• Tel: 858.663.9055
  • SeparatorEmail: info@nsjbio.com
  • Tel: 858.663.9055
  • Email: info@nsjbio.com
Home >> Antibodies >> SIL1 Antibody / Nucleotide exchange factor SIL1 / BiP-associated protein

SIL1 Antibody / Nucleotide exchange factor SIL1 / BiP-associated protein (FY12089)

  Catalog No Formulation Size Price (USD)  
Image FY12089 Adding 0.2 ml of distilled water will yield a concentration of 500 ug/ml 100 ug 449
Bulk quote request
Immunofluorescent staining of SIL1 using anti-SIL1 antibody (red). SIL1 was detected in a paraffin-embedded section of human thyroid cancer tissue. Heat mediated antigen retrieval was performed in EDTA buffer (pH 8.0, epitope retrieval solution). The tissue section was blocked with 10% goat serum. The tissue section was then incubated with 5 ug/ml rabbit anti-SIL1 antibody overnight at 4oC. Cy3 Conjugated Goat Anti-Rabbit IgG was used as secondary antibody at 1:500 dilution and incubated for 30 minutes at 37oC. The section was counterstained with DAPI (blue). Visualize using a fluorescence microscope and filter sets appropriate for the label used.
Western blot analysis of SIL1 using anti-SIL1 antibody. Electrophoresis was performed on a 10% SDS-PAGE gel at 80V (Stacking gel) / 120V (Resolving gel) for 2 hours. Lane 1: human 293T whole cell lysates, Lane 2: human MCF-7 whole cell lysates, Lane 3: human HepG2 whole cell lysates, Lane 4: rat kidney tissue lysates, Lane 5: rat liver tissue lysates, Lane 6: mouse kidney tissue lysates, Lane 7: mouse liver tissue lysates. After electrophoresis, proteins were transferred to a nitrocellulose membrane at 150 mA for 50-90 minutes. Blocked the membrane with 5% non-fat milk/TBS for 1.5 hour at RT. The membrane was incubated with rabbit anti-SIL1 antibody at 0.5 ug/ml overnight at 4oC, then washed with TBS-0.1%Tween 3 times with 5 minutes each and probed with a goat anti-rabbit IgG-HRP secondary antibody at a dilution of 1:5000 for 1.5 hour at RT. The signal was developed using an ECL Plus Western Blotting Substrate. The expected band size for SIL1 is ~54 kDa in human samples and ~52 kDa in rodent samples. The glycosylated form of the protein is observed at 70-75 kDa in human samples and 68-72 kDa in rodent samples.
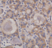
IHC analysis of SIL1 using anti-SIL1 antibody. SIL1 was detected in a paraffin-embedded section of human thyroid cancer tissue. Heat mediated antigen retrieval was performed in EDTA buffer (pH 8.0, epitope retrieval solution). The tissue section was blocked with 10% goat serum. The tissue section was then incubated with 2 ug/ml rabbit anti-SIL1 antibody overnight at 4oC. Peroxidase Conjugated Goat Anti-rabbit IgG was used as secondary antibody and incubated for 30 minutes at 37oC. The tissue section was developed using an HRP secondary and DAB substrate.
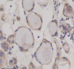
IHC analysis of SIL1 using anti-SIL1 antibody. SIL1 was detected in a paraffin-embedded section of human thyroid cancer tissue. Heat mediated antigen retrieval was performed in EDTA buffer (pH 8.0, epitope retrieval solution). The tissue section was blocked with 10% goat serum. The tissue section was then incubated with 2 ug/ml rabbit anti-SIL1 antibody overnight at 4oC. Peroxidase Conjugated Goat Anti-rabbit IgG was used as secondary antibody and incubated for 30 minutes at 37oC. The tissue section was developed using an HRP secondary and DAB substrate.
Flow Cytometry analysis of HepG2 cells using anti-SIL1 antibody. Overlay histogram showing HepG2 cells stained with (Blue line). To facilitate intracellular staining, cells were fixed with 4% paraformaldehyde and permeabilized with permeabilization buffer. The cells were blocked with 10% normal goat serum. And then incubated with rabbit anti-SIL1 antibody (1 ug/million cells) for 30 min at 20oC. DyLight 488 conjugated goat anti-rabbit IgG (5-10 ug/million cells) was used as secondary antibody for 30 minutes at 20oC. Isotype control antibody (Green line) was rabbit IgG (1 ug/million cells) used under the same conditions. Unlabelled sample without incubation with primary antibody and secondary antibody (Red line) was used as a blank control.
Availability 1-2 days
Species Reactivity Human, Mouse, Rat
Format Lyophilized
Host Rabbit
Clonality Polyclonal (rabbit origin)
Isotype Rabbit IgG
Purity Immunogen affinity purified
Buffer Each vial contains 4 mg Trehalose, 0.9 mg NaCl, 0.2 mg Na2HPO4.
UniProt Q9H173
Localization Cytoplasm (ER)
Applications Western Blot : 0.25-0.5ug/ml
Immunohistochemistry : 2-5ug/ml
Immunofluorescence : 5ug/ml
Flow Cytometry : 1-3ug/million cells
ELISA : 0.1-0.5ug/ml
Limitations This SIL1 antibody is available for research use only.
Review this product on BioCompare and get a $20 Amazon gift card

