• Tel: 858.663.9055
  • SeparatorEmail: info@nsjbio.com
  • Tel: 858.663.9055
  • Email: info@nsjbio.com
Home >> Antibodies >> SLC14A1 Antibody / Urea transporter 1 / UT-B

SLC14A1 Antibody / Urea transporter 1 / UT-B (FY12373)

  Catalog No Formulation Size Price (USD)  
Image FY12373 Adding 0.2 ml of distilled water will yield a concentration of 500 ug/ml 100 ug 449
Bulk quote request
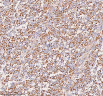
Immunohistochemical staining of SLC14A1 using anti-SLC14A1 antibody. SLC14A1 was detected in a paraffin-embedded section of human melanoma tissue. Heat mediated antigen retrieval was performed in EDTA buffer (pH 8.0, epitope retrieval solution). The tissue section was blocked with 10% goat serum. The tissue section was then incubated with 2 ug/ml rabbit anti-SLC14A1 antibody overnight at 4oC. Peroxidase Conjugated Goat Anti-rabbit IgG was used as secondary antibody and incubated for 30 minutes at 37oC. The tissue section was developed using an HRP secondary and DAB substrate.
Immunohistochemical staining of SLC14A1 using anti-SLC14A1 antibody. SLC14A1 was detected in a paraffin-embedded section of human melanoma tissue. Heat mediated antigen retrieval was performed in EDTA buffer (pH 8.0, epitope retrieval solution). The tissue section was blocked with 10% goat serum. The tissue section was then incubated with 2 ug/ml rabbit anti-SLC14A1 antibody overnight at 4oC. Peroxidase Conjugated Goat Anti-rabbit IgG was used as secondary antibody and incubated for 30 minutes at 37oC. The tissue section was developed using an HRP secondary and DAB substrate.
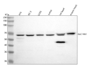
Western blot analysis of SLC14A1 using anti-SLC14A1 antibody. Lane 1: human RT4 whole cell lysates, Lane 2: human PC-3 whole cell lysates, Lane 3: human U20S whole cell lysates, Lane 4: human Jurkat whole cell lysates, Lane 5: rat heart tissue lysates, Lane 6: mouse heart tissue lysates. After electrophoresis, proteins were transferred to a nitrocellulose membrane at 150 mA for 50-90 minutes. Blocked the membrane with 5% non-fat milk/TBS for 1.5 hour at RT. The membrane was incubated with rabbit anti-SLC14A1 antibody at 0.5 ug/ml overnight at 4oC, then washed with TBS-0.1%Tween 3 times with 5 minutes each and probed with a goat anti-rabbit IgG-HRP secondary antibody at a dilution of 1:5000 for 1.5 hour at RT. The signal was developed using enhanced chemiluminescent. SLC14A1 (UT-B) may be detected at ~65 kDa-above the ~43 kDa predicted size-consistent with the documented N-linked glycosylation and isoform heterogeneity of the protein.
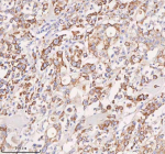
Immunohistochemical staining of SLC14A1 using anti-SLC14A1 antibody. SLC14A1 was detected in a paraffin-embedded section of human pancreatic cancer tissue. Heat mediated antigen retrieval was performed in EDTA buffer (pH 8.0, epitope retrieval solution). The tissue section was blocked with 10% goat serum. The tissue section was then incubated with 2 ug/ml rabbit anti-SLC14A1 antibody overnight at 4oC. Peroxidase Conjugated Goat Anti-rabbit IgG was used as secondary antibody and incubated for 30 minutes at 37oC. The tissue section was developed using an HRP secondary and DAB substrate.
Immunohistochemical staining of SLC14A1 using anti-SLC14A1 antibody. SLC14A1 was detected in a paraffin-embedded section of human pancreatic cancer tissue. Heat mediated antigen retrieval was performed in EDTA buffer (pH 8.0, epitope retrieval solution). The tissue section was blocked with 10% goat serum. The tissue section was then incubated with 2 ug/ml rabbit anti-SLC14A1 antibody overnight at 4oC. Peroxidase Conjugated Goat Anti-rabbit IgG was used as secondary antibody and incubated for 30 minutes at 37oC. The tissue section was developed using an HRP secondary and DAB substrate.
Immunohistochemical staining of SLC14A1 using anti-SLC14A1 antibody. SLC14A1 was detected in a paraffin-embedded section of rat brain tissue. Heat mediated antigen retrieval was performed in EDTA buffer (pH 8.0, epitope retrieval solution). The tissue section was blocked with 10% goat serum. The tissue section was then incubated with 2 ug/ml rabbit anti-SLC14A1 antibody overnight at 4oC. Peroxidase Conjugated Goat Anti-rabbit IgG was used as secondary antibody and incubated for 30 minutes at 37oC. The tissue section was developed using an HRP secondary and DAB substrate.
Immunohistochemical staining of SLC14A1 using anti-SLC14A1 antibody. SLC14A1 was detected in a paraffin-embedded section of rat brain tissue. Heat mediated antigen retrieval was performed in EDTA buffer (pH 8.0, epitope retrieval solution). The tissue section was blocked with 10% goat serum. The tissue section was then incubated with 2 ug/ml rabbit anti-SLC14A1 antibody overnight at 4oC. Peroxidase Conjugated Goat Anti-rabbit IgG was used as secondary antibody and incubated for 30 minutes at 37oC. The tissue section was developed using an HRP secondary and DAB substrate.
Immunohistochemical staining of SLC14A1 using anti-SLC14A1 antibody. SLC14A1 was detected in a paraffin-embedded section of rat brain tissue. Heat mediated antigen retrieval was performed in EDTA buffer (pH 8.0, epitope retrieval solution). The tissue section was blocked with 10% goat serum. The tissue section was then incubated with 2 ug/ml rabbit anti-SLC14A1 antibody overnight at 4oC. Peroxidase Conjugated Goat Anti-rabbit IgG was used as secondary antibody and incubated for 30 minutes at 37oC. The tissue section was developed using an HRP secondary and DAB substrate.
Immunohistochemical staining of SLC14A1 using anti-SLC14A1 antibody. SLC14A1 was detected in a paraffin-embedded section of rat brain tissue. Heat mediated antigen retrieval was performed in EDTA buffer (pH 8.0, epitope retrieval solution). The tissue section was blocked with 10% goat serum. The tissue section was then incubated with 2 ug/ml rabbit anti-SLC14A1 antibody overnight at 4oC. Peroxidase Conjugated Goat Anti-rabbit IgG was used as secondary antibody and incubated for 30 minutes at 37oC. The tissue section was developed using an HRP secondary and DAB substrate.
Flow Cytometry analysis of JK cells using anti-SLC14A1 antibody. Overlay histogram showing JK cells stained with (Blue line). The cells were fixed with 4% paraformaldehyde and blocked with 10% normal goat serum. And then incubated with rabbit anti-SLC14A1 antibody (1 ug/million cells) for 30 min at 20oC. DyLight 488 conjugated goat anti-rabbit IgG (5-10 ug/million cells) was used as secondary antibody for 30 minutes at 20oC. Isotype control antibody (Green line) was rabbit IgG (1 ug/million cells) used under the same conditions. Unlabelled sample (Red line) was also used as a control.
Availability 1-2 days
Species Reactivity Human, Mouse, Rat
Format Lyophilized
Host Rabbit
Clonality Polyclonal (rabbit origin)
Isotype Rabbit IgG
Purity Immunogen affinity purified
Buffer Each vial contains 4 mg Trehalose, 0.9 mg NaCl, 0.2 mg Na2HPO4.
UniProt Q13336
Applications ELISA : 0.1-0.5ug/ml
Immunohistochemistry : 2-5ug/ml
Western Blot : 0.25-0.5ug/ml
Flow Cytometry : 1-3ug/million cells
Limitations This SLC14A1 antibody is available for research use only.
Review this product on BioCompare and get a $20 Amazon gift card

