• Tel: 858.663.9055
  • SeparatorEmail: info@nsjbio.com
  • Tel: 858.663.9055
  • Email: info@nsjbio.com
Home >> Antibodies >> SIAH1 Antibody / Seven in absentia homolog 1

SIAH1 Antibody / Seven in absentia homolog 1 (R36054)

  Catalog No Formulation Size Price (USD)  
Image R36054-100UG 0.5 mg/ml in 1X TBS, pH7.3, with 0.5% BSA (US sourced) and 0.02% sodium azide 100 ug 475
Bulk quote request
Western blot testing of human liver lysate with SIAH1 antibody at 1ug/ml. Predicted molecular weight: ~31kDa.
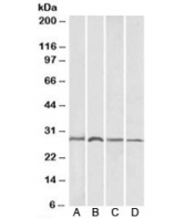
Western blot of A) mouse brain, B) rat brain, C) mouse liver and D) rat liver lysates with SIAH1 antibody at 1ug/ml. Predicted molecular weight: ~31kDa.
Availability 1-3 business days
Species Reactivity Human, Mouse, Rat
Predicted Reactivity Dog, Cow
Format Antigen affinity purified
Host Goat
Clonality Polyclonal (goat origin)
Isotype Goat Ig
Purity Antigen affinity
Gene ID 6477
Applications Western Blot : 1-3ug/ml
Immunoprecipitation : suitable
ELISA (peptide) LOD : 1:16000
Limitations This SIAH1 antibody is available for research use only.
Review this product on BioCompare and get a $20 Amazon gift card

Related Products

Description

Additional name(s) for this target protein: Seven in absentia homolog 1

Application Notes

Optimal dilution of the SIAH1 antibody should be determined by the researcher.

Immunogen

Amino acids SRQTATALPTGTSKC were used as the immunogen for this SIAH1 antibody.

Storage

Aliquot and store the SIAH1 antibody at -20oC.

Cross
Bulk Quote Request Form
Name*:
Organization*:
Email*:
Phone Number*:
Catalog No.*:
Comments and Specifics(amount, formulation, etc.)*:
Validation code: Captchapackage Image


Can't read the image? click here to refresh.
    *required field

Your bulk quote request has been submitted successfully!

Please contact us if you have any questions.