• Tel: 858.663.9055
  • SeparatorEmail: info@nsjbio.com
  • Tel: 858.663.9055
  • Email: info@nsjbio.com
Home >> Antibodies >> SIGIRR Antibody / Single Ig IL-1-related receptor

SIGIRR Antibody / Single Ig IL-1-related receptor (FY12368)

  Catalog No Formulation Size Price (USD)  
Image FY12368 Adding 0.2 ml of distilled water will yield a concentration of 500 ug/ml 100 ug 449
Bulk quote request
Immunohistochemical staining of SIGIRR using anti-SIGIRR antibody. SIGIRR was detected in a paraffin-embedded section of human endometrial cancer tissue. Heat mediated antigen retrieval was performed in EDTA buffer (pH 8.0, epitope retrieval solution). The tissue section was blocked with 10% goat serum. The tissue section was then incubated with 2 ug/ml rabbit anti-SIGIRR antibody overnight at 4oC. Peroxidase Conjugated Goat Anti-rabbit IgG was used as secondary antibody and incubated for 30 minutes at 37oC. The tissue section was developed using an HRP secondary and DAB substrate.
Western blot analysis of SIGIRR using anti-SIGIRR antibody. Electrophoresis was performed on a 10% SDS-PAGE gel at 80V (Stacking gel) / 120V (Resolving gel) for 2 hours. Lane 1: human MCF-7 whole cell lysates, Lane 2: human 293T whole cell lysates, Lane 3: human whole cell lysates, Lane 4: human PC-3 whole cell lysates, Lane 5: rat kidney tissue lysates, Lane 6: mouse kidney tissue lysates. After electrophoresis, proteins were transferred to a nitrocellulose membrane at 150 mA for 50-90 minutes. Blocked the membrane with 5% non-fat milk/TBS for 1.5 hour at RT. The membrane was incubated with rabbit anti-SIGIRR antibody at 0.5 ug/ml overnight at 4oC, then washed with TBS-0.1%Tween 3 times with 5 minutes each and probed with a goat anti-rabbit IgG-HRP secondary antibody at a dilution of 1:5000 for 1.5 hour at RT. The signal was developed using an ECL Plus Western Blotting Substrate. SIGIRR (predicted ~46 kDa) was detected as bands at ~75 kDa and ~90 kDa in lysates, consistent with the extensively N-glycosylated mature receptor forms reported in the literature.
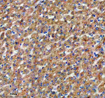
Immunohistochemical staining of SIGIRR using anti-SIGIRR antibody. SIGIRR was detected in a paraffin-embedded section of human liver cancer tissue. Heat mediated antigen retrieval was performed in EDTA buffer (pH 8.0, epitope retrieval solution). The tissue section was blocked with 10% goat serum. The tissue section was then incubated with 2 ug/ml rabbit anti-SIGIRR antibody overnight at 4oC. Peroxidase Conjugated Goat Anti-rabbit IgG was used as secondary antibody and incubated for 30 minutes at 37oC. The tissue section was developed using an HRP secondary and DAB substrate.
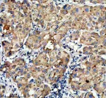
Immunohistochemical staining of SIGIRR using anti-SIGIRR antibody. SIGIRR was detected in a paraffin-embedded section of human liver tissue. Heat mediated antigen retrieval was performed in EDTA buffer (pH 8.0, epitope retrieval solution). The tissue section was blocked with 10% goat serum. The tissue section was then incubated with 2 ug/ml rabbit anti-SIGIRR antibody overnight at 4oC. Peroxidase Conjugated Goat Anti-rabbit IgG was used as secondary antibody and incubated for 30 minutes at 37oC. The tissue section was developed using an HRP secondary and DAB substrate.
Immunohistochemical staining of SIGIRR using anti-SIGIRR antibody. SIGIRR was detected in a paraffin-embedded section of mouse kidney tissue. Heat mediated antigen retrieval was performed in EDTA buffer (pH 8.0, epitope retrieval solution). The tissue section was blocked with 10% goat serum. The tissue section was then incubated with 2 ug/ml rabbit anti-SIGIRR antibody overnight at 4oC. Peroxidase Conjugated Goat Anti-rabbit IgG was used as secondary antibody and incubated for 30 minutes at 37oC. The tissue section was developed using an HRP secondary and DAB substrate.