Related Products

Description

SIL1 antibody detects Nucleotide exchange factor SIL1, encoded by the SIL1 gene. Nucleotide exchange factor SIL1 is an endoplasmic reticulum-localized protein that functions as a co-chaperone for the HSPA5/BiP chaperone, facilitating nucleotide exchange and proper folding of secretory and membrane proteins. SIL1 antibody provides researchers with a specialized reagent for studying ER protein homeostasis, unfolded protein response signaling, and genetic diseases associated with ER stress.

Nucleotide exchange factor SIL1 is part of the endoplasmic reticulum protein quality control machinery. Research using SIL1 antibody has shown that it interacts with HSPA5 to catalyze the release of ADP from the chaperone, allowing ATP binding and restarting of the folding cycle. This nucleotide exchange activity is crucial for maintaining an efficient cycle of protein folding and preventing accumulation of misfolded proteins in the ER.

Studies with SIL1 antibody have revealed that mutations in SIL1 cause Marinesco-Sj�gren syndrome, a rare multisystem disorder characterized by cerebellar ataxia, congenital cataracts, muscle weakness, and intellectual disability. These findings demonstrate the essential role of SIL1 in maintaining ER homeostasis and proteostasis in multiple tissues. In model organisms, loss of SIL1 disrupts protein folding, leading to widespread ER stress and cellular dysfunction.

Dysregulation of Nucleotide exchange factor SIL1 has also been implicated in neurodegeneration and metabolic disease. Research using SIL1 antibody has shown that altered expression contributes to vulnerability of neurons and muscle cells to ER stress, while overexpression in certain contexts can be protective. These dual roles emphasize the importance of tightly regulated SIL1 activity in health and disease.

SIL1 antibody is widely applied in western blotting, immunohistochemistry, and immunofluorescence. Western blotting quantifies expression in tissues and cell lines, immunohistochemistry demonstrates localization in pancreas, muscle, and brain, and immunofluorescence highlights ER localization. These applications make SIL1 antibody indispensable for ER stress and proteostasis research.

By supplying validated SIL1 antibody reagents, NSJ Bioreagents supports studies into ER chaperone networks, protein misfolding diseases, and stress responses. Detection of Nucleotide exchange factor SIL1 provides researchers with insight into how ER co-chaperones regulate folding efficiency and human disease.

Application Notes

Optimal dilution of the SIL1 antibody should be determined by the researcher.

Immunogen

E.coli-derived human SIL1 recombinant protein (Position: H32-E448) was used as the immunogen for the SIL1 antibody.

Storage

After reconstitution, the SIL1 antibody can be stored for up to one month at 4oC. For long-term, aliquot and store at -20oC. Avoid repeated freezing and thawing.

Cross
Bulk Quote Request Form
Name*:
Organization*:
Email*:
Phone Number*:
Catalog No.*:
Comments and Specifics(amount, formulation, etc.)*:
Validation code: Captchapackage Image


Can't read the image? click here to refresh.
    *required field

Your bulk quote request has been submitted successfully!

Please contact us if you have any questions.