• Tel: 858.663.9055
  • SeparatorEmail: info@nsjbio.com
  • Tel: 858.663.9055
  • Email: info@nsjbio.com
Home >> Antibodies >> Sigma1-receptor Antibody / SIGMAR1

Sigma1-receptor Antibody / SIGMAR1 (RQ6902)

  Catalog No Formulation Size Price (USD)  
Image RQ6902 0.5mg/ml if reconstituted with 0.2ml sterile DI water 100 ug 449
Bulk quote request
IHC staining of FFPE human stomach cancer tissue with Sigma1-receptor antibody. HIER: boil tissue sections in pH8 EDTA for 20 min and allow to cool before testing.
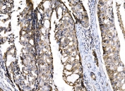
IHC staining of FFPE human adenocarcinoma of the right colon with Sigma1-receptor antibody. HIER: boil tissue sections in pH8 EDTA for 20 min and allow to cool before testing.
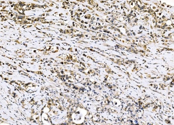
IHC staining of FFPE human liver cancer with Sigma1-receptor antibody. HIER: boil tissue sections in pH8 EDTA for 20 min and allow to cool before testing.
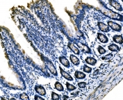
IHC staining of FFPE mouse colon tissue with Sigma1-receptor antibody. HIER: boil tissue sections in pH8 EDTA for 20 min and allow to cool before testing.
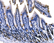
IHC staining of FFPE rat colon tissue with Sigma1-receptor antibody. HIER: boil tissue sections in pH8 EDTA for 20 min and allow to cool before testing.
Western blot testing of 1) human HeLa, 2) human Caco-2, 3) human 293T, 4) human HepG2, 5) human A549, 6) human COLO-320, 7) human U-87 MG, 8) monkey COS-7, 9) mouse liver and mouse C2C12 cell lysate with Sigma1-receptor antibody. Predicted molecular weight ~25 kDa.
Availability 1-3 business days
Species Reactivity Human, Mouse, Rat, Monkey
Format Antigen affinity purified
Host Rabbit
Clonality Polyclonal (rabbit origin)
Isotype Rabbit IgG
Purity Antigen affinity purified
Buffer Lyophilized from 1X PBS with 2% Trehalose
UniProt Q99720
Localization Nuclear, cytoplasmic, cell membrane
Applications Western Blot : 1-2ug/ml
Immunohistochemistry (FFPE) : 2-5ug/ml
Direct ELISA : 0.1-0.5ug/ml
Limitations This Sigma1-receptor antibody is available for research use only.
Review this product on BioCompare and get a $20 Amazon gift card

Description

The sigma-1 receptor, one of two sigma receptor subtypes, is a chaperone protein at the endoplasmic reticulum (ER) that modulates calcium signaling through the IP3 receptor. In humans, the sigma-1 receptor is encoded by the SIGMAR1 gene. This gene encodes a receptor protein that interacts with a variety of psychotomimetic drugs, including cocaine and amphetamines. The receptor is believed to play an important role in the cellular functions of various tissues associated with the endocrine, immune, and nervous systems. As indicated by its previous name, opioid receptor sigma 1 (OPRS1), the product of this gene was erroneously thought to function as an opioid receptor; it is now thought to be a non-opioid receptor. Mutations in this gene has been associated with juvenile amyotrophic lateral sclerosis 16. Alternative splicing of this gene results in transcript variants encoding distinct isoforms.

Application Notes

Optimal dilution of the Sigma1-receptor antibody should be determined by the researcher.

Immunogen

Recombinant human protein (amino acids G1-H154) was used as the immunogen for the Sigma1-receptor antibody.

Storage

After reconstitution, the Sigma1-receptor antibody can be stored for up to one month at 4oC. For long-term, aliquot and store at -20oC. Avoid repeated freezing and thawing.

Cross
Bulk Quote Request Form
Name*:
Organization*:
Email*:
Phone Number*:
Catalog No.*:
Comments and Specifics(amount, formulation, etc.)*:
Validation code: Captchapackage Image


Can't read the image? click here to refresh.
    *required field

Your bulk quote request has been submitted successfully!

Please contact us if you have any questions.