• Tel: 858.663.9055
  • SeparatorEmail: info@nsjbio.com
  • Tel: 858.663.9055
  • Email: info@nsjbio.com
Home >> Antibodies >> SLC22A3 Antibody

SLC22A3 Antibody (RQ5838)

  Catalog No Formulation Size Price (USD)  
Image RQ5838 0.5mg/ml if reconstituted with 0.2ml sterile DI water 100 ug 449
Bulk quote request
Flow cytometry testing of human HeLa cells with SLC22A3 antibody at 1ug/million cells (blocked with goat sera); Red=cells alone, Green=isotype control, Blue= SLC22A3 antibody.
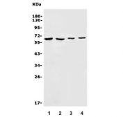
Western blot testing of 1) human HEK293, 2) human HeLa, 3) mouse skeletal muscle and 4) mouse lung lysate with SLC22A3 antibody. Predicted molecular weight: ~61 kDa.
Availability 1-3 business days
Species Reactivity Human, Mouse
Format Antigen affinity purified
Host Rabbit
Clonality Polyclonal (rabbit origin)
Isotype Rabbit IgG
Purity Affinity purified
Buffer Lyophilized from 1X PBS with 2% Trehalose and 0.025% sodium azide
UniProt O75751
Applications Western Blot : 0.5-1ug/ml
Flow Cytometry : 1-3ug/million cells
Limitations This SLC22A3 antibody is available for research use only.
Review this product on BioCompare and get a $20 Amazon gift card

Related Products

  • Applications : WB, ELISA (peptide)
    Reactivity : Human
    Pred. Reactivity : Cow, Dog, Mouse, Pig, Rat

Description

Solute carrier family 22 (extraneuronal monoamine transporter), member 3, also known as SLC22A3 or OCT3 is a protein that in humans is encoded by the SLC22A3 gene. This gene is mapped to 6q25.3. Polyspecific organic cation transporters in the liver, kidney, intestine, and other organs are critical for elimination of many endogenous small organic cations as well as a wide array of drugs and environmental toxins. This gene mediates potential-dependent transport of a variety of organic cations. It may play a significant role in the disposition of cationic neurotoxins and neurotransmitters in the brain.

Application Notes

Optimal dilution of the SLC22A3 antibody should be determined by the researcher.

Immunogen

Amino acids FDEALQRVGEFGRFQRR from the human protein were used as the immunogen for the SLC22A3 antibody.

Storage

After reconstitution, the SLC22A3 antibody can be stored for up to one month at 4oC. For long-term, aliquot and store at -20oC. Avoid repeated freezing and thawing.

Cross
Bulk Quote Request Form
Name*:
Organization*:
Email*:
Phone Number*:
Catalog No.*:
Comments and Specifics(amount, formulation, etc.)*:
Validation code: Captchapackage Image


Can't read the image? click here to refresh.
    *required field

Your bulk quote request has been submitted successfully!

Please contact us if you have any questions.