• Tel: 858.663.9055
  • SeparatorEmail: info@nsjbio.com
  • Tel: 858.663.9055
  • Email: info@nsjbio.com
Home >> Antibodies >> SKP2 Antibody / S-phase kinase-associated protein 2

SKP2 Antibody / S-phase kinase-associated protein 2 (RQ4170)

  Catalog No Formulation Size Price (USD)  
Image RQ4170 0.5mg/ml if reconstituted with 0.2ml sterile DI water 100 ug 449
Bulk quote request
Immunofluorescent staining of FFPE human SiHa cells with SKP2 antibody (green) and Alpha Tubulin mAb (red). HIER: steam section in pH6 citrate buffer for 20 min.
IHC staining of FFPE human cervical cancer tissue with SKP2 antibody, HRP-labeled secondary and DAB substrate. HIER: boil tissue sections in pH8 EDTA for 20 min and allow to cool before testing.
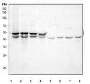
Western blot testing of 1) human 293T, 2) human Jurkat, 3) human HepG2, 4) human MCF7, 5) rat testis, 6) rat C6, 7) mouse testis and 8) mouse NIH 3T3 cell lysate with SKP2 antibody at 0.5ug/ml. Predicted molecular weight ~48 kDa and ~46 kDa (two isoforms).
Availability 1-3 business days
Species Reactivity Human, Mouse, Rat
Format Antigen affinity purified
Host Rabbit
Clonality Polyclonal (rabbit origin)
Isotype Rabbit IgG
Purity Antigen affinity purified
Buffer Lyophilized from 1X PBS with 2% Trehalose
UniProt Q13309
Localization Nuclear, cytoplasmic
Applications Western Blot : 0.5-1ug/ml
Immunohistochemistry (FFPE) : 2-5ug/ml
Immunofluorescence : 5ug/ml
Limitations This SKP2 antibody is available for research use only.
Review this product on BioCompare and get a $20 Amazon gift card

Related Products

Description

SKP2 (S-phase kinase-associated protein 2) is a key F-box protein component of the SCF (SKP1-Cullin-F-box) E3 ubiquitin ligase complex, which regulates the ubiquitination and proteasomal degradation of target proteins. SKP2 plays a critical role in cell cycle progression by targeting the cyclin-dependent kinase inhibitors p27Kip1 and p21Cip1 for degradation, thereby promoting the G1/S phase transition. As such, SKP2 functions as a central modulator of cell proliferation, differentiation, and tumorigenesis.

Aberrant overexpression of SKP2 has been observed in numerous human cancers, including breast, prostate, lung, and colorectal tumors, and is often associated with poor prognosis. Its oncogenic activity is linked to unchecked cell cycle advancement and evasion of growth suppression. Consequently, SKP2 is considered a promising target for therapeutic intervention, and its expression serves as a valuable biomarker in cancer research.

The SKP2 antibody is widely used in cancer biology and cell cycle studies to detect SKP2 protein levels and localization in both normal and malignant tissues. With proven application in immunohistochemistry, western blotting, and immunofluorescence, the SKP2 antibody enables researchers to explore the molecular mechanisms underlying cell cycle dysregulation. Whether used in basic research or translational studies, the SKP2 antibody provides high specificity and sensitivity for reliable protein detection.

Application Notes

Optimal dilution of the SKP2 antibody should be determined by the researcher.

Immunogen

Amino acids ETLLELGEIPTLKTLQVFGIVPDGTLQLLKEALPHL were used as the immunogen for the SKP2 antibody.

Storage

After reconstitution, the SKP2 antibody can be stored for up to one month at 4oC. For long-term, aliquot and store at -20oC. Avoid repeated freezing and thawing.

Cross
Bulk Quote Request Form
Name*:
Organization*:
Email*:
Phone Number*:
Catalog No.*:
Comments and Specifics(amount, formulation, etc.)*:
Validation code: Captchapackage Image


Can't read the image? click here to refresh.
    *required field

Your bulk quote request has been submitted successfully!

Please contact us if you have any questions.