• Tel: 858.663.9055
  • SeparatorEmail: info@nsjbio.com
  • Tel: 858.663.9055
  • Email: info@nsjbio.com
Home >> Antibodies >> SIRT4 Antibody

SIRT4 Antibody (R36034)

  Catalog No Formulation Size Price (USD)  
Image R36034-100UG 0.5 mg/ml in 1X TBS, pH7.3, with 0.5% BSA (US sourced) and 0.02% sodium azide 100 ug 475
Bulk quote request
Western blot testing of human kidney with SIRT4 antibody at 1ug/ml. Predicted molecular weight: ~35 kDa.
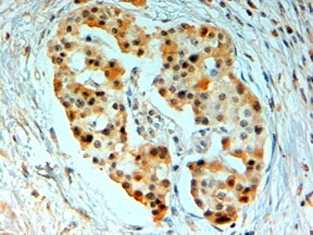
IHC staining of FFPE human pancreas with SIRT4 antibody at 2ug/ml. HIER: steamed with pH6 citrate buffer, AP-staining.
IHC staining of FFPE human skeletal muscle with SIRT4 antibody at 2ug/ml. HIER: steamed with pH6 citrate buffer, AP-staining.
Availability 1-3 business days
Species Reactivity Human
Predicted Reactivity Mouse, Rat, Dog, Pig, Cow
Format Antigen affinity purified
Host Goat
Clonality Polyclonal (goat origin)
Isotype Goat Ig
Purity Antigen affinity
Gene ID 23409
Localization Cytoplasmic
Applications Western Blot : 1-3ug/ml
Immunohistochemistry (FFPE) : 2-3ug/ml
ELISA (peptide) LOD : 1:32000
Limitations This SIRT4 antibody is available for research use only.
Review this product on BioCompare and get a $20 Amazon gift card

Related Products

  • Applications : WB, ELISA
    Reactivity : Human, Mouse
    Pred. Reactivity : Bovine
  • Applications : WB, IHC-P
    Reactivity : Human, Mouse, Rat

Description

Additional name(s) for this target protein: Sirtuin 4

Application Notes

Optimal dilution of the SIRT4 antibody should be determined by the researcher.

Immunogen

Amino acids SRCGELLPLIDPC were used as the immunogen for this SIRT4 antibody.

Storage

Aliquot and store the SIRT4 antibody at -20oC.

Cross
Bulk Quote Request Form
Name*:
Organization*:
Email*:
Phone Number*:
Catalog No.*:
Comments and Specifics(amount, formulation, etc.)*:
Validation code: Captchapackage Image


Can't read the image? click here to refresh.
    *required field

Your bulk quote request has been submitted successfully!

Please contact us if you have any questions.