- Tel: 858.663.9055
-
Email: info@nsjbio.com
- Tel: 858.663.9055
- Email: info@nsjbio.com
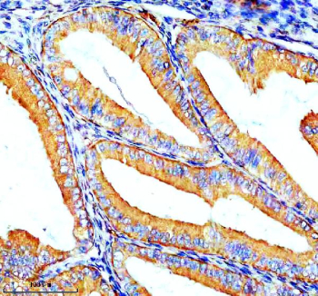
SLC39A8 antibody detects Solute carrier family 39 member 8, also called Metal cation symporter ZIP8 and Zrt- and Irt-like protein 8, and a divalent metal ion transporter primarily responsible for manganese and zinc uptake into cells. SLC39A8 is essential for metal ion homeostasis, mitochondrial function, and glycosylation. The SLC39A8 antibody is widely used in biochemistry, metabolism, and neurobiology research to study metal transport, oxidative stress, and enzyme regulation.
SLC39A8 is encoded by the SLC39A8 gene located on human chromosome 4q24. The protein is approximately 490 amino acids in length and belongs to the ZIP (Zrt/Irt-like protein) family of metal ion transporters. It localizes to the plasma membrane and mitochondria, where it facilitates cellular uptake of manganese, zinc, iron, and other cations necessary for enzymatic function and metabolic regulation.
The SLC39A8 antibody detects a 55 kilodalton band by western blot and reveals plasma membrane and cytoplasmic staining under immunofluorescence. Through regulation of manganese transport, SLC39A8 supports the activity of critical metalloenzymes such as mitochondrial superoxide dismutase and glycosyltransferases. Deficiency of SLC39A8 leads to systemic manganese depletion, mitochondrial dysfunction, and defective glycoprotein synthesis.
Genetic mutations in SLC39A8 are associated with congenital disorders of glycosylation, intellectual disability, and dystonia. The transporter also influences susceptibility to metabolic syndrome, hypertension, and schizophrenia through its impact on trace element homeostasis and inflammation. Overexpression or mislocalization of SLC39A8 alters cellular redox balance and zinc-dependent signaling pathways.
Because of its central role in metal transport and mitochondrial metabolism, SLC39A8 serves as a biomarker for trace element disorders and mitochondrial pathologies. NSJ Bioreagents provides a validated SLC39A8 antibody optimized for its applications, supporting detailed analysis of trace metal regulation and metabolic health.
Optimal dilution of the SLC39A8 antibody should be determined by the researcher.
E.coli-derived human ZIP8/SLC39A8 recombinant protein (Position: E23-A438) was used as the immunogen for the SLC39A8 antibody.
After reconstitution, the SLC39A8 antibody can be stored for up to one month at 4oC. For long-term, aliquot and store at -20oC. Avoid repeated freezing and thawing.
Your bulk quote request has been submitted successfully!
Please contact us if you have any questions.