-thaw cycles.

Alternate Names

Prostein antibody, SLC45A3 antibody, Golgi-associated protein antibody, Prostein Golgi marker antibody, SLC45A3 secretory pathway antibody

Cross
Bulk Quote Request Form
Name*:
Organization*:
Email*:
Phone Number*:
Catalog No.*:
Comments and Specifics(amount, formulation, etc.)*:
Validation code: Captchapackage Image


Can't read the image? click here to refresh.
    *required field

Your bulk quote request has been submitted successfully!

Please contact us if you have any questions.