• Tel: 858.663.9055
  • SeparatorEmail: info@nsjbio.com
  • Tel: 858.663.9055
  • Email: info@nsjbio.com
Home >> Antibodies >> SIRT1 Antibody

SIRT1 Antibody (F52857)

  Catalog No Formulation Size Price (USD)  
Image F52857-0.4ML In 1X PBS, pH 7.4, with 0.09% sodium azide 0.4 ml 439
Image
F52857-0.08ML In 1X PBS, pH 7.4, with 0.09% sodium azide 0.08 ml 205
Bulk quote request
SIRT1 Antibody Mouse F9 Cell WB. Western blot analysis of lysate from mouse F9 cell line using SIRT1 antibody at 1:1000. Predicted molecular weight ~80kDa but is routinely observed at 110~120kDa due to post-translational modification.
SIRT1 Antibody Human A549 Cell IF. Fluorescent image of A549 cells stained with SIRT1 antibody. Ab was diluted at 1:25 dilution. An Alexa Fluor 488-conjugated goat anti-rabbit lgG was used as the secondary Ab (green). Cytoplasmic actin was counterstained with Alexa Fluor 555 conjugated with Phalloidin (red).
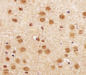
SIRT1 Antibody Mouse Brain IHC. Immunohistochemistry analysis of FFPE mouse brain section using SIRT1 antibody at 1:25.
Availability 1-3 business days
Species Reactivity Human, Mouse
Format Antigen affinity purified
Host Rabbit
Clonality Polyclonal (rabbit origin)
Isotype Rabbit Ig
Purity Antigen affinity
UniProt Q923E4
Applications IHC (Paraffin) : 1:25
Immunofluorescence : 1:25
Western Blot : 1:1000
Limitations This SIRT1 antibody is available for research use only.
Review this product on BioCompare and get a $20 Amazon gift card

Related Products

  • Applications : ELISA, FACS, IF, WB
    Reactivity : Human
    Microvalidated
  • Applications : WB, ELISA
    Reactivity : Human
  • Applications : WB, IF
    Reactivity : Human
  • Applications : WB, ELISA
    Reactivity : Mouse
  • Applications : WB, ELISA
    Reactivity : Human
  • Applications : WB, ELISA (peptide)
    Reactivity : Human, Mouse, Rat
    Pred. Reactivity : Dog
  • Applications : WB, IHC, ELISA (peptide)
    Reactivity : Human
    Pred. Reactivity : Mouse
  • Applications : WB, IF, Direct ELISA
    Reactivity : Human

Description

SIRT1 is a NAD-dependent protein deacetylase that links transcriptional regulation directly to intracellular energetics and participates in the coordination of several separated cellular functions such as cell cycle, response to DNA damage, metobolism, apoptosis and autophagy. Can modulate chromatin function through deacetylation of histones and can promote alterations in the methylation of histones and DNA, leading to transcriptional repression. Deacetylates a broad range of transcription factors and coregulators, thereby regulating target gene expression positively and negatively. [UniProt]

Researchers studying metabolic signaling, chromatin regulation, and cellular stress-response pathways may also be interested in our SIRT1 Antibody / Metabolic Stress Regulator page featuring validated immunofluorescence, flow cytometry, and protein microarray specificity data for energy-responsive signaling research.

Application Notes

The stated application concentrations are suggested starting points. Titration of the SIRT1 antibody may be required due to differences in protocols and secondary/substrate sensitivity.

Immunogen

A portion of amino acids 566-601 of the mouse protein was used as the immunogen for the SIRT1 antibody.

Storage

Store at 4oC for up to one month. For long term, aliquot the SIRT1 antibody and store frozen at -20oC or colder. Avoid repeated freeze-thaw cycles.

Cross
Bulk Quote Request Form
Name*:
Organization*:
Email*:
Phone Number*:
Catalog No.*:
Comments and Specifics(amount, formulation, etc.)*:
Validation code: Captchapackage Image


Can't read the image? click here to refresh.
    *required field

Your bulk quote request has been submitted successfully!

Please contact us if you have any questions.