• Tel: 858.663.9055
  • SeparatorEmail: info@nsjbio.com
  • Tel: 858.663.9055
  • Email: info@nsjbio.com
Home >> Antibodies >> SLC2A9 Antibody / GLUT9 / Glucose Transporter 9

SLC2A9 Antibody / GLUT9 / Glucose Transporter 9 (RQ6072)

  Catalog No Formulation Size Price (USD)  
Image RQ6072 0.5mg/ml if reconstituted with 0.2ml sterile DI water 100 ug 449
Bulk quote request
Immunofluorescent staining of FFPE human A549 cells with SLC2A9 antibody (green) and DAPI nuclear stain (blue). HIER: steam section in pH6 citrate buffer for 20 min.
IHC staining of FFPE human renal cancer tissue with SLC2A9 antibody. HIER: boil tissue sections in pH8 EDTA for 20 min and allow to cool before testing.
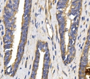
IHC staining of FFPE human prostate cancer tissue with SLC2A9 antibody. HIER: boil tissue sections in pH8 EDTA for 20 min and allow to cool before testing.
IHC staining of FFPE mouse kidney tissue with SLC2A9 antibody. HIER: boil tissue sections in pH8 EDTA for 20 min and allow to cool before testing.
IHC staining of FFPE rat kidney tissue with SLC2A9 antibody. HIER: boil tissue sections in pH8 EDTA for 20 min and allow to cool before testing.
Western blot testing of human 1) HepG2, 2) HEK293, 3) HEK293 (different lot), 4) A549, 5) A431, 6) HeLa, 7) rat kidney, 8) rat liver and 9) mouse RAW264.7 cell lysate with SLC2A9 antibody. Expected molecular weight: 59/56 kDa (L/S forms).
Flow cytometry testing of human U937 cells with SLC2A9 antibody at 1ug/million cells (blocked with goat sera); Red=cells alone, Green=isotype control, Blue= SLC2A9 antibody.
Availability 1-3 business days
Species Reactivity Human, Mouse, Rat
Format Antigen affinity purified
Host Rabbit
Clonality Polyclonal (rabbit origin)
Isotype Rabbit IgG
Purity Affinity purified
Buffer Lyophilized from 1X PBS with 2% Trehalose and 0.025% sodium azide
UniProt Q9NRM0
Applications Western Blot : 0.5-1ug/ml
Immunohistochemistry : 1-2ug/ml
Immunofluorescence : 2-4ug/ml
Flow Cytometry : 1-3ug/million cells
Direct ELISA : 0.1-0.5ug/ml
Limitations This SLC2A9 antibody is available for research use only.
Review this product on BioCompare and get a $20 Amazon gift card

Related Products

Description

Solute carrier family 2, facilitated glucose transporter member 9, also known as SLC2A9, is a protein that in humans is encoded by the SLC2A9 gene. This gene encodes a member of the SLC2A facilitative glucose transporter family. Members of this family play a significant role in maintaining glucose homeostasis. This gene is mapped to 4p16.1. The encoded protein may play a role in the development and survival of chondrocytes in cartilage matrices. This gene transports urate and fructose. It may have a role in the urate reabsorption by proximal tubules. This gene also transports glucose at low rate.

Application Notes

Optimal dilution of the SLC2A9 antibody should be determined by the researcher.

Immunogen

Recombinant human protein (amino acids R7-P540) was used as the immunogen for the SLC2A9 antibody.

Storage

After reconstitution, the SLC2A9 antibody can be stored for up to one month at 4oC. For long-term, aliquot and store at -20oC. Avoid repeated freezing and thawing.

Cross
Bulk Quote Request Form
Name*:
Organization*:
Email*:
Phone Number*:
Catalog No.*:
Comments and Specifics(amount, formulation, etc.)*:
Validation code: Captchapackage Image


Can't read the image? click here to refresh.
    *required field

Your bulk quote request has been submitted successfully!

Please contact us if you have any questions.