• Tel: 858.663.9055
  • SeparatorEmail: info@nsjbio.com
  • Tel: 858.663.9055
  • Email: info@nsjbio.com
Home >> Antibodies >> SLC25A25 Antibody / SCaMC-2

SLC25A25 Antibody / SCaMC-2 (RQ8835)

  Catalog No Formulation Size Price (USD)  
Image RQ8835 0.5mg/ml if reconstituted with 0.2ml sterile DI water 100 ug 449
Bulk quote request
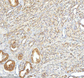
IHC staining of FFPE human prostate cancer tissue with SLC25A25 antibody. HIER: boil tissue sections in pH8 EDTA for 20 min and allow to cool before testing.
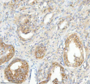
IHC staining of FFPE human prostate cancer tissue with SLC25A25 antibody. HIER: boil tissue sections in pH8 EDTA for 20 min and allow to cool before testing.
Western blot testing of 1) human K562, 2) human SiHa, 3) human Jurkat, 4) human MCF7, 5) rat liver and 6) RAW264.7 cell lysate with SLC25A25 antibody. Predicted molecular weight: 53-57 kDa, ~41 kDa (multiple isoforms).
Flow cytometry testing of fixed and permeabilized human JK cells with SLC25A25 antibody at 1ug/million cells (blocked with goat sera); Red=cells alone, Green=isotype control, Blue= SLC25A25 antibody.
Availability 1-2 days
Species Reactivity Human, Mouse, Rat
Format Antigen affinity purified
Host Rabbit
Clonality Polyclonal (rabbit origin)
Isotype Rabbit IgG
Purity Antigen affinity chromatography
Buffer Lyophilized from 1X PBS with 2% Trehalose
UniProt Q6KCM7
Localization Cytoplasm (Mitochondria)
Applications Western Blot : 1-2ug/ml
Immunohistochemistry (FFPE) : 2-5ug/ml
Flow Cytometry : 1-3ug/million cells
ELISA : 0.1-0.5ug/ml
Limitations This SLC25A25 antibody is available for research use only.
Review this product on BioCompare and get a $20 Amazon gift card

Description

SLC25A25, also known as mitochondrial phosphate carrier protein, is a member of the solute carrier family 25 (SLC25), which is a group of transport proteins located in the inner mitochondrial membrane. It plays a pivotal role in transporting phosphate ions across the mitochondrial membrane, a process that is vital for energy production and various metabolic pathways. One of the primary functions of SLC25A25 is to facilitate the import of phosphate ions into the mitochondria, where they are utilized in the synthesis of ATP, the energy currency of the cell. This process is essential for maintaining cellular energy levels and sustaining various metabolic processes. Additionally, SLC25A25 is involved in the regulation of mitochondrial dynamics and apoptosis, further highlighting its significance in cellular homeostasis. Given its critical role in cellular metabolism, dysregulation of SLC25A25 has been implicated in various metabolic disorders and diseases. For instance, alterations in SLC25A25 expression have been linked to mitochondrial dysfunction, oxidative stress, and insulin resistance, all of which are key factors in the development of conditions such as diabetes, obesity, and neurodegenerative diseases.

Application Notes

Optimal dilution of the SLC25A25 antibody should be determined by the researcher.

Immunogen

An E.coli-derived human recombinant protein (amino acids M1-R437) was used as the immunogen for the SLC25A25 antibody.

Storage

After reconstitution, the SLC25A25 antibody can be stored for up to one month at 4oC. For long-term, aliquot and store at -20oC. Avoid repeated freezing and thawing.

Cross
Bulk Quote Request Form
Name*:
Organization*:
Email*:
Phone Number*:
Catalog No.*:
Comments and Specifics(amount, formulation, etc.)*:
Validation code: Captchapackage Image


Can't read the image? click here to refresh.
    *required field

Your bulk quote request has been submitted successfully!

Please contact us if you have any questions.