• Tel: 858.663.9055
  • SeparatorEmail: info@nsjbio.com
  • Tel: 858.663.9055
  • Email: info@nsjbio.com
Home >> Antibodies >> SIK3 Antibody / Salt-inducible kinase 3

SIK3 Antibody / Salt-inducible kinase 3 (FY12186)

  Catalog No Formulation Size Price (USD)  
Image FY12186 Adding 0.2 ml of distilled water will yield a concentration of 500 ug/ml 100 ug 449
Bulk quote request
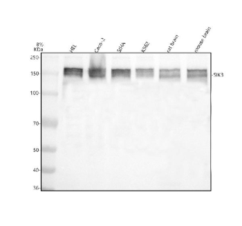
Western blot analysis of SIK3 using anti-SIK3 antibody. Electrophoresis was performed on a 8% SDS-PAGE gel at 80V (Stacking gel) / 120V (Resolving gel) for 2 hours. Lane 1: human HEL whole cell lysates, Lane 2: human Caco-2 whole cell lysates, Lane 3: human SIHA whole cell lysates, Lane 4: human K562 whole cell lysates, Lane 5: rat brain tissue lysates, Lane 6: mouse brain tissue lysates. After electrophoresis, proteins were transferred to a nitrocellulose membrane at 150 mA for 50-90 minutes. Blocked the membrane with 5% non-fat milk/TBS for 1.5 hour at RT. The membrane was incubated with rabbit anti-SIK3 antibody at 0.5 ug/ml overnight at 4oC, then washed with TBS-0.1%Tween 3 times with 5 minutes each and probed with a goat anti-rabbit IgG-HRP secondary antibody at a dilution of 1:5000 for 1.5 hour at RT. The signal was developed using an ECL Plus Western Blotting Substrate. The expected band size for SIK3 is at 145 kDa but is often observed as an ~150 kDa doublet representing differentially phosphorylated forms of SIK3 protein.
Availability 1-2 days
Species Reactivity Human, Mouse, Rat
Format Lyophilized
Host Rabbit
Clonality Polyclonal (rabbit origin)
Isotype Rabbit IgG
Purity Immunogen affinity purified
Buffer Each vial contains 4 mg Trehalose, 0.9 mg NaCl, 0.2 mg Na2HPO4.
UniProt Q9Y2K2
Applications Western Blot : 0.25-0.5ug/ml
ELISA : 0.1-0.5ug/ml
Limitations This SIK3 antibody is available for research use only.
Review this product on BioCompare and get a $20 Amazon gift card

Description

SIK3 antibody detects Salt-inducible kinase 3, encoded by the SIK3 gene on chromosome 11q23.3. SIK3 antibody is applied in research on energy metabolism, circadian rhythms, and signaling regulation. SIK3 belongs to the AMP-activated protein kinase (AMPK) family of serine/threonine kinases and is activated by phosphorylation. It functions as a central regulator of metabolic homeostasis, coupling nutrient availability with cellular processes such as lipid metabolism, gluconeogenesis, and sleep regulation. Expression is observed across many tissues, with particularly high levels in liver, skeletal muscle, adipose tissue, and brain.

Structurally, SIK3 contains an N-terminal kinase domain, a central ubiquitin-associated domain, and a C-terminal regulatory region. Activation is mediated by phosphorylation at conserved sites by upstream kinases such as LKB1. SIK3 shares structural homology with SIK1 and SIK2 but has distinct tissue distribution and regulatory functions. Nuclear localization sequences and cytoplasmic retention motifs regulate its dynamic shuttling in response to signals.

Functionally, SIK3 controls metabolic processes by phosphorylating transcriptional regulators and metabolic enzymes. In the liver, SIK3 suppresses gluconeogenic gene expression, while in adipose tissue it promotes lipogenesis. In the brain, SIK3 regulates circadian rhythms and sleep architecture by modulating transcriptional feedback loops. Knockout models show defects in lipid metabolism, growth, and sleep, underscoring its essential roles in physiology. Researchers use SIK3 antibody to explore energy balance, circadian biology, and kinase signaling networks.

Clinically, SIK3 variants have been linked to metabolic disorders, including obesity, type 2 diabetes, and dyslipidemia. Genome-wide association studies identify polymorphisms in SIK3 as contributors to body mass index variation. In addition, SIK3 mutations have been implicated in sleep disorders and neurodevelopmental syndromes. SIK3 activity is also relevant to cancer, where it influences cell growth and survival pathways. NSJ Bioreagents supplies SIK3 antibody to support research into metabolism, neurobiology, and cancer signaling.

Experimentally, SIK3 antibody is used in western blotting to detect the ~140 kDa protein, in immunohistochemistry to study tissue expression, and in immunofluorescence microscopy to visualize intracellular distribution. Immunoprecipitation with SIK3 antibody enables identification of substrates and binding partners. These approaches facilitate analysis of SIK3-dependent signaling in both metabolic and neurological contexts.

Application Notes

Optimal dilution of the SIK3 antibody should be determined by the researcher.

Immunogen

E.coli-derived human SIK3 recombinant protein (Position: E309-E1069) was used as the immunogen for the SIK3 antibody.

Storage

After reconstitution, the SIK3 antibody can be stored for up to one month at 4oC. For long-term, aliquot and store at -20oC. Avoid repeated freezing and thawing.

Cross
Bulk Quote Request Form
Name*:
Organization*:
Email*:
Phone Number*:
Catalog No.*:
Comments and Specifics(amount, formulation, etc.)*:
Validation code: Captchapackage Image


Can't read the image? click here to refresh.
    *required field

Your bulk quote request has been submitted successfully!

Please contact us if you have any questions.