• Tel: 858.663.9055
  • SeparatorEmail: info@nsjbio.com
  • Tel: 858.663.9055
  • Email: info@nsjbio.com
Home >> Antibodies >> SLC34A2 Antibody / Sodium-Dependent Phosphate Transport Protein 2B

SLC34A2 Antibody / Sodium-Dependent Phosphate Transport Protein 2B (RQ4878)

  Catalog No Formulation Size Price (USD)  
Image RQ4878 0.5mg/ml if reconstituted with 0.2ml sterile DI water 100 ug 449
Bulk quote request
Immunofluorescent staining of FFPE human A431 cells with SLC34A2 antibody (green) and DAPI nuclear stain (blue). HIER: steam section in pH6 citrate buffer for 20 min.
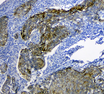
IHC staining of FFPE human lung cancer with SLC34A2 antibody. HIER: boil tissue sections in pH6, 10mM citrate buffer, for 10-20 min and allow to cool before testing.
IHC staining of FFPE human lung cancer with SLC34A2 antibody. HIER: boil tissue sections in pH6, 10mM citrate buffer, for 10-20 min and allow to cool before testing.
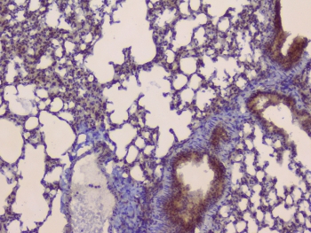
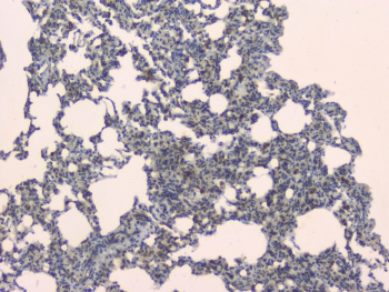
IHC staining of FFPE mouse lung with SLC34A2 antibody. HIER: boil tissue sections in pH6, 10mM citrate buffer, for 10-20 min and allow to cool before testing.
IHC staining of FFPE rat lung with SLC34A2 antibody. HIER: boil tissue sections in pH6, 10mM citrate buffer, for 10-20 min and allow to cool before testing.
Western blot testing of human 1) HEK293 and 2) K562 cell lysate with SLC34A2 antibody at 0.5ug/ml. Predicted molecular weight ~76 kDa, but may be observed at up to ~130 kDa due to glycosylation.
Availability 1-3 business days
Species Reactivity Human, Mouse, Rat
Format Antigen affinity purified
Host Rabbit
Clonality Polyclonal (rabbit origin)
Isotype Rabbit IgG
Purity Antigen affinity purified
Buffer Lyophilized from 1X PBS with 2% Trehalose
UniProt O95436
Applications Western Blot : 0.5-1ug/ml
Immunohistochemistry (FFPE) : 1-2ug/ml
Immunofluorescence (FFPE) : 2-4ug/ml
Limitations This SLC34A2 antibody is available for research use only.
Review this product on BioCompare and get a $20 Amazon gift card

Description

SLC34A2 antibody targets Sodium-Dependent Phosphate Transport Protein 2B, a multi-pass transmembrane transporter encoded by the SLC34A2 gene and commonly known as NaPi-IIb or NaPi2b. Sodium-Dependent Phosphate Transport Protein 2B is predominantly localized to the plasma membrane of epithelial cells, where it mediates sodium-coupled uptake of inorganic phosphate. Expression is prominent in absorptive epithelia, including lung alveolar epithelium, intestine, and select glandular tissues, reflecting its role in phosphate homeostasis.

Functionally, Sodium-Dependent Phosphate Transport Protein 2B facilitates transcellular phosphate transport by coupling phosphate influx to the sodium gradient. A short functional summary is that SLC34A2 supports epithelial phosphate absorption and contributes to cellular metabolic balance. Through regulated transport activity, NaPi-IIb influences mineral metabolism and cellular bioenergetics in tissues with high phosphate demand.

At the molecular level, SLC34A2 belongs to the SLC34 family of sodium-phosphate cotransporters and contains multiple transmembrane domains that form the transport pathway. Transport activity is regulated by substrate availability and cellular context. SLC34A2 antibody reagents are therefore valuable for studying membrane localization, transporter expression, and regulation of phosphate handling in epithelial cells.

From a biological and disease relevance perspective, altered SLC34A2 expression has been associated with pulmonary and gastrointestinal disorders and has been extensively studied in cancer biology. NaPi-IIb is frequently evaluated in epithelial-derived tumors, including ovarian and lung cancers, where expression patterns may aid tissue characterization and biomarker research. SLC34A2 is also linked to disorders of phosphate metabolism, underscoring its physiological importance.

Developmentally, SLC34A2 expression is regulated in a tissue-specific manner and increases with epithelial maturation. SLC34A2 antibodies from NSJ Bioreagents are supplied for research use to support investigations in epithelial biology, membrane transport, and translational disease research.

Application Notes

Optimal dilution of the SLC34A2 antibody should be determined by the researcher.

Immunogen

Amino acids QNWTMKNVTYKENIAKCQHIFVNFHLPDLA from the human protein were used as the immunogen for the SLC34A2 antibody.

Storage

After reconstitution, the SLC34A2 antibody can be stored for up to one month at 4oC. For long-term, aliquot and store at -20oC. Avoid repeated freezing and thawing.

Cross
Bulk Quote Request Form
Name*:
Organization*:
Email*:
Phone Number*:
Catalog No.*:
Comments and Specifics(amount, formulation, etc.)*:
Validation code: Captchapackage Image


Can't read the image? click here to refresh.
    *required field

Your bulk quote request has been submitted successfully!

Please contact us if you have any questions.