Immunohistochemical staining of SIGIRR using anti-SIGIRR antibody. SIGIRR was detected in a paraffin-embedded section of rat kidney tissue. Heat mediated antigen retrieval was performed in EDTA buffer (pH 8.0, epitope retrieval solution). The tissue section was blocked with 10% goat serum. The tissue section was then incubated with 2 ug/ml rabbit anti-SIGIRR antibody overnight at 4oC. Peroxidase Conjugated Goat Anti-rabbit IgG was used as secondary antibody and incubated for 30 minutes at 37oC. The tissue section was developed using an HRP secondary and DAB substrate.
Immunofluorescent staining of SIGIRR using anti-SIGIRR antibody (red). SIGIRR was detected in a paraffin-embedded section of human liver cancer tissue. Heat mediated antigen retrieval was performed in EDTA buffer (pH 8.0, epitope retrieval solution). The tissue section was blocked with 10% goat serum. The tissue section was then incubated with 5 ug/ml rabbit anti-SIGIRR antibody overnight at 4oC. Cy3 Conjugated Goat Anti-Rabbit IgG was used as secondary antibody at 1:500 dilution and incubated for 30 minutes at 37oC. The section was counterstained with DAPI nuclear stain (blue). Visualize using a fluorescence microscope and filter sets appropriate for the label used.
Immunofluorescent staining of SIGIRR using anti-SIGIRR antibody (red). SIGIRR was detected in a paraffin-embedded section of human endometrial cancer tissue. Heat mediated antigen retrieval was performed in EDTA buffer (pH 8.0, epitope retrieval solution). The tissue section was blocked with 10% goat serum. The tissue section was then incubated with 5 ug/ml rabbit anti-SIGIRR antibody overnight at 4oC. Cy3 Conjugated Goat Anti-Rabbit IgG was used as secondary antibody at 1:500 dilution and incubated for 30 minutes at 37oC. The section was counterstained with DAPI nuclear stain (blue). Visualize using a fluorescence microscope and filter sets appropriate for the label used.
Immunofluorescent staining of SIGIRR using anti-SIGIRR antibody (green). SIGIRR was detected in an immunocytochemical section of human A549 cells. Enzyme antigen retrieval was performed using IHC enzyme antigen retrieval reagent for 15 mins. The cells were blocked with 10% goat serum. And then incubated with 5 ug/ml rabbit anti-SIGIRR antibody overnight at 4oC. DyLight 488 Conjugated Goat Anti-Rabbit IgG was used as secondary antibody at 1:500 dilution and incubated for 30 minutes at 37oC. The section was counterstained with DAPI nuclear stain (blue). Visualize using a fluorescence microscope and filter sets appropriate for the label used.
Flow Cytometry analysis of 293T cells using anti-SIGIRR antibody. Overlay histogram showing 293T cells stained with (Blue line). The cells were fixed with 4% paraformaldehyde and blocked with 10% normal goat serum. And then incubated with rabbit anti-SIGIRR antibody (1 ug/million cells) for 30 min at 20oC. DyLight 488 conjugated goat anti-rabbit IgG (5-10 ug/million cells) was used as secondary antibody for 30 minutes at 20oC. Isotype control antibody (Green line) was rabbit IgG (1 ug/million cells) used under the same conditions. Unlabelled sample without incubation with primary antibody and secondary antibody (Red line) was used as a blank control.
Availability 1-2 days
Species Reactivity Human, Mouse, Rat
Format Lyophilized
Host Rabbit
Clonality Polyclonal (rabbit origin)
Isotype Rabbit IgG
Purity Immunogen affinity purified
Buffer Each vial contains 4 mg Trehalose, 0.9 mg NaCl, 0.2 mg Na2HPO4.
UniProt Q6IA17
Localization Cytoplasm
Applications Western Blot : 0.25-0.5ug/ml
Immunohistochemistry : 2-5ug/ml
Immunofluorescence : 5ug/ml
Immunocytochemistry/Immunofluorescence : 5ug/ml
Flow Cytometry : 1-3ug/million cells
ELISA : 0.1-0.5ug/ml
Limitations This SIGIRR antibody is available for research use only.
Review this product on BioCompare and get a $20 Amazon gift card

