• Tel: 858.663.9055
  • SeparatorEmail: info@nsjbio.com
  • Tel: 858.663.9055
  • Email: info@nsjbio.com
Home >> Antibodies >> SKA3 Antibody / Spindle and kinetochore associated complex subunit 3 / C13orf3

SKA3 Antibody / Spindle and kinetochore associated complex subunit 3 / C13orf3 (FY13248)

  Catalog No Formulation Size Price (USD)  
Image FY13248 Adding 0.2 ml of distilled water will yield a concentration of 500 ug/ml 100 ug 449
Bulk quote request
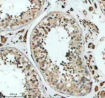
Immunohistochemical staining of SKA3 using anti-SKA3 antibody. SKA3 was detected in a paraffin-embedded section of human testis tissue. Heat mediated antigen retrieval was performed in EDTA buffer (pH 8.0, epitope retrieval solution). The tissue section was blocked with 10% goat serum. The tissue section was then incubated with 2 ug/ml rabbit anti-SKA3 antibody overnight at 4oC. Peroxidase Conjugated Goat Anti-rabbit IgG was used as secondary antibody and incubated for 30 minutes at 37oC. The tissue section was developed using an HRP secondary and DAB substrate.
Western blot analysis of SKA3 using anti-SKA3 antibody. Electrophoresis was performed on a 10% SDS-PAGE gel at 80V (Stacking gel) / 120V (Resolving gel) for 2 hours. Lane 1: human 293T whole cell lysates, Lane 2: human Jurkat whole cell lysates, Lane 3: human HEL whole cell lysates. After electrophoresis, proteins were transferred to a nitrocellulose membrane at 150 mA for 50-90 minutes. Blocked the membrane with 5% non-fat milk/TBS for 1.5 hour at RT. The membrane was incubated with rabbit anti-SKA3 antibody at 0.5 ug/ml overnight at 4oC, then washed with TBS-0.1%Tween 3 times with 5 minutes each and probed with a goat anti-rabbit IgG-HRP secondary antibody at a dilution of 1:5000 for 1.5 hour at RT. The signal was developed using an ECL Plus Western Blotting Substrate. Western blot analysis of SKA3 in 293T, Jurkat, and HeLa whole cell lysates using an anti SKA3 antibody. A dominant band at an approximately 50 kDa is detected in all three cell lines, consistent with full length SKA3, which is known to migrate above its predicted 46 kDa mass due to extensive phosphorylation and glycosylation reported in the literature. Additional immunoreactive bands in the low 30 kDa range in all samples and a weaker ~40 kDa band in Jurkat likely represent truncated SKA3 isoforms or proteolytic fragments, or less likely cross reactive proteins.
Availability 1-2 days
Species Reactivity Human
Format Lyophilized
Host Rabbit
Clonality Polyclonal (rabbit origin)
Isotype Rabbit IgG
Purity Immunogen affinity purified
Buffer Each vial contains 4 mg Trehalose, 0.9 mg NaCl, 0.2 mg Na2HPO4.
UniProt Q8IX90
Localization Cytoplasm
Applications Western Blot : 0.25-0.5ug/ml
Immunohistochemistry : 2-5ug/ml
ELISA : 0.1-0.5ug/ml
Limitations This SKA3 antibody is available for research use only.
Review this product on BioCompare and get a $20 Amazon gift card

Description

SKA3 antibody detects Spindle and kinetochore associated complex subunit 3, a mitotic protein required for chromosome segregation and kinetochore-microtubule attachment. The UniProt recommended name is Spindle and kinetochore associated complex subunit 3 (SKA3). Also known as C13orf3, this protein forms part of the SKA complex, along with SKA1 and SKA2, which stabilizes kinetochore-spindle microtubule interactions during metaphase and anaphase.

Functionally, SKA3 antibody identifies a 412-amino-acid cytoplasmic and kinetochore-localized protein that binds microtubules and interacts with the Ndc80 complex to anchor chromosomes to spindle fibers. The SKA complex is recruited to kinetochores in a microtubule-dependent manner and facilitates the coupling of depolymerizing microtubules to chromosome movement. SKA3 plays a crucial role in maintaining mitotic fidelity and preventing chromosome missegregation. It is also required for silencing the spindle assembly checkpoint once proper attachment is achieved, allowing progression into anaphase.

The SKA3 gene is located on chromosome 13q12.13 and is expressed in proliferating cells, with elevated expression during the G2/M phase of the cell cycle. Its transcription is regulated by E2F family transcription factors, linking SKA3 expression to cell cycle progression and mitotic entry.

Pathologically, dysregulation of SKA3 contributes to chromosomal instability, aneuploidy, and cancer. Overexpression has been observed in breast, liver, and lung cancers, where it promotes uncontrolled proliferation and correlates with poor prognosis. Loss of SKA3 function disrupts kinetochore attachment and induces mitotic arrest. Research using SKA3 antibody supports studies in mitosis, spindle checkpoint control, and cancer biology.

SKA3 antibody is validated for western blotting, immunofluorescence, and immunohistochemistry to detect mitotic spindle-associated proteins. NSJ Bioreagents provides SKA3 antibody reagents optimized for research in chromosome segregation, cell division, and tumorigenesis.

Structurally, Spindle and kinetochore associated complex subunit 3 contains coiled-coil domains that mediate oligomerization and interaction with SKA1/SKA2. Its C-terminal region binds directly to microtubules, while its N-terminal domain interacts with kinetochore complexes. This modular organization enables SKA3 to function as a mechanical linker between depolymerizing microtubules and kinetochores. This antibody allows precise analysis of SKA3's role in mitotic regulation and chromosomal stability.

Application Notes

Optimal dilution of the SKA3 antibody should be determined by the researcher.

Immunogen

E.coli-derived human C13orf3/SKA3 recombinant protein (Position: M1-N412) was used as the immunogen for the SKA3 antibody.

Storage

After reconstitution, the SKA3 antibody can be stored for up to one month at 4oC. For long-term, aliquot and store at -20oC. Avoid repeated freezing and thawing.

Cross
Bulk Quote Request Form
Name*:
Organization*:
Email*:
Phone Number*:
Catalog No.*:
Comments and Specifics(amount, formulation, etc.)*:
Validation code: Captchapackage Image


Can't read the image? click here to refresh.
    *required field

Your bulk quote request has been submitted successfully!

Please contact us if you have any questions.