• Tel: 858.663.9055
  • SeparatorEmail: info@nsjbio.com
  • Tel: 858.663.9055
  • Email: info@nsjbio.com
Home >> Antibodies >> SLC22A6 Antibody

SLC22A6 Antibody (R30768)

  Catalog No Formulation Size Price (USD)  
Image R30768 0.5mg/ml if reconstituted with 0.2ml sterile DI water 100 ug 449
Bulk quote request
Western blot testing of SLC22A6 antibody and Lane 1: HT1080; 2: HeLa cell lysate
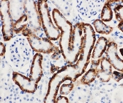
IHC-P: SLC22A6 antibody testing of rat kidney tissue
Availability 1-3 business days
Species Reactivity Human, Rat
Format Antigen affinity purified
Host Rabbit
Clonality Polyclonal (rabbit origin)
Isotype Rabbit IgG
Purity Antigen affinity
Buffer Lyophilized from 1X PBS with 2.5% BSA and 0.025% sodium azide/thimerosal
UniProt Q4U2R8
Applications Western Blot : 0.5-1ug/ml
IHC (FFPE) : 0.5-1ug/ml
Limitations This SLC22A6 antibody is available for research use only.
Review this product on BioCompare and get a $20 Amazon gift card

Related Products

Description

Solute carrier family 22 (organic anion transporter), member 6, also called OAT1 or PAHT, is a protein that in humans is encoded by the SLC22A6 gene, which is also a member of the organic anion transporter (OAT) family of proteins. It is a transmembrane protein that is expressed in the brain, the placenta, the eyes, smooth muscles, and the basolateral membrane of proximal tubular cells of the kidneys. It plays a central role in renal organic anion transport. Along with OAT3, OAT1/SLC22A6 mediates the uptake of a wide range of relatively small and hydrophilic organic anions from plasma into the cytoplasm of the proximal tubular cells of the kidneys. The protein functions as organic anion exchanger. When the uptake of one molecule of an organic anion is transported into a cell by an SLC22A6 exchanger, one molecule of an endogenous dicarboxylic acid(such as glutarate, ketoglutarate, etc) is simultaneously transported out of the cell.

Application Notes

The stated application concentrations are suggested starting amounts. Titration of the SLC22A6 antibody may be required due to differences in protocols and secondary/substrate sensitivity.

Immunogen

Amino acids 534-550 (QKYMVPLQASAQEKNGL-human) were used as the immunogen for this SLC22A6 antibody.

Storage

After reconstitution, the SLC22A6 antibody can be stored for up to one month at 4oC. For long-term, aliquot and store at -20oC. Avoid repeated freezing and thawing.

Cross
Bulk Quote Request Form
Name*:
Organization*:
Email*:
Phone Number*:
Catalog No.*:
Comments and Specifics(amount, formulation, etc.)*:
Validation code: Captchapackage Image


Can't read the image? click here to refresh.
    *required field

Your bulk quote request has been submitted successfully!

Please contact us if you have any questions.