Related Products

  • Applications : WB, FACS
    Reactivity : Mouse, Rat

Description

The SLC14A1 antibody targets Urea transporter 1 (UT-B), a membrane channel encoded by the SLC14A1 gene. Urea transporter 1 facilitates rapid, passive transport of urea across cell membranes, maintaining osmotic balance in tissues such as the kidney, red blood cells, and bladder. As a member of the solute carrier family, Urea transporter 1 is integral to urinary concentrating mechanisms and nitrogen metabolism. The SLC14A1 antibody provides a valuable reagent for studying renal physiology, erythrocyte transport, and metabolic homeostasis.

Urea transporter 1 is highly expressed in erythrocytes, renal descending vasa recta, and bladder epithelium, where it regulates urea permeability and water reabsorption. The protein forms a transmembrane channel composed of multiple membrane-spanning helices that enable facilitated urea diffusion without energy expenditure. The SLC14A1 antibody allows visualization of this transporter in tissue sections and cell membranes, offering insight into how urea flux contributes to osmoregulation and urinary concentration.

Genetic polymorphisms in SLC14A1 have been linked to differences in erythrocyte antigen systems (the Kidd blood group, JK), as well as altered susceptibility to hemolysis and bladder cancer. The SLC14A1 antibody aids in detecting protein variants and assessing their expression patterns. In the kidney, Urea transporter 1 cooperates with aquaporins to control medullary osmolarity, optimizing urine concentration during water deprivation. Studies using this antibody have clarified how transporter regulation by hormones such as vasopressin adjusts urea recycling to maintain fluid balance.

Beyond its renal role, Urea transporter 1 participates in nitrogen balance and tissue detoxification. In erythrocytes, it ensures rapid equilibration of plasma and cytosolic urea concentrations, preventing osmotic stress. The SLC14A1 antibody is a key reagent for investigating how transporter dysfunction affects blood cell stability, renal concentrating ability, and urinary tract physiology. It also helps characterize SLC14A1 expression changes associated with metabolic disorders, dehydration, and cancer.

NSJ Bioreagents provides the SLC14A1 antibody as a validated reagent for western blotting, immunofluorescence, and immunohistochemistry. It yields clear membrane localization consistent with transporter expression. By enabling detailed study of Urea transporter 1, this antibody supports research into kidney function, erythrocyte physiology, and solute transport mechanisms critical for maintaining systemic osmotic equilibrium.

Application Notes

Optimal dilution of the SLC14A1 antibody should be determined by the researcher.

Immunogen

E.coli-derived human UT-B/SLC14A1 recombinant protein (Position: M1-L389) was used as the immunogen for the SLC14A1 antibody.

Storage

After reconstitution, the SLC14A1 antibody can be stored for up to one month at 4oC. For long-term, aliquot and store at -20oC. Avoid repeated freezing and thawing.

Cross
Bulk Quote Request Form
Name*:
Organization*:
Email*:
Phone Number*:
Catalog No.*:
Comments and Specifics(amount, formulation, etc.)*:
Validation code: Captchapackage Image


Can't read the image? click here to refresh.
    *required field

Your bulk quote request has been submitted successfully!

Please contact us if you have any questions.