• Tel: 858.663.9055
  • SeparatorEmail: info@nsjbio.com
  • Tel: 858.663.9055
  • Email: info@nsjbio.com
Home >> Antibodies >> SIGLEC10 Antibody

SIGLEC10 Antibody [clone SIGLEC10/7583] (V4515)

  Catalog No Formulation Size Price (USD)  
Image V4515-100UG 0.2 mg/ml in 1X PBS with 0.1 mg/ml BSA (US sourced), 0.05% sodium azide 100 ug 559
Image
V4515-20UG 0.2 mg/ml in 1X PBS with 0.1 mg/ml BSA (US sourced), 0.05% sodium azide 20 ug 259
Image
V4515SAF-100UG 1 mg/ml in 1X PBS; BSA free, sodium azide free 100 ug 559
Bulk quote request
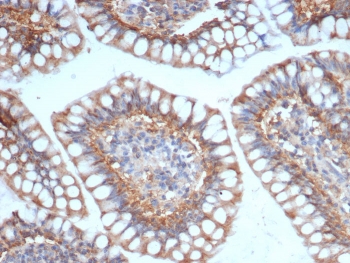
IHC staining of FFPE human small intestine tissue with SIGLEC10 antibody (clone SIGLEC10/7583). HIER: boil tissue sections in pH 9 10mM Tris with 1mM EDTA for 20 min and allow to cool before testing.
SDS-PAGE analysis of purified, BSA-free SIGLEC10 antibody (clone SIGLEC10/7583) as confirmation of integrity and purity.
Availability 1-3 business days
Species Reactivity Human
Format Purified
Host Mouse
Clonality Monoclonal (mouse origin)
Isotype Mouse IgG2, kappa
Clone Name SIGLEC10/7583
Purity Protein A/G affinity
UniProt Q96LC7
Localization Cytoplasm, Cell surface, Secreted
Applications Immunohistochemistry (FFPE) : 1-2ug/ml for 30 min at RT
Limitations This SIGLEC10 antibody is available for research use only.
Review this product on BioCompare and get a $20 Amazon gift card

Related Products

Description

Siglec-10 (sialic acid-binding Ig-like lectin 10) is a 697 amino acid protein belonging to the immunoglobulin superfamily. The N-terminal Ig-like domain of Siglec-10 contains a sialic acid-binding site and the C-terminal cytoplasmic region of Siglec-10 contains two immunoreceptor tyrosine-based inhibitor motifs (ITIMs), which are involved in the modulation of cellular responses through SH2 domains. With most expression in spleen, bone marrow and peripheral blood lymphocytes, such as monocytes, natural killer cells and eosinophils, it is likely that Siglec-10 functions as an inhibitory receptor in the immune response. Importantly, Siglec-10 mRNA is found to be highly upregulated in eosinophils at sites of inflammation in asthmatics, suggesting that Siglec-10 may be an appropriate target for new approaches of immunomodulatory therapy. There are six named isoforms of Siglec-10 that are a result of alternative splicing. All isoforms exists as single-pass transmembrane proteins, except for isoform 6, which is secreted.

Application Notes

Optimal dilution of the SIGLEC10 antibody should be determined by the researcher.

Immunogen

A recombinant partial protein sequence (within amino acids 500-697) from the human protein was used as the immunogen for the SIGLEC10 antibody.

Storage

Aliquot the SIGLEC10 antibody and store frozen at -20oC or colder. Avoid repeated freeze-thaw cycles.

Cross
Bulk Quote Request Form
Name*:
Organization*:
Email*:
Phone Number*:
Catalog No.*:
Comments and Specifics(amount, formulation, etc.)*:
Validation code: Captchapackage Image


Can't read the image? click here to refresh.
    *required field

Your bulk quote request has been submitted successfully!

Please contact us if you have any questions.