• Tel: 858.663.9055
  • SeparatorEmail: info@nsjbio.com
  • Tel: 858.663.9055
  • Email: info@nsjbio.com
Home >> Antibodies >> SIAE Antibody / Sialate O-acetylesterase

SIAE Antibody / Sialate O-acetylesterase (RQ7692)

  Catalog No Formulation Size Price (USD)  
Image RQ7692 0.5mg/ml if reconstituted with 0.2ml sterile DI water 100 ug 449
Bulk quote request
Immunofluorescent staining of FFPE human Caco-2 cells with SIAE antibody (green) and DAPI nuclear stain (blue). HIER: steam section in pH6 citrate buffer for 20 min.
Western blot testing of human RT4 cell lysate with SIAE antibody. Predicted molecular weight ~58 kDa but may be observed at higher molecular weights due to glycosylation.
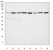
Western blot testing of 1) human RT4, 2) human U-251, 3) rat testis, 4) rat liver, 5) rat RH35, 6) mouse testis, 7) mouse liver and 8) mouse HEPA1-6 cell lysate with SIAE antibody. Predicted molecular weight ~58 kDa but may be observed at higher molecular weights due to glycosylation.
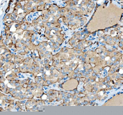
IHC staining of FFPE human thyroid papillary carcinoma tissue with SIAE antibody. HIER: boil tissue sections in pH8 EDTA for 20 min and allow to cool before testing.
IHC staining of FFPE human glioblastoma tissue with SIAE antibody. HIER: boil tissue sections in pH8 EDTA for 20 min and allow to cool before testing.
Flow cytometry testing of fixed and permeabilized human HepG2 cells with SIAE antibody at 1ug/million cells (blocked with goat sera); Red=cells alone, Green=isotype control, Blue= SIAE antibody.
Flow cytometry testing of fixed and permeabilized human RT4 cells with SIAE antibody at 1ug/million cells (blocked with goat sera); Red=cells alone, Green=isotype control, Blue= SIAE antibody.
Availability 1-3 business days
Species Reactivity Human, Mouse, Rat
Format Antigen affinity purified
Host Rabbit
Clonality Polyclonal (rabbit origin)
Isotype Rabbit IgG
Purity Antigen affinity purified
Buffer Lyophilized from 1X PBS with 2% Trehalose
UniProt Q9HAT2
Localization Cytoplasm, secreted
Applications Western Blot : 0.5-1ug/ml
Immunohistochemistry (FFPE) : 2-5ug/ml
Immunofluorescence : 5ug/ml
Flow Cytometry : 1-3ug/million cells
Direct ELISA : 0.1-0.5ug/ml
Limitations This SIAE antibody is available for research use only.
Review this product on BioCompare and get a $20 Amazon gift card

Description

This gene encodes an enzyme which removes 9-O-acetylation modifications from sialic acids. Mutations in this gene are associated with susceptibility to autoimmune disease 6. Multiple transcript variants encoding different isoforms, found either in the cytosol or in the lysosome, have been found for this gene.

Application Notes

Optimal dilution of the SIAE antibody should be determined by the researcher.

Immunogen

E. coli-derived recombinant human protein (amino acids R230-K523) was used as the immunogen for the SIAE antibody.

Storage

After reconstitution, the SIAE antibody can be stored for up to one month at 4oC. For long-term, aliquot and store at -20oC. Avoid repeated freezing and thawing.

Cross
Bulk Quote Request Form
Name*:
Organization*:
Email*:
Phone Number*:
Catalog No.*:
Comments and Specifics(amount, formulation, etc.)*:
Validation code: Captchapackage Image


Can't read the image? click here to refresh.
    *required field

Your bulk quote request has been submitted successfully!

Please contact us if you have any questions.