• Tel: 858.663.9055
  • SeparatorEmail: info@nsjbio.com
  • Tel: 858.663.9055
  • Email: info@nsjbio.com
Home >> Antibodies >> SLC22A2 Antibody / OCT2

SLC22A2 Antibody / OCT2 (R31806)

  Catalog No Formulation Size Price (USD)  
Image R31806 0.5mg/ml if reconstituted with 0.2ml sterile DI water 100 ug 449
Bulk quote request
SLC22A2 Antibody HeLa IF. Immunofluorescent staining of FFPE human HeLa cells with SLC22A2 antibody (green) and DAPI nuclear stain (blue). HIER: steam section in pH6 citrate buffer for 20 min.
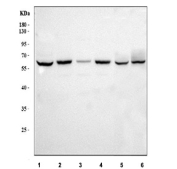
SLC22A2 Antibody WB. Western blot testing of 1) human 293T, 2) human U-87 MG, 3) human OS-RC2, 4) monkey COS7, 5) rat liver and 6) mouse liver tissue lysate with SLC22A2 antibody. Expected molecular weight: 55-100 kDa depending on glycosylation level.
Availability 1-3 business days
Species Reactivity Human, Mouse, Rat, Monkey
Format Antigen affinity purified
Host Rabbit
Clonality Polyclonal (rabbit origin)
Isotype Rabbit IgG
Purity Antigen affinity
Buffer Lyophilized from 1X PBS with 2% Trehalose
UniProt O15244
Localization Cytoplasm, cell membrane
Applications Western Blot : 0.5-1ug/ml
Immunofluorescence : 5ug/ml
Limitations This SLC22A2 antibody is available for research use only.
Review this product on BioCompare and get a $20 Amazon gift card

Related Products

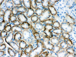
  • Applications : WB, IHC-P, FACS
    Reactivity : Human

Description

SLC22A2 Antibody detects Solute carrier family 22 member 2, also known as Organic cation transporter 2 (OCT2), a membrane transporter protein that mediates the uptake of small organic cations. It is predominantly expressed in the basolateral membrane of renal proximal tubule cells, where it plays a vital role in the clearance of endogenous metabolites, xenobiotics, and therapeutic drugs from the bloodstream into the urine. A SLC22A2 antibody is widely used in studies of renal physiology, drug transport, and pharmacokinetics.

Functionally, SLC22A2 transports a broad range of substrates, including neurotransmitters such as dopamine, as well as clinically important drugs like metformin and cisplatin. This wide substrate specificity makes SLC22A2 a key determinant of drug disposition and response. Employing a SLC22A2 antibody allows researchers to assess its expression levels, tissue distribution, and regulation in both normal and pathological conditions.

Alterations in SLC22A2 activity have clinical significance. Genetic polymorphisms in SLC22A2 can affect drug pharmacokinetics, leading to interindividual variability in therapeutic efficacy and toxicity. Reduced transporter function has been linked to impaired renal clearance of cationic drugs and altered susceptibility to nephrotoxicity. In addition, SLC22A2 expression changes have been reported in kidney disease and certain cancers. A SLC22A2 antibody provides a reliable means to investigate these associations and their impact on human health.

NSJ Bioreagents provides a high-quality SLC22A2 antibody validated for applications including western blot, immunohistochemistry, and immunofluorescence. Selecting a SLC22A2 antibody from NSJ Bioreagents ensures reproducibility and accuracy in studies focused on renal transport, pharmacogenomics, and toxicology.

This SLC22A2 antibody is part of a broader antibody panel offered by NSJ Bioreagents.

Application Notes

Optimal dilution of the SLC22A2 antibody should be determined by the researcher.

Immunogen

Amino acids ETIEEAENMQRPRKNKEKMIYLQVQKLDIPLN of human SLC22A2 were used as the immunogen for the SLC22A2 antibody.

Storage

After reconstitution, the SLC22A2 antibody can be stored for up to one month at 4oC. For long-term, aliquot and store at -20oC. Avoid repeated freezing and thawing.

Cross
Bulk Quote Request Form
Name*:
Organization*:
Email*:
Phone Number*:
Catalog No.*:
Comments and Specifics(amount, formulation, etc.)*:
Validation code: Captchapackage Image


Can't read the image? click here to refresh.
    *required field

Your bulk quote request has been submitted successfully!

Please contact us if you have any questions.