Description

The SIGIRR antibody targets Single immunoglobulin and toll-interleukin 1 receptor (TIR) domain-containing protein, a negative regulator of interleukin and toll-like receptor signaling encoded by the SIGIRR gene. Also known as Toll/IL-1 receptor 8 (TIR8), this protein modulates inflammatory responses by inhibiting MyD88- and IRAK-mediated signal transduction. Single immunoglobulin and toll-interleukin 1 receptor domain-containing protein acts as a brake on excessive innate immune activation, helping to maintain immune tolerance and prevent tissue damage. The SIGIRR antibody provides researchers with a crucial reagent to study innate immune regulation and inflammation control mechanisms.

Single immunoglobulin and toll-interleukin 1 receptor domain-containing protein is a type I transmembrane glycoprotein with a single extracellular immunoglobulin-like domain, a transmembrane segment, and an intracellular TIR domain. Unlike classical toll-like receptors, its cytoplasmic TIR domain lacks certain signaling motifs, rendering it inhibitory. The SIGIRR antibody enables detection of this regulatory receptor in epithelial, endothelial, and immune cells, allowing studies on how it fine-tunes inflammatory signaling.

Functionally, SIGIRR interacts with IL-1 receptor and TLR complexes to disrupt adaptor recruitment and downstream kinase activation. It thereby attenuates NF-?B and MAPK pathway activation in response to cytokine or pathogen-associated stimuli. The SIGIRR antibody supports investigations into these signaling mechanisms and helps define how reduced SIGIRR expression contributes to hyperinflammatory states and autoimmune diseases. Mice deficient in this protein exhibit enhanced inflammatory responses and are more susceptible to colitis and sepsis, underscoring its protective role.

Beyond inflammation, Single immunoglobulin and toll-interleukin 1 receptor domain-containing protein contributes to mucosal homeostasis, microbiota balance, and epithelial integrity. In the gut and lungs, it limits IL-1-driven inflammation and maintains tolerance to commensal organisms. The SIGIRR antibody is used in immunohistochemistry and flow cytometry to evaluate tissue distribution, revealing strong expression on epithelial cells of mucosal surfaces. Aberrant regulation of SIGIRR has been linked to inflammatory bowel disease, asthma, and cancer, where loss of this inhibitory signaling may favor tumor-promoting inflammation.

The SIGIRR antibody performs effectively in western blotting, immunofluorescence, and immunohistochemistry. It provides clear membrane and cytoplasmic staining consistent with receptor localization. NSJ Bioreagents supplies this antibody with high specificity and reproducibility, supporting research in immunology, mucosal biology, and inflammation resolution. By enabling detailed analysis of Single immunoglobulin and toll-interleukin 1 receptor domain-containing protein, the SIGIRR antibody contributes to understanding immune balance, tolerance mechanisms, and inflammatory disease pathogenesis.

Application Notes

Optimal dilution of the SIGIRR antibody should be determined by the researcher.

Immunogen

E.coli-derived human SIGIRR recombinant protein (Position: M1-E353) was used as the immunogen for the SIGIRR antibody.

Storage

After reconstitution, the SIGIRR antibody can be stored for up to one month at 4oC. For long-term, aliquot and store at -20oC. Avoid repeated freezing and thawing.

Cross
Bulk Quote Request Form
Name*:
Organization*:
Email*:
Phone Number*:
Catalog No.*:
Comments and Specifics(amount, formulation, etc.)*:
Validation code: Captchapackage Image


Can't read the image? click here to refresh.
    *required field

Your bulk quote request has been submitted successfully!

Please contact us if you have any